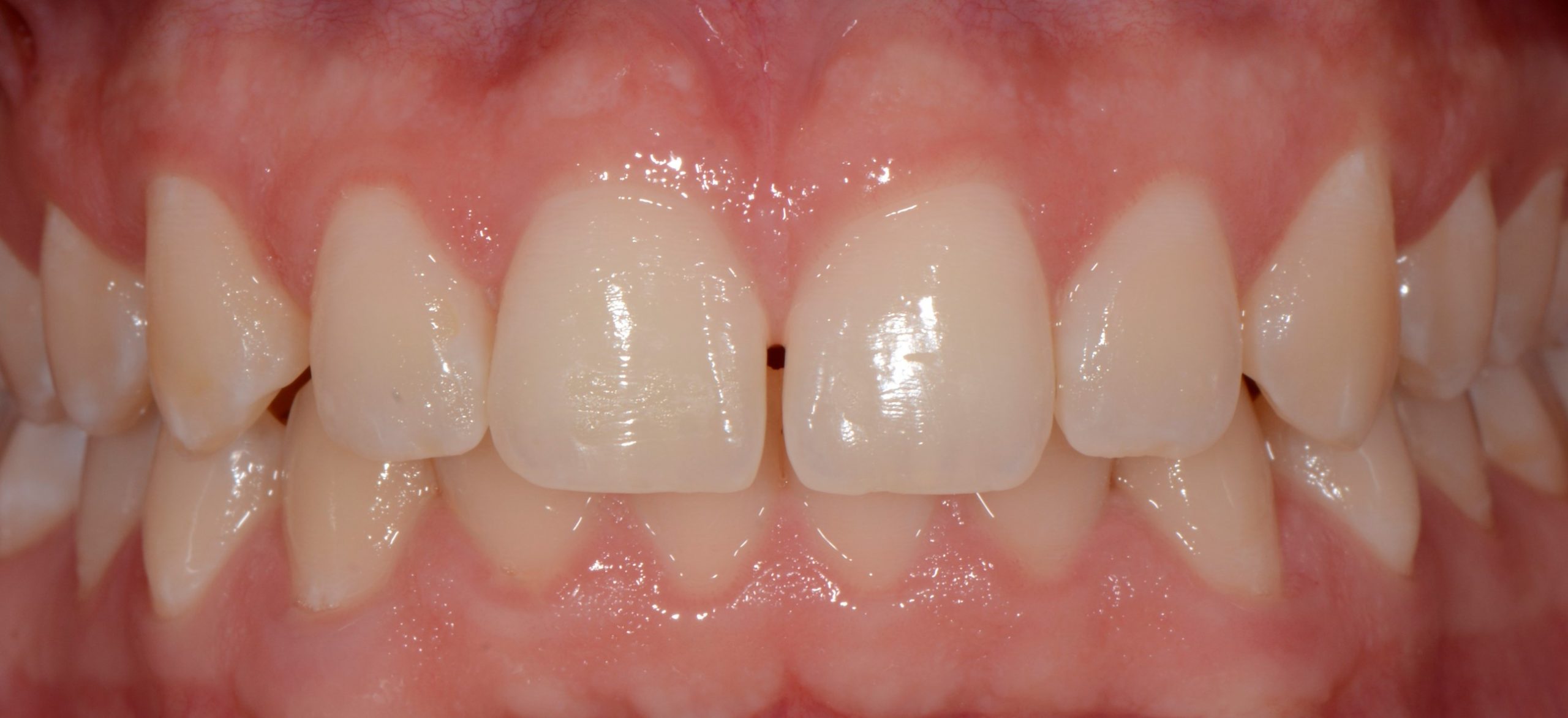
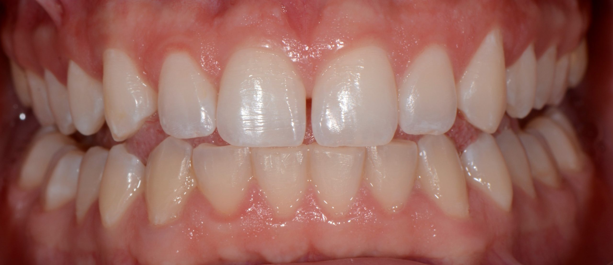
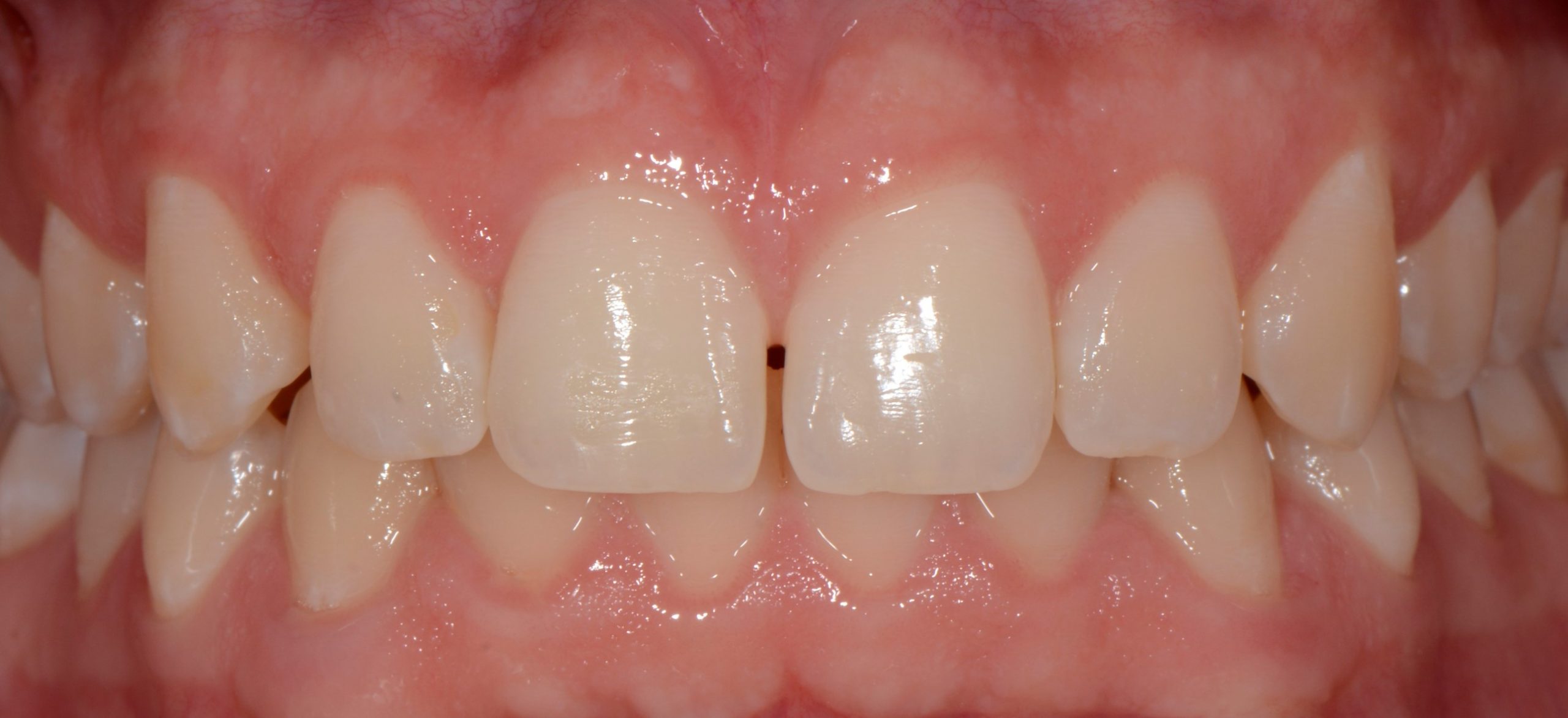
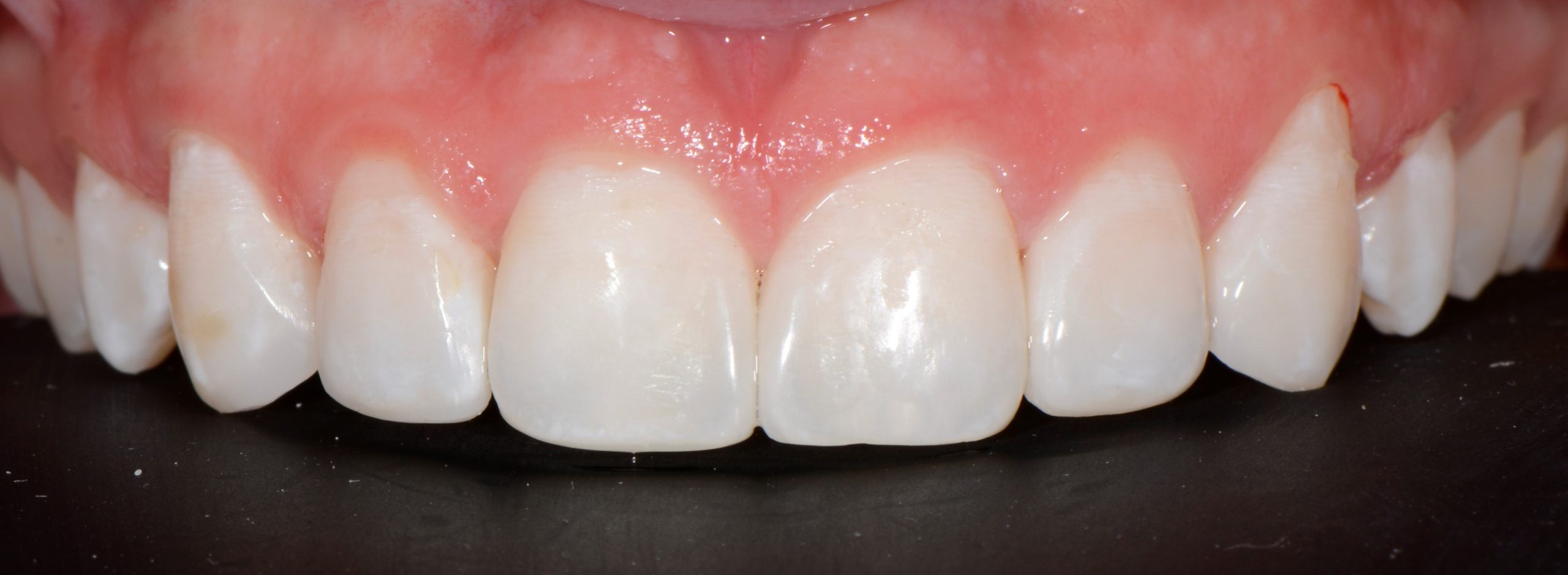
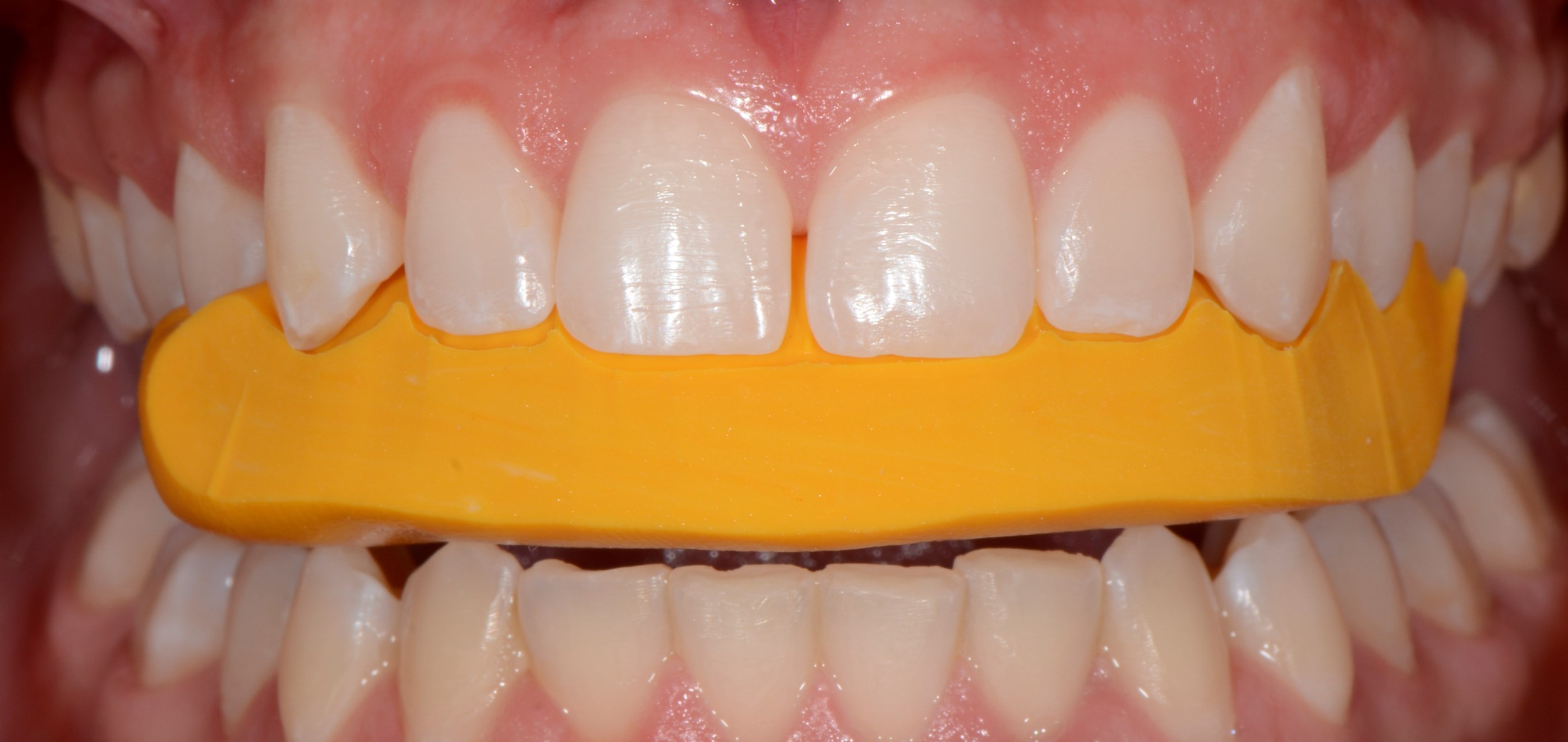
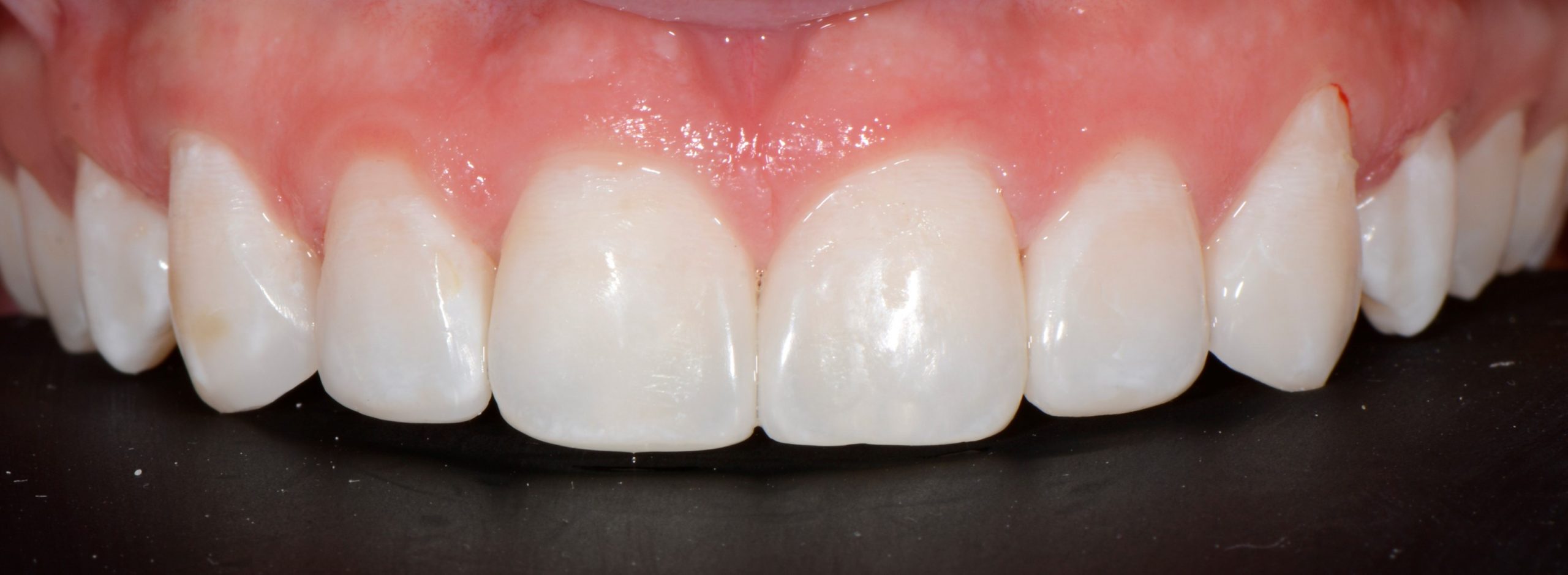
O planejamento integrado para a finalização de tratamento ortodôntico é de suma importância para alcançar a excelência funcional e estética desejada pelo paciente. O caso clínico a seguir ilustra o passo a passo dessa finalização com o uso de resina composta de opacidade única em dentes anteriores.
Passo a passo do caso clínico de finalização ortodôntica
Adquira os produtos utilizados no caso clínico
Silicone de Adição Express™ XT Denso – Solventum
Adesivo Single Bond Universal – Solventum
Resina Filtek™ Universal – Solventum
Disco Diamantado Espiral Sof-Lex™ – Solventum
Saiba mais sobre o Adesivo Single Bond Universal da Solventum
Sobre o autor
Nívio Dias
Especialista em Dentística (USP Bauru)
Mestre em Dentística (UNESP)
Prof. coordenador dos cursos de especialização em Dentística da FAOA/APCD Sorocaba e ABO Santos.
✍️ Deixe seu comentário
📢 Compartilhe com os amigos
🕵 Siga nossas redes:
➡ Facebook
➡ Instagram
➡ Pinterest
➡ TikTok
Acesse nossa Loja Virtual e encontre a solução completa para você na Odontologia!























Comentários
Nenhum comentário