Este conteúdo é destinado exclusivamente a cirurgiões-dentistas, com o objetivo de compartilhar informações técnicas e clínicas dentro dos limites éticos da Odontologia.
Relato do caso clínico
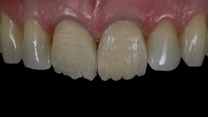
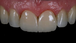
Paciente do sexo masculino 45 anos apresentou-se a clinica odontológica relatando que os dentes estavam ficando finos nas pontas.
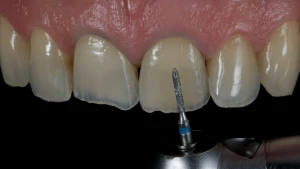
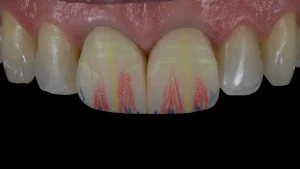
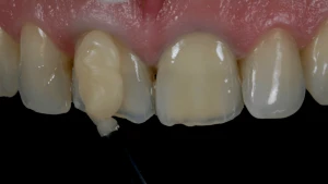
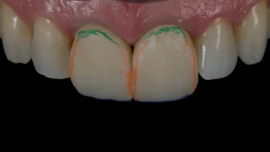
Ao exame clínico percebeu-se um desgaste acentuado por motivos parafuncionais nos incisivos centrais. Foi proposto executado então para este paciente facetas em resina composta direta com resina Filtek™ Universal 3M.
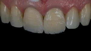
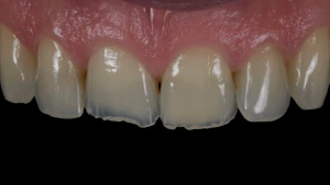
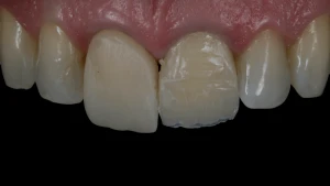
No resultado final pode-se conferir um resultado satisfatório utilizando uma resina que demanda uma técnica simplificada de aplicação.
Passo a passo das Facetas Diretas
Adquira os produtos utilizados no caso clínico:
- Resina Filtek™ Universal – A2
- Adesivo Single Bond Universal
- Resina Filtek™ Universal Cápsula A3 em cápsulas
- Resina Filtek™ Z350 XT
- Disco de Lixa Sof-Lex™ Pop On
- Disco Diamantado Espiral Sof-Lex™
Confira um review completo sobre a resina Filtek™ Universal:
Sobre o autor:
Maciel Júnior | CRO-MG 28513
Especialista em Dentística Restauradora USP Bauru
Mestre em Dentística Restauradora UNESP Araraquara
Doutor em Dentística Restauradora UNESP Araraquara
Professor Faepo UNESP Araraquara

















Comentários
Nenhum comentário