A odontologia reabilitadora está cada vez mais precisa e segura. E para isso, um planejamento preciso é essencial. E dentre esse planejamento, modelos de estudo de qualidade são essenciais.
E para a obtenção dos mesmos, uma moldagem de qualidade, com um silicone de qualidade, são essenciais, para que todos os detalhes dentais e gengivais sejam detalhadamente copiados.
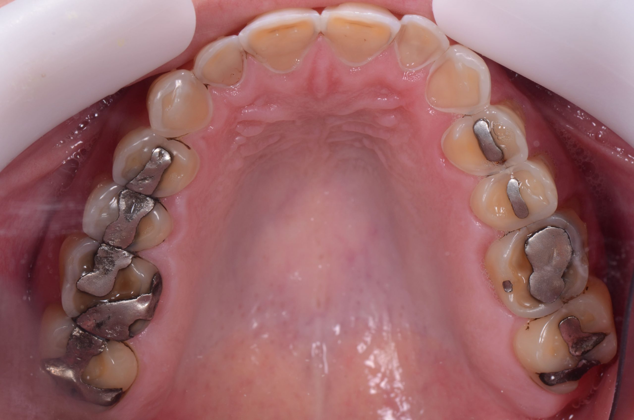
