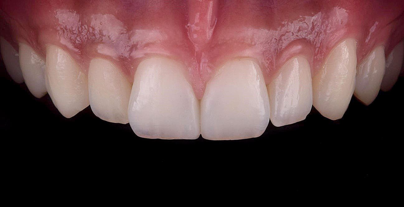
A queixa principal do paciente masculino de 17 anos de idade era a insatisfação com seu sorriso devido a presença de uma diastema entre os incisivos centrais superiores, sendo assim, foi realizada a avaliação inicial do paciente para verificar a possibilidade do fechamento de diastemas.
Avaliação inicial do paciente para realização do fechamento de diastemas
Ao exame clínico inicial, não foi observada nenhuma lesão cariosa e perfeita saúde periodontal do paciente.
Observou-se a presença do diastema de 2 mm entre os incisivos centrais superiores, com o incisivo central superior esquerdo levemente inclinado em relação ao seu longo eixo, mas ainda em uma situação favorável para o fechamento do diastema.
O paciente não apresentava queixa em relação à cor de seus dentes.

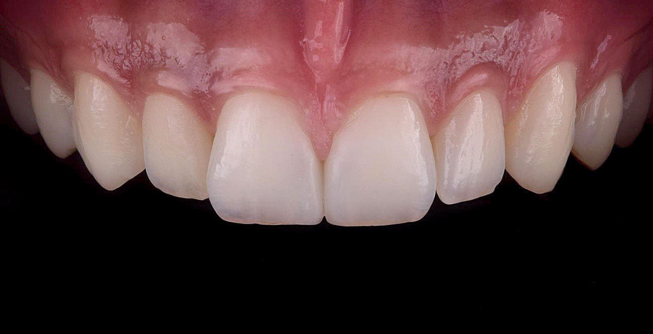
Tratamento executado para o fechamento de diastemas
Foi realizado profilaxia com pedra-pomes e ensaio restaurador com a resina composta unicromática, sem isolamento do campo operatório e sem realização de procedimento adesivo prévio, para que o paciente pudesse avaliar o resultado pretendido, tanto em relação à alteração da forma, quanto à cor das restaurações.
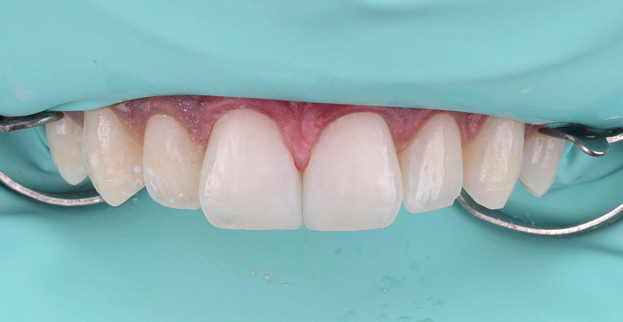
Após concordância do paciente com o tratamento proposto, foi realizado isolamento absoluto modificado do campo operatório, realização de procedimento adesivo com condicionamento ácido total do dente 21 com ácido fosfórico, aplicação do sistema adesivo, fotopolimerização por 10 segundos e inserção da resina composta.
Após a fotopolimerização do último incremento de resina utilizado no dente 21, foi realizado acabamento com discos de lixa Diamond Pro e polimento com borrachas abrasivas e disco de feltro Diamond Flex e pasta de polimento Diamond Excel.
