A agenesia dentária é uma anomalia de desenvolvimento dentário classificada como anomalia de número, sendo caracterizada pela ausência congênita de um ou mais dentes.
Clinicamente, além da estética, pode comprometer a fonação, oclusão e função mastigatória.
A causa é multifatorial, envolvendo fatores genéticos, hereditários e/ou ambientais, impactando no desenvolvimento embrionário da dentição, tanto decídua como permanente.
Por isso, é importante o dentista conhecer a etiologia, classificação, diagnóstico diferencial e possibilidades de tratamento, observando as características do desenvolvimento craniofacial do paciente, bem como as limitações biológicas.
Neste artigo, vamos abordar os tipos, causas, como realizar o diagnóstico e quais são as soluções da Odontologia multidisciplinar para promover o sucesso do caso clínico.
O que é agenesia dentária?
Também chamada de agenesia dental, é definida como a ausência congênita de um ou mais dentes, devido à falha na formação do germe dentário durante o desenvolvimento embrionário, sendo unilateral ou bilateral.
Pode ocorrer em conjunto com outras anomalias dentárias, como por exemplo a erupção ectópica e microdontia.
Quais são os tipos de agenesia dentária?
A anomalia pode se manifestar tanto na infância como na fase adulta, sendo:
- Agenesia de dentes decíduos: ausência congênita de um ou mais dentes decíduos;
- Agenesia de dentes permanentes: ausência congênita de um ou mais dentes permanentes, sendo caracterizada pela retenção prolongada da dentição decídua na arcada dentária.
Para facilitar a compreensão, elaboramos esta tabela:

É importante lembrar que a prevalência é maior na dentição permanente, sendo rara a ocorrência na decídua.
Qual a classificação da agenesia dentária?
A agenesia é classificada de acordo com a quantidade de dentes ausentes, sendo:
1. Hipodontia:
- Agenesia dentária leve;
- Ausência congênita de um até seis dentes;
- É a manifestação mais comum da anomalia.
2. Oligodontia:
- Agenesia dentária moderada;
- Ausência congênita de mais de seis dentes;
- Apresenta maior complexidade clínica;
- Geralmente associada à síndromes genéticas e condições sistêmicas.
3. Anodontia:
- Agenesia dentária grave;
- Ausência total de dentes;
- Caracterizada pelo edentulismo;
