Este conteúdo é destinado exclusivamente a cirurgiões-dentistas, com o objetivo de compartilhar informações técnicas e clínicas dentro dos limites éticos da Odontologia.
A reabilitação protética implanto-suportada na região anterior da maxila é um desafio para o cirurgião-dentista. Entender a correta posição tridimensional dos implantes osseointegrados, interferem diretamente na seqüência de reabilitação.
Além disso, deve–se levar em consideração a proximidade de estruturas anatômicas, biotipo gengival e disponibilidade óssea. O sucesso de uma prótese sobre implante depende da criação da mesma e a harmonia do tecido periimplantar.
Os implantes dentários são diferentes dos dentes naturais em tamanho, forma, nível da crista óssea, e nível de mucosa. Após a remoção do tapa implante, a geometria do perfil do tecido é circular. Como os incisivos têm um perfil de tecido mais triangular, o tecido mole peri-implantar deve ser convertido para este formato.
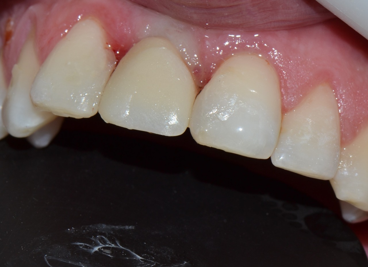
O objetivo deste caso clínico foi estabelecer um perfil de emergência adequado. Buscou-se harmonia com a gengiva e área de contato proximal entre dentes adjacentes.
Além disso, foi definido a localização do zênite gengival e perfil peri-implantar numa forma triangular. Como resultado, seguindo o formato natural do dente.
Descrição do caso clínico
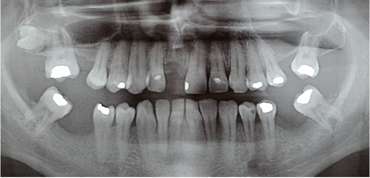
Região do elemento 11 edêntula. Foi realizado o planejamento para instalação de um implante na região desdentada, tentando deixar o mais parecido com o dente vizinho. Após exames complementares e planejamento, foi realizada a instalação de um implante Cone Morse 3.5×10 mm com enxerto Lumina Bone na região vestibular.
Após isso, foi realizado o preenchimento do enxerto com membrana de LPRF. Como o torque adquirido na instalação do implante foi de 25 N, não foi realizado provisionalização imediata.
Depois da osseointegração do implante, foi realizada a reabertura e instalação de um cicatrizador. Em seguida foi feita a moldagem e confecção de uma prótese provisória em resina acrílica (em laboratório) para condicionar o tecido periimplantar da região e proporcionar a reabilitação protética definitiva. Foram realizadas restaurações em resina nos elementos 12 e 21 para condicionamento adequado das papilas interdentárias.
Considerações Finais
A reabilitação de áreas edêntulas na região anterior da maxila é um procedimento que requer adequado planejamento. A partir disso, envolver a manipulação dos tecidos ósseo, gengival e contornos da prótese, a fim de agregar melhorias ao final do caso. Como resultado, alcançamos uma reabilitação com características semelhantes aos dentes naturais.
Sobre a autora:
Ana Paula Moro Quinteiro | Cirurgiã Dentista | CRO: 23956-MG
Especialista em Implantodontia (Facsete) | Mestra em Implantodontia São Leopoldo Mandic Campinas
Residente em CTBMF Unifenas | Especializanda em HOF Funorte
Diretora da Empresa Dra. Chica








Comentários
Nenhum comentário