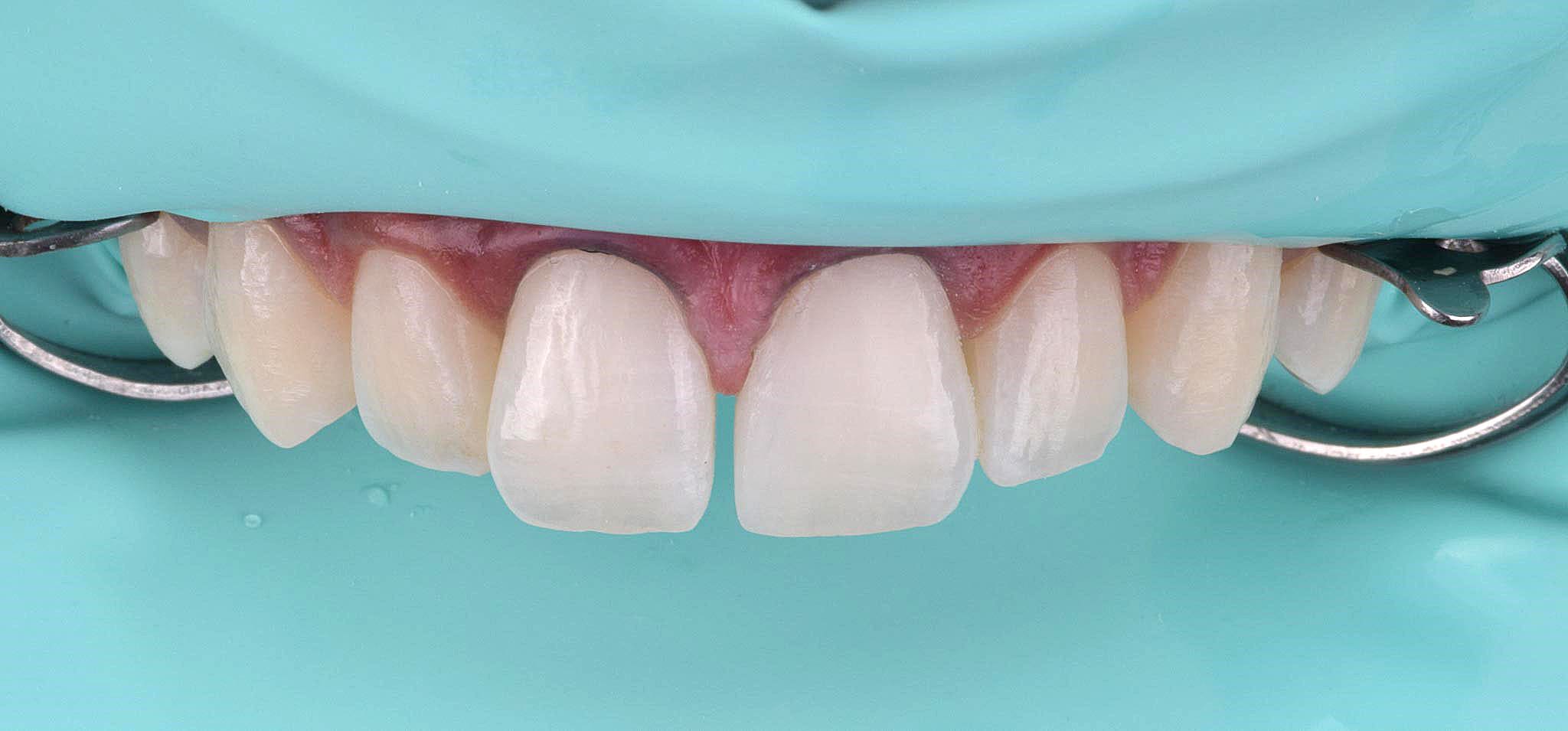
Finalizada a restauração do dente 21, foi realizada a restauração do dente 11, seguindo a mesma sequência técnica e uso de fita matriz de poliéster tracionada para obtenção de uma superfície proximal lisa e contato adequado com o dente 21.
Após a finalização da restauração do dente 11, foram realizados os procedimentos de acabamento e polimento e o paciente agendado para avaliação em 7 dias.
Compre os produtos que foram utilizados nesse caso clínico, aproveite nossa solução completa para renovar seu estoque de materiais!
Confira outro caso clínico na prática com a Resina Vittra APS Unique
Sobre o autor:
Dr. Carlos Eduardo Agostini Balbinot | CRO RS-CD-11600
Possui Graduação em Odontologia pela Universidade Federal de Santa Maria (UFSM). Especialista em Dentística Restauradora pela Universidade Federal de Santa Catarina (UFSC), Mestre e Doutor em Odontologia, área de concentração Materiais Dentários pela Pontifícia Universidade Católica do Rio Grande do Sul (PUCRS). Professor das Disciplinas de Clínica Integrada da Universidade Franciscana – UFN, Santa Maria, RS. Atua em clínica particular na cidade de Santa Maria (RS), desde 1999.
Parceiro autorizado pela FGM.










Comentários
Nenhum comentário