- Geralmente relacionada à displasia ectodérmica.
Segue tabela comparativa, para facilitar a compreensão:

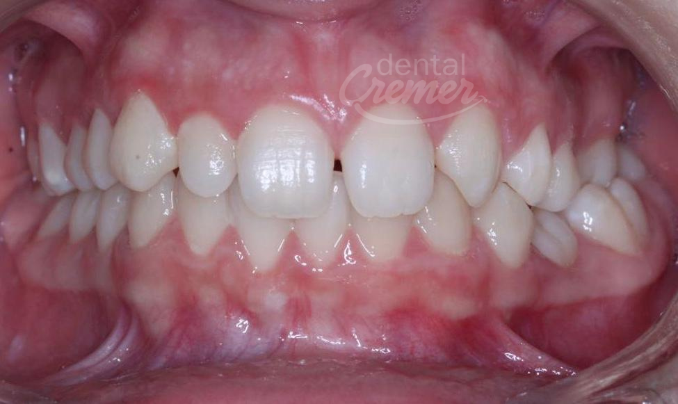
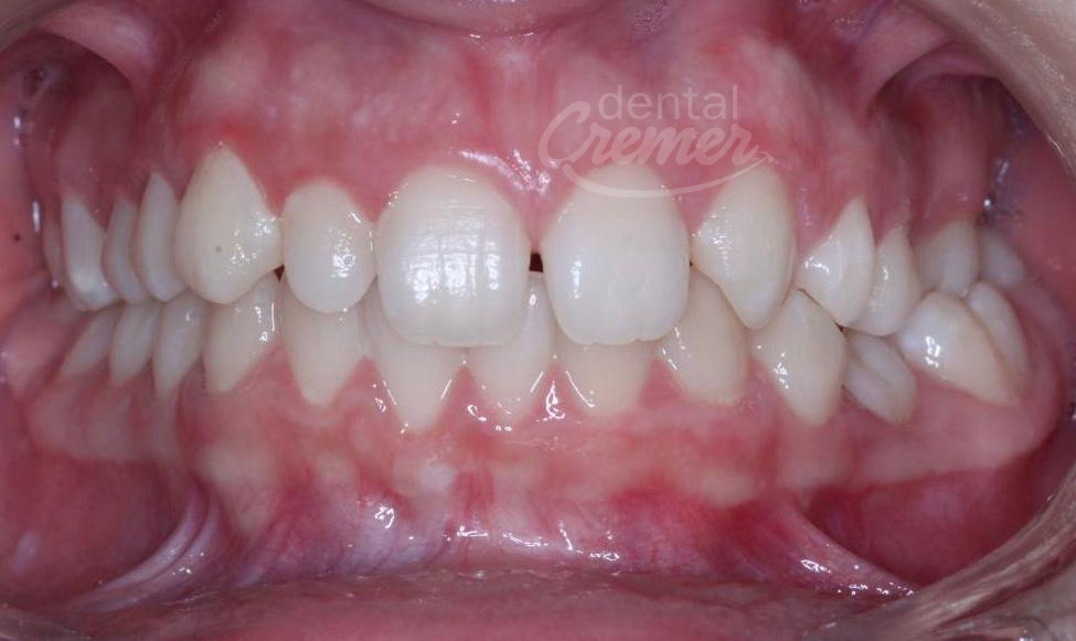
A ausência de um elemento dental não deve ser imediatamente interpretada como agenesia dental.
O diagnóstico diferencial entre atraso eruptivo, impactação dentária e ausência congênita é realizado por meio de exame clínico, anamnese e radiografia odontológica.
Quais os dentes mais atingidos pela agenesia dentária?
A agenesia pode ser de qualquer dente, mas prevalência varia de arcado com o tipo de dentição:
Dentição decídua:
- Incisivo lateral superior;
- Incisivo central superior;
- Incisivo lateral inferior.
Dentição permanente:
- Segundo pré-molar inferior;
- Incisivo central superior;
- Segundo pré-molar superior.
É importante lembrar que a ausência de terceiros molares também é muito comum.
Quais as causas da agenesia dentária?
A agenesia é multifatorial, sendo causada por um ou mais fatores. As principais causas da ausência dentária congênita são:
1. Fatores genéticos e hereditários:
- Alteração de genes responsáveis pela odontogênese;
- Ocorre em mais de um membro da família;
- A agenesia em parentes de primeiro grau aumenta a probabilidade da condição no paciente.
2. Síndromes e doenças congênitas:
Associada à algumas condições, como por exemplo:
- Síndrome de Down;
- Displasia ectodérmica;
- Síndrome de Garder;
- Síndrome de Rieger;
- Fissura labiopalatina.
3. Fatores ambientais:
- Infecções sistêmicas durante a gestação;
- Uso de determinados medicamentos durante a gravidez;
- Exposição à radiação;
- Quimioterapia;
- Radioterapia;
- Deficiência nutricional;
- Traumas na região maxilofacial em fases precoces do desenvolvimento.
4. Distúrbios durante a odontogênese
- Falha na fase de iniciação da odontogênese;
- Ausência do desenvolvimento da lâmina dentária.
A compreensão desses fatores é fundamental para o dentista realizar o diagnóstico correto e elaborar o plano de tratamento ideal para cada caso clínico.
Diagnóstico e tratamento da agenesia dentária
O diagnóstico precoce, bem como o tratamento odontológico multidisciplinar, são fundamentais na prevenção do comprometimento da função, além de promover o resultado estético.
