O raio x panorâmico é um importante exame de diagnóstico por imagem e, sem dúvidas, um dos mais abrangentes da odontologia.
É realizado por meio de uma técnica radiográfica que captura imagens de toda a estrutura bucal, para fácil visualização do complexo maxilomandibular e estruturas anexas.
Atualmente, é comum que dentistas usem a radiografia panorâmica para complementar o exame clínico, pois ela permite mais precisão no diagnóstico e auxilia os profissionais em diversos procedimentos.
Ao longo deste texto, você vai conferir mais informações sobre raio x panorâmicos, incluindo suas indicações, diferenciais e as principais vantagens de realizá-lo em seu consultório ou clínica. Confira!

O que é um raio-x panorâmico?
Também chamado de radiografia panorâmica ou ortopantomografia, o raio x panorâmico é um dos exames radiográficos mais solicitados pelos dentistas.
Realizado de forma extrabucal por um aparelho de raios x que captura imagens de toda a mandíbula e maxila do paciente em um único quadro, o exame é um grande aliado dos cirurgiões-dentistas.
A partir de uma radiografia panorâmica, é possível investigar alterações bucais, diagnosticar lesões e patologias e analisar a anatomia de dentes e ossos, para estabelecer um plano de tratamento.
Quando é indicado realizar a radiografia panorâmica?
A radiografia panorâmica atende dentistas das mais diversas especialidades, sendo utilizada tanto para auxílio diagnóstico quanto no planejamento de cirurgias e demais tratamentos odontológicos.
Dentre as principais indicações de radiografias panorâmicas, podemos citar:
- Avaliação ortodôntica;
- Reconhecimento de lesões;
- Averiguação de cistos, tumores e inflamações;
- Exame prévio à cirurgia buco-maxilo-facial;
- Análise de suporte ósseo periodontal;
- Avaliação de terceiros molares;
- Investigação de fraturas pós-acidente;
- Auxílio diagnóstico de anomalias e patologias bucais;
- Verificação de distúrbios da articulação-temporomandibular;
- Pesquisa de reabsorções ósseas e radiculares;
- Planejamentos pré-operatórios variados.
Também pode ser usado para acompanhamento odontológico, em todas as etapas de um tratamento, e em visitas periódicas ao dentista para manutenção da saúde bucal.
Qual a diferença entre radiografia periapical e panorâmica?
Outro exame complementar muito utilizado na odontologia é a radiografia periapical.
Trata-se de uma técnica radiográfica intraoral, ou seja, realizada no interior da boca do paciente, que possibilita uma visualização mais detalhada da anatomia dentária.
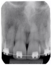
Diferentemente da radiografia panorâmica (figura 1), que traz uma visão geral de toda a região maxilar, a radiografia periapical (figura 2) abrange apenas uma determinada área, normalmente de 2 a 3 elementos dentários, da coroa ao final da raiz.
O exame radiográfico periapical é indicado, principalmente, para:
- Diagnóstico de lesões de cárie;
- Diagnóstico de lesões periapicais;
- Tratamentos de canal;
- Avaliação de perdas ósseas;
- Planejamento de implantes dentários;
- Visualização de alterações na raiz, coroa dental e osso alveolar;
- Entre outros.
Fonte imagens: Material elaborado por Colégio Técnico São Bento. Disponível em: 20 radiologia-odontologica
Vantagens de ter um raio x panorâmico na sua clínica odontológica
O encaminhamento de pacientes até uma clínica de radiologia para realização de radiografias panorâmicas ainda é uma prática comum na Odontologia.
Afinal, normalmente são eles os especialistas em diagnóstico por imagem e que possuem os equipamentos necessários para a execução da técnica radiográfica.
Contudo, para otimizar a rotina clínica odontológica e facilitar os tratamentos, o mercado tem desenvolvido equipamentos cada vez mais inteligentes, versáteis e inovadores.
E hoje, ter um aparelho de raio x panorâmico em um consultório ou clínica odontológica de pequeno ou médio porte já é uma realidade.
