Materiais que fazem diferença nas etapas de acrilização e acabamento das próteses totais e protocolos acrílicos
Ao realizarmos trabalhos reabilitadores, devolver estética e função são os primeiros aspectos que vem à nossa mente e que fazem parte de todo o planejamento desde os primeiros instantes em que iniciamos a confecção dos trabalhos protéticos. No entanto, as etapas finais de polimento e acabamento de próteses totais são tão importantes quanto à mencionada anteriormente, pois parte do sucesso e durabilidade das peças estão relacionadas à elas.
Sabemos que as etapas na confecção das próteses são fundamentais para um resultado estético e duradouro, e os detalhes fazem sim toda a diferença.
Escolhi dois materiais que utilizo no meu dia a dia e que facilitam e melhoram substancialmente a qualidade e o resultado dos meus trabalhos protéticos para falar um pouco mais sobre eles.
Agente de união Palabond
O primeiro é o Palabond, um agente de união que evita o deslocamento dos dentes da base da prótese. Ele é aplicado nos dentes com um pincel sem ponteira metálica antes de iniciar a acrilização. Ele potencializa a adesão entre a resina e o dente acrílico, proporcionando maior estabilidade e segurança sem a necessidade de retenção mecânica, união permanente e livre de falhas. O uso adequado do agente de união transparente Palabond faz dentes artificiais que se soltam da base da prótese, uma coisa do passado.
Não só aumenta adesão entre os dentes e a base da prótese, mas também melhora a união entre reparos e materiais de base da prótese.
Selante de superfície Palaseal