Como é feito o diagnóstico da agenesia dentária?
A conclusão do diagnóstico é feita por meio de anamnese, exame clínico e exame radiográfico.
Saiba mais sobre a importância de cada etapa no diagnóstico da agenesia dental:
Anamnese odontológica
- Histórico familiar da agenesia;
- Se o paciente apresenta alguma síndrome genética;
- Avaliação de fatores e riscos ambientais;
- Se o paciente já sofreu algum trauma na face.
Exame clínico odontológico
- Ausência de algum elemento dental;
- Atraso de erupção de dentes decíduos;
- Atraso de erupção de dentes permanentes;
- Ausência de espaço para erupção do dente permanente;
- Retenção prolongada de dentes decíduos;
- Diastemas atípicos;
- Assimetrias na arcada dentária.
Radiografia Odontológica
Papel fundamental no diagnóstico;
Realização de radiografia panorâmica;
Tomada radiográfica periapical.
Saiba mais da importância da radiografia no diagnóstico:
Radiografia periapical:
- Fundamental para levantar a hipótese diagnóstica;
- Análise detalhada de um elemento dental específico.
Radiografia panorâmica:
- Avaliação do desenvolvimento dos ossos da face;
- Permite a visualização de todos os germes na arcada dentária;
- Confirma a ausência de algum elemento dental;
- Identifica a presença de algum dente incluso/impactado.
👉 Leia também: A importância da radiografia panorâmica no planejamento do caso
Quais as consequências da agenesia dentária?
A ausência de dentes impacta negativamente o paciente em seguintes aspectos:
- Oclusão;
- Alinhamento dentário:
- Falta de espaço na arcada;
- Espaço entre os dentes;
- Mastigação;
- Fonação;
- Questões emocionais;
- Estética;
- Harmonia facial.
Por isso, o tratamento odontológico é fundamental para estabelecer estética e função, além de promover a qualidade de vida do paciente.
Qual o tratamento para agenesia dentária?
O plano de tratamento para agenesia dental deve ser individualizado, considerando os seguintes fatores:
- Idade do paciente;
- Quantidade de dentes ausentes;
- Padrão esquelético;
- Saúde periodontal;
- Oclusão;
- Comprometimento estético;
- Comprometimento da função.
Na maioria dos casos, é realizado tratamento odontológico multidisciplinar, envolvendo as seguintes especialidades odontológicas:
1. Ortodontia
- Manutenção de espaço em pacientes jovens;
- Fechamento de espaço;
- Abertura de espaço para implante dentário;
- Correção da maloclusão.
2. Dentística
- Faceta dental;
- Laminado dental.
3. Implantodontia
- Instalação de implante dental.
4. Prótese Dental
- Prótese provisória;
- Prótese fixa;
- Prótese sobre implante.
Cabe ao dentista avaliar, de acordo com a classificação da agenesia e condições bucais do paciente, qual a solução ideal para cada situação clínica.
Conclusão
Para o diagnóstico adequado da agenesia dentária, além do conhecimento sobre os fatores genéticos e ambientais, é fundamental o dentista estar atento ao atraso de erupção, retenção prolongada do elemento dental, presença ou ausência de espaços, além de realizar a radiografia periapical e panorâmica.
Assim, é possível avaliar a complexidade de cada caso para escolher o tratamento ideal para cada paciente, estabelecendo estética e função.
Para promover o sucesso clínico e longevidade do tratamento em casos de agenesia, é fundamental o dentista trabalhar com materiais de qualidade.
Por isso, a Dental Cremer | Henry Schein oferece produtos para diversas especialidades, de marcas que são referência no mercado odontológico.





Minha filha tem 7 anos e faz uso de aparelho movel para expandir a arcada há quase 1 ano, tendo ótimos resultados até então, porém na segunda panorâmica, descobrimos a agenesia do permanente 12, agora estou em busca do melhor para ela nesse caso, seu blog foi esclarecedor. obrigada