Este conteúdo é destinado exclusivamente a cirurgiões-dentistas, com o objetivo de compartilhar informações técnicas e clínicas dentro dos limites éticos da Odontologia.
A busca por tratamentos de clareamento têm sido mais requisitado nos dias atuais. Além do sorriso branco, os pacientes desejam conforto durante o processo clareador, ou seja, sem sensibilidade! Diante disso, muitas marcas optaram por incluir componentes em suas fórmulas visando a diminuição da sensibilidade dentinária. Nesse caso clínico, você vai conferir o processo de clareamento utilizando o clareador Power Bleaching, da BM4.
Descrição do caso clínico
Paciente sexo feminino, 32 anos. Queixa principal: “Gostaria de ter os dentes mais claros. Acredito que passa um aspecto mais saudável.”
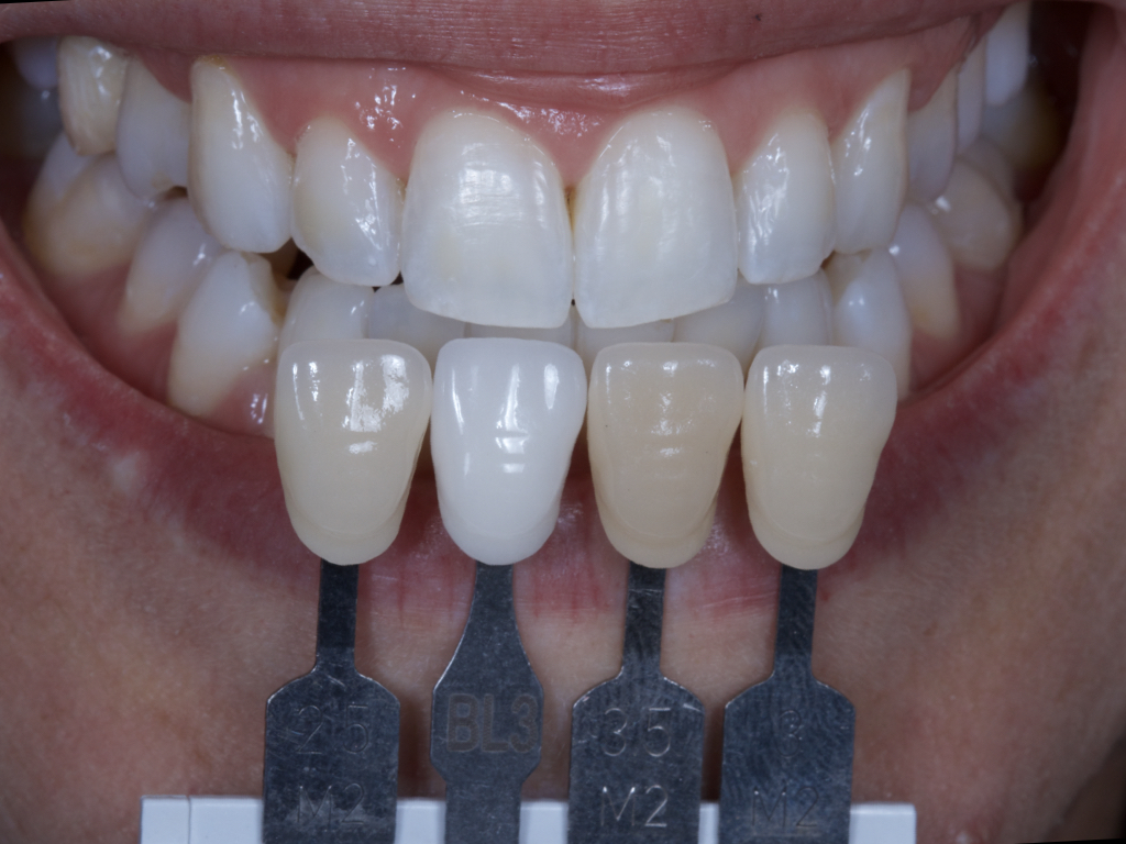
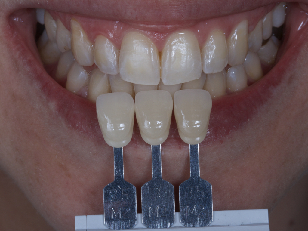
Avaliação clínica: Centrais na cor 2,5M2 e caninos 3,5M2 da escala Vita Bleachedguide 3D-MASTER. Antes de tudo, realizamos a raspagem supra-gengival e profilaxia. Em seguida iniciamos o tratamento clareador.
Tratamento executado
Utilizou-se a técnica Office e Home (clareamento de consultório e caseiro). Após a primeira sessão de clareamento office utilizamos um dessensibilizante, visto que a paciente relavou uma leve sensibilidade. No decorrer do tratamento, não houve necessidade de procedimento dessensibilizante, já que a paciente não apresentou desconforto com o uso do gel Power Bleaching 37% e 16%.
Metodologia utilizada para o caso
- Foi realizada a profilaxia com pedra pomes e água de todos os dentes da paciente;
- Logo depois, foi realizada a fotografia de cor inicial (2,5M2) e escolha da cor preterida (BL3);
- Foi inserida barreira gengival fotopolimerizável Maxdam e utilizado o Power Bleaching 37% por 1 (uma) hora sem intervalo. Isso se deu por consequência da composição que apresenta o peróxido de carbamida e oxalato de potássio. Essas substâncias são responsáveis por reduzir a sensibilidade durante o clareamento dental;
- Ao término da sessão no consultório, a paciente relatou sensibilidade leve nos dentes anteriores superiores e inferiores. Foi feita aplicação de Painless 5% durante 10 min após o tempo determinado e removido com algodão. Após isso, a mesma informou que cessou a sensibilidade.
- A paciente foi orientada a continuar o uso do Power Bleaching Home 10% por 7 dias, em sessões de 1 a 2 horas diárias. Além disso, foi recomendado nunca dormir com as moldeiras de acetato, para que a pressão destas por contenção do gel não fosse mais um fator causal de sensibilidade dentinária. Orientamos também a escovação imediata após ingestão de alimentos fortemente corados, como: vinho, açaí, refrigerantes, com o uso de escova super macia, preferencialmente sem o uso de pasta abrasiva;
- O retorno do paciente no consultório foi após os 7 dias. Realizou-se a segunda sessão com Power Bleaching Office 37% por 1 hora. Como não houve relato de sensibilidade, pode-se aumentar a concentração do gel caseiro para Power Bleaching Home 16%. Por fim, em seu terceiro e quarto retorno para clareamento no consultório, seguiu-se a mesma forma de aplicação.
Materiais utilizados
- Barreira Gengival fotopolimerizável Maxdam Azul;
- Clareador à base de peróxido de carbamida Power Bleaching Office 37%;
- Clareador à base de peróxido de carbamida Power Bleaching Home 10% e 16%;
- Dessensibilizante Painless 5%.
Tempo de uso
Power Bleaching Office 37% – 4 sessões;
Power Bleaching Home 10% – 2 horas diárias por 07 dias
Power Bleaching Home 16% – 2 horas diárias por 21 dias.
Número de Sessões
4 sessões de consultório e 4 de tratamento caseiro.
Resultado do caso clínico
Observou-se melhora significativa e satisfatória no aspecto estético e branqueamento dental da paciente. O tratamento foi concluído com a evolução de cor final para: centrais e caninos BL3, como a expectativa da paciente.
Saiba como o clareamento dental pode ajudar no aumento do faturamento do seu consultório!


Comentários
Nenhum comentário