O segundo material escolhido é o Palaseal. O acabamento tem a função de remover os excessos e rebarbas grosseiras da prótese, de forma a evitar qualquer incômodo ao paciente e proporcionar uma lisura de superfície que facilite a etapa posterior do polimento e consequentemente a higienização por parte do paciente.
Já por sua vez, o polimento tem a função primordial de eliminar rugosidades, de forma a evitar o acúmulo de placa e sujidades que possam comprometer a durabilidade dos trabalhos em logo prazo.
No entanto, atualmente, cada vez mais os pacientes demandam dos profissionais a criação de próteses que tenham um aspecto o mais natural possível, onde se possa passar despercebidamente a presença de uma peça artificial em boca.
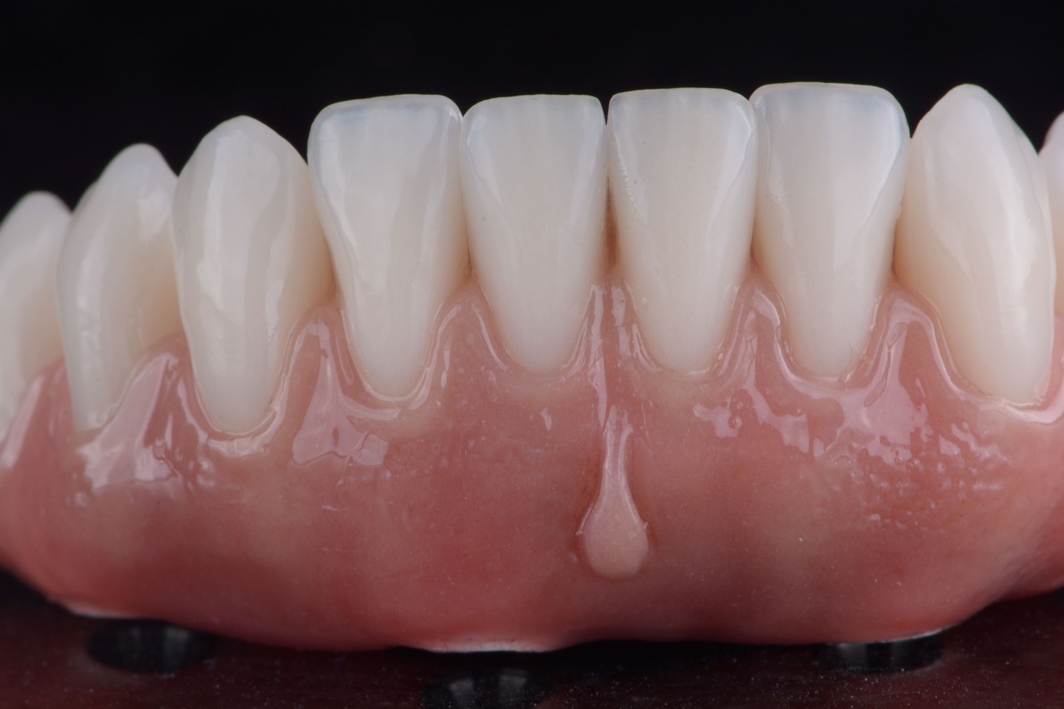
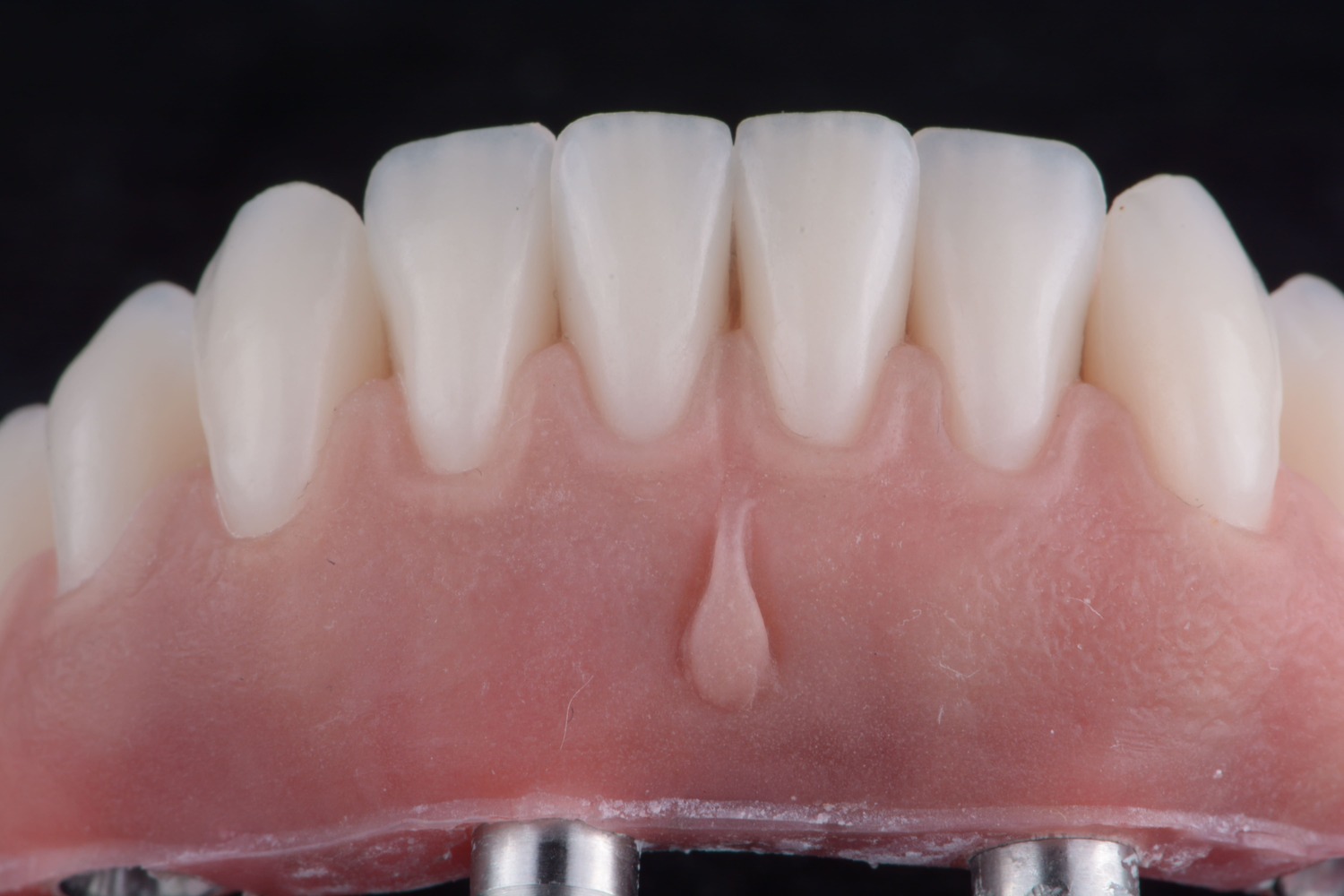
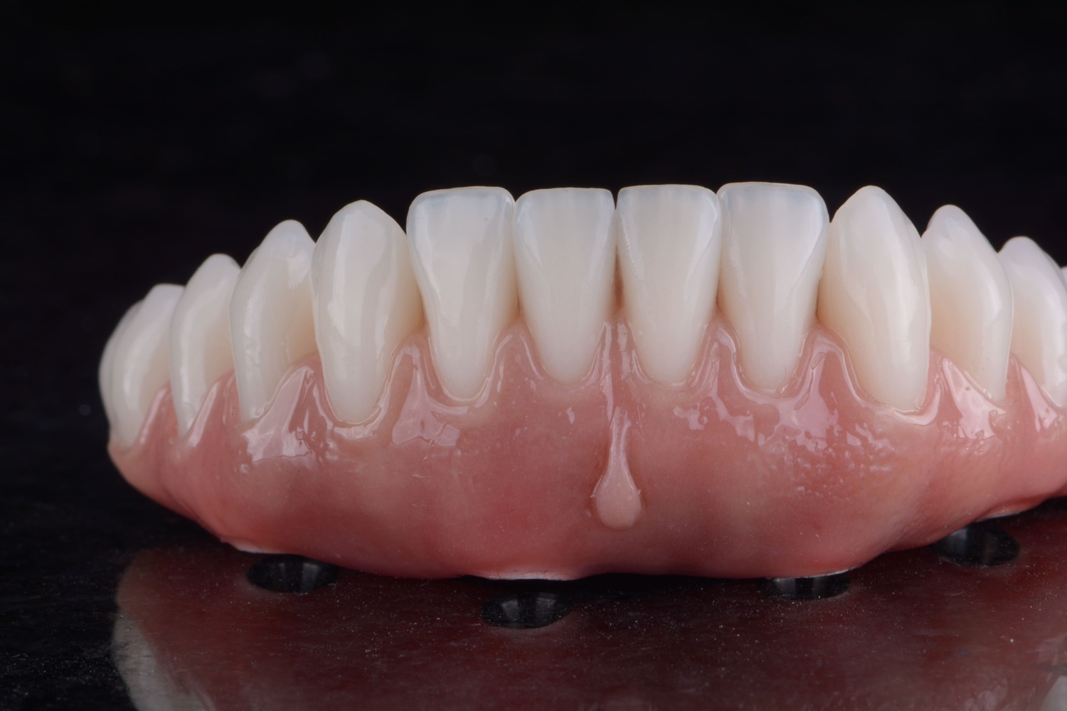
No caso das próteses totais e protocolos sobre implante, além de uma montagem personalizada dos dentes, é possível criar padrões de anatomia gengival que se reproduzam a gengiva natural e saudável. Para isso, a criação de uma de textura e aspecto de “casca de laranja” são fundamentais quando pensamos em estética.
Além da rugosidade superficial das próteses, durante o processamento dos trabalhos, é possível haver micro porosidades, não visíveis a olho nu, mas que certamente contribuirão para o acúmulo de placa, manchamento precoce e consequente diminuição da vida-útil das próteses.
Um recurso, muito útil para evitar que isso aconteça, é a aplicação de um selante de superfície para resinas acrílicas. Sua função é a de vedar a superfície da resina, recobrindo quaisquer micro irregularidades superficiais que possam haver e garantir a durabilidade da lisura e durabilidade da prótese.
