Este conteúdo é destinado exclusivamente a cirurgiões-dentistas, com o objetivo de compartilhar informações técnicas e clínicas dentro dos limites éticos da Odontologia.
A procura dos nossos pacientes pela estética é cada vez mais frequente hoje em dia. Em busca de dentes claros, alinhados e de um sorriso mais harmonioso, eles nos procuram para um tratamento odontológico restaurador, um exemplo facetas com resina (nesse caso clínico Charisma da Kulzer)
O tratamento restaurador direto com resina composta em dentes anteriores é um desafio na odontologia adesiva atual, uma vez que existem vários compósitos à disposição no mercado, com características ópticas e mecânicas cada vez mais semelhantes à estrutura dentária. Além disso, o tratamento restaurador direto minimiza os desgastes da superfície dentária, tornado-se assim um tratamento extremamente conservador e de baixo custo para o clínico e para o paciente.
Um dos fatores de extrema importância para resultados excelentes e duradouros consiste na competência e habilidade do profissional na manipulação das resinas compostas.
Caso clínico com resina Charisma
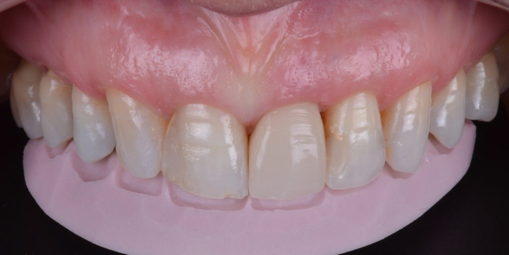
Paciente do sexo feminino, com 43 anos de idade, apresentava uma série de alterações no sorriso, como agenesia do elemento 12, restaurações antigas de Classe III e Classe IV, desgastes incisais e um implante recém realizado no dente 21, conforme a imagem a seguir:
Através do exame clínico e radiográfico foram propostas alternativas terapêuticas. Optamos por um recontorno cosmético com resina composta direta, transformação de canino em lateral, reconstrução de bordas incisais e uma faceta em resina composta direta/indireta sobre o implante. O caso foi todo realizado com resina composta para reduzir os custos para a paciente. Nesse caso, utilizamos o adesivo Gluma 2 Bond e a resina Charisma Diamond, ambos da Kulzer.
Considerações finais
O uso da técnica restauradora com resina Charisma em dentes anteriores representa um tratamento eficiente, estético, conservador e de baixo custo para o clínico e o paciente.
Autora: Dra. Camila Centenaro (CRO/SC 12989), especialista em Dentística em Florianópolis (SC).
A Harmonização orofacial pode ir muito de encontro com a especialidade de Dentística estética, a lipo enzimática pode ser o inicio para você implementar a nova especialidade no seu currículo!










Comentários
Nenhum comentário