Este conteúdo é destinado exclusivamente a cirurgiões-dentistas, com o objetivo de compartilhar informações técnicas e clínicas dentro dos limites éticos da Odontologia.
Entendemos que a estética do sorriso sempre foi uma preocupação para todas as pessoas. Com isso, sabemos da importância de novas tecnologias para contribuir de forma positiva nos tratamentos, especialmente para facilitar o dia do clínico e proporcionar o bem-estar do paciente. Neste texto, vamos falar sobre tecnologia na endodontia, e como os tratamentos de canais podem ser desmistificados.
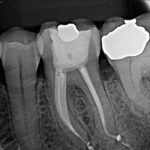
No artigo a seguir vamos mostrar o caso de um molar inferior com cinco canais. Dentre eles, o canal mésio-medial – localizado entre o mésio-vestibular e o mésio-lingual – e que está presente entre 1 e 15% dos casos.
A paciente foi indicada por um colega para o tratamento endodôntico. Anteriormente, ela havia apresentado uma pulpite aguda irreversível e, para isso, procurou um atendimento de urgência. Depois do atendimento inicial, ela foi encaminhada para a conclusão do caso.
Resumo do caso
A paciente foi encaminhada já com o acesso realizado no dente 36, após o diagnóstico de pulpite aguda irreversível. Após a anestesia, isolamento do campo operatório e remoção da restauração provisória, foram encontrados cinco canais com auxílio da microscopia. Entre eles, o canal mésio-medial, na raíz mesial, e situado entre o canal mésio-vestibular e o mésio-lingual.
Todos os canais foram preparados com limpeza foraminal, utilizando o Reciproc Blue #25 após a localização foraminal eletrônica. O glide path foi realizado com lima manual #10.02. A solução irrigadora foi soro fisiológico e gel de clorexidina a 2% em todo o preparo e, antes da obturação, o uso de ativação ultrassônica da solução de EDTA.
A obturação foi realizada com a técnica do cone único com cimento AH Plus. O selamento da cavidade de acesso foi feito em resina composta e o paciente encaminhado para o protesista.
Gostaria de compartilhar a importância do uso das novas tecnologias na endodontia, como a microscopia operatória, que facilita a localização e o tratamento desses canais articulares.
O tratamento dos canais
Neste caso, usamos as limas Reciproc Blue 25.08, ou seja, um diâmetro inicial de 25mm com uma conicidade ou taper 08mm. Após um glide path realizado com instrumento fino (10.02), percorremos e exploramos o canal radicular até o forame apical com uso dos localizadores apicais eletrônicos.
A lima Reciproc é a primeira escolha, atualmente, no consultório. Tanto a lima original, a Reciproc fabricada com uma liga de níquel-titânio M-Wire, como também a Reciproc Blue. Está última é fabricada com níquel-titânio e tratamento térmico, ou seja, mais flexível que a original.
É a nossa primeira escolha. Não só porque fornece um preparo seguro e eficiente do canal radicular usando apenas um instrumento, como também tem todo um estudo científico e para uso correto deste instrumento.
Neste caso, nós usamos a solução irrigadora soro fisiológico e clorexidina. Antes da obturação, uma agitação com ultrassom da solução EDTA e a técnica do cone único com cimento AH Plus.
>>> Confira: Cimento Endodôntico Selador AH Plus
Sobre o especialista
O Profº Bráulio Pasternak Jr. | CRO-SC 3878 é doutor em Endodontia pela Universidade de Ribeirão Preto (2008). Graduado em Odontologia pela Universidade Federal de Santa Catarina, especialista e mestre em Endodontia também pela UFSC. Atualmente é professor do curso de especialização em Endodontia do CEOI, em Florianópolis.




Comentários
Nenhum comentário