O diastema interincisivos representa um comprometimento estético e psicológico para os seus portadores. Frequentemente, ele é visto como principal queixa, influenciando diretamente na busca do paciente pelo tratamento ortodôntico.
Assim sendo, deve-se ressaltar que o diastema interincisivo é uma má oclusão com frequência muito variável na população, que acomete aproximadamente entre 3,7% a 36,8% das pessoas. A etiologia é diversa e muitas vezes responsável pelo insucesso na estabilidade do seu tratamento.
Porém, as causas podem variar de alterações anatômicas dentárias, gerando a chamada discrepância de Bolton ou ainda, as alterações periodontais como defeito ósseo ou inserção baixa de freio. O método de tratamento, por sua vez, varia de acordo com a extensão desse diastema, podendo ser fechado com procedimentos de dentística restauradora ou aproximando os dentes ortodonticamente.
Tratamento ortodôntico para casos de diastema interincisivos
Quando opta-se pelo fechamento ortodôntico, deve-se ter cuidado com a mecânica empregada, para não incorrer em instabilidade ou piorar de relações oclusais, como os trespasses horizontal e vertical. Sabe-se que no procedimento de fechamento de espaços, o momento criado pelo vetor de força empregado cria um movimento pendular que aumenta a angulação mesial e lingual.
Especificamente, o aumento da inclinação lingual gera um abaixamento da superfície incisal dos incisivos, acarretando no aprofundamento da mordida. Mas atenção! Quando a mordida já é profunda, corre-se o risco de piorar essa condição, estendendo e complicando o tratamento posterior complementar.
Entretanto, para maior controle desses efeitos colaterais, sugere-se que o fechamento do espaço seja iniciado apenas ao final do alinhamento e nivelamento, em fios mais calibrosos e de liga de aço inoxidável. Sobretudo, por ser a principal queixa da maioria dos pacientes que apresentam essa má oclusão, postergar a solução dessa condição anti-estética pode trazer angústia ao paciente. Resultando assim, em profundo desgaste em sua relação com o profissional.
Como obter o tratamento de forma rápida e eficaz?
Atualmente é possível sugerir um método simples e prático para o paciente, com o intuito de obter esse fechamento ainda em estágios iniciais do tratamento. Ou seja, o profissional pode optar pela utilização de braquetes autoligados, fios de níquel titânio e stops como auxiliares do procedimento.
Esse método visa uma melhora significativa do problema em curto espaço de tempo e com controle efetivo dos efeitos colaterais.
Passo a passo para um trabalho de sucesso
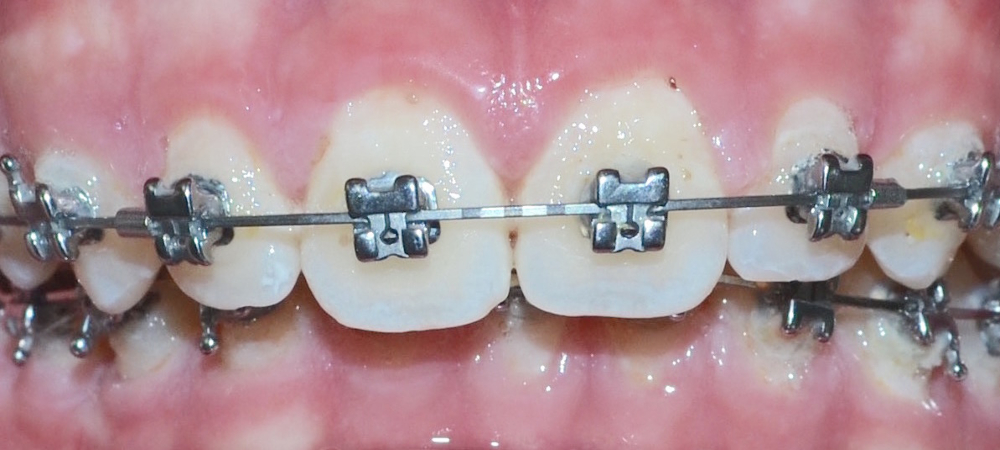
No referido caso, utilizou-se bráquetes e fios Orthometric (Ultra-P e Flexy Copper Niti).
De antemão, o profissional deve amarrilhar apenas os incisivos centrais, com fio de amarrilhos .025” até obter a pressão sentida pelo paciente.
Dica: um sinal importante a ser observado, é a isquemia da papila gengival (sinal clínico de ativação do amarrilho).
Na sequência, esse amarrilho deve ser posicionado por baixo do fio. Na consulta de retorno, o profissional ativa esse mesmo amarrilho até que os incisivos centrais estejam unidos. Do mesmo modo, após o fechamento do espaço entre os incisivos centrais, remove-se o amarrilho e colocam-se stops nas distais dos bráquetes desses mesmos incisivos (centrais).
É exatamente isso que vai proporcionar estabilização do movimento, ancoragem para a tração dos incisivos laterais e estabilidade do fio. Em suma, ele não poderá girar pelo arco dentário. Até esse momento, a estabilidade do fio pode ser conferida com a dobra distal. Mas, após a colocação dos stops, tal feito torna-se desnecessário.
Com os stops amassados ao fio, coloca-se um novo amarrilho conjugando o incisivo lateral ao central, bilateralmente e procede-se ao mesmo protocolo de ativação até que o espaço entre os laterais e os centrais se feche.
Então, remove-se os amarrilhos e os stops são deslocados para a distal dos bráquetes dos incisivos laterais, fazendo um efeito “conjugado” e assim se mantendo até o final do alinhamento, com a instalação de um fio rígido retangular de aço que poderá ser utilizado para fechar os espaços remanescentes que forem criados nas distais dos incisivos laterais. Esta ação não compromete o paciente esteticamente.
Dessa forma, temos uma resolução rápida, simples, eficaz e que satisfaz o paciente.
REFERÊNCIAS BIBLIOGRÁFICAS
1 – Jaija AMZ, El-Beialy AR, Mostafa YA. Revisiting the Factors Underlying Maxillary Midline Diastema. Scientifica, 2016: 1-5.
2 – Sekowska A., Chalas R., Dunin-Wilczynska I. Width of dental arches in patients with maxillary midline diastema Folia Morphol. 2018, 77(2): 340-344.
Liliana Ávila Maltagliati
Mestre e Doutora em Ortodontia pela FOB-USP
Professora Adjunto da Universidade UNIVERITAS-UNG
Autora do livro “Sistema Autoligado – Teoria e Prática” – Editora Plena
✍️ Deixe seu comentário
📢 Compartilhe com os amigos
🕵 Siga nossas redes:
💃🏼 TikTok
▶️ Youtube
Acesse nossa Loja Virtual e encontre a solução completa para você na Odontologia!



Comentários
Nenhum comentário