Saiba que investir em um equipamento deste tipo agrega muito ao seu negócio e traz inúmeros benefícios para sua equipe e pacientes. Confira, a seguir!
Comodidade para o paciente
É extremamente vantajoso oferecer esse serviço aos seus pacientes, pois evita que eles se desloquem a outros locais apenas para realizar a radiografia panorâmica, um exame simples e com poucos minutos de duração.
Agilidade para os tratamentos
Essa tecnologia é muito útil para o dia a dia clínico, pois torna o diagnóstico mais acessível ao cirurgião-dentista. Isso agiliza o tratamento odontológico e contribui para os resultados.
Acompanhamento clínico constante
Além de auxiliar em uma primeira avaliação clínica do paciente, permite o acompanhamento dos casos de forma mais efetiva no consultório e o registro de todas as etapas de um tratamento.
Diferencial para o seu negócio
Estar atualizado em relação as novidades do mercado é essencial para se diferenciar da concorrência e mostrar que o seu consultório ou clínica odontológica oferece todos os serviços em um só lugar, com tecnologia, rapidez e conforto.
X Mind Prime: Raio x Panorâmico compacto de última geração
Dentre os últimos lançamentos do mercado odontológico, o Raio x Panorâmico X Mind Prime 2D é um equipamento que merece um destaque especial.
Possui um design elegante e sofisticado, painel de controle inteligente que o torna um equipamento de fácil operação e tecnologia de ponta para um diagnóstico preciso.
O modelo, desenvolvido pela fabricante Acteon, é a versão mais compacta do mercado. Sua ergonomia de parede ocupa espaço zero, ideal para quem busca otimizar o espaço da área clínica.
A instalação é rápida e feita por assistência técnica autorizada. Em menos de 1 hora, o X Mind Prime estará pronto para entregar imagens panorâmicas 2D de alta qualidade.
Onde comprar Aparelho de Raio X Odontológico de qualidade?
A Dental Cremer | Henry Schein é a solução completa em Odontologia e a parceria certa para o seu consultório ou clínica odontológica.
Em nosso site você encontra aparelho de raio x panorâmico X Mind Prime da Acteon para a melhor experiência em exames diagnósticos, com preços e condições de pagamento que cabem no seu bolso.
Fale agora com um especialista e tenha mais segurança na tomada de decisão, mais comodidade para os seus pacientes e mais destaque em seu negócio.
Sobre a autora:
Gabrielli Nery Wandscheer
Redatora Shine
Formada em Administração pela Estácio, especialista em Marketing e redação técnica na área odontológica.
Referências:
RADIOGRAFIA panorâmica: quando é indicada e quais são as vantagens?. Sorridents, [S. l.], p. 1-1, 31 mar. 2022. Disponível em: https://sorridents.com.br/blog/radiografica-panoramica/. Acesso em: 14 fev. 2023.
TUDO o que você precisa saber a radiografia panorâmica odontológica. DVI Radiologia, [S. l.], p. 1-1, 18 nov. 2022. Disponível em: https://www.dviradiologia.com.br/2022/11/18/tudo-o-que-voce-precisa-saber-a-radiografia-panoramica-odontologica/. Acesso em: 13 fev. 2023.
RADIOGRAFIA PERIAPICAL: O QUE É, INDICAÇÕES E OUTRAS DÚVIDAS. RADIOSUL, [S. l.], p. 1-1, 24 nov. 2022. Disponível em: http://radiosuldigital.com.br/radiografia-periapical-o-que-e-indicacoes-e-outras-duvidas/. Acesso em: 13 fev. 2023.
CLÍNICA GERAL Por que a radiografia panorâmica ajuda na sua saúde bucal?. Odonto Clinic, [S. l.], p. 1-1, 10 ago. 2021. Disponível em: https://blog.odontoclinic.com.br/clinica-geral/radiografia-panoramica/. Acesso em: 13 fev. 2023.
ACTEON. [S. l.], 10 ago. 2021. Disponível em: https://www.acteonbrasil.com/product-page/. Acesso em: 13 fev. 2023.



Comentários
Nenhum comentário