A sequência abaixo mostra o passo-a- passo da aplicação do selante Palaseal (Kulzer), que é um produto extremamente fácil de ser aplicado e introduzido no fluxo de trabalho, além de ser altamente resistente e garantir a longevidade do trabalho protético.
Sobre as autoras:
Beatriz Vieira
- Técnica em Prótese Dental
- Sócia proprietária do Instituto Gineton Rodrigues – Laboratório e Centro de treinamento
- Especialista em Prótese Total pela Unifaes São Paulo
- Ministradora de cursos de atualização em Protocolo Acrílico e Prótese Total
Dra. Patrícia Lloret
- Cirurgiã-dentista formada pela UNESP – S.J Campos
- Mestre e Doutora em Odontologia Restauradora pela Universidade de São Paulo
- Gerente Técnico Científico da Kulzer Brasil




















Fui aluno e lecionei PT com o Dr. Henrrique Serveira Neto, em Santos e São José dos Campos. Filho de Protetico e protética também. Até hoje já com mais de 40 anos de profissão faço minhas PT. Mas ultimamente tenho encontrado dificuldades na criação de bolhas na resina incolor. Já fiz de tudo, mudei material , isolante não consigo ter mas próteses sem algumas bolhas. Poderia me ajudar com alguma sugestão? Obrigado.
Olá Waldir, tudo bem? De acordo com a especialista Beatriz Vieira, bolhas podem ocorrer por diversos motivos. Pode ser o isolante, tempo de prensagem, tempo de polimerização, tempo de temperatura, falta de material etc. Vamos fazer um post sobre esse tema em breve aqui no nosso blog, então continue nos acompanhando! Obrigada!
Gostaria de ter maiores informações sobre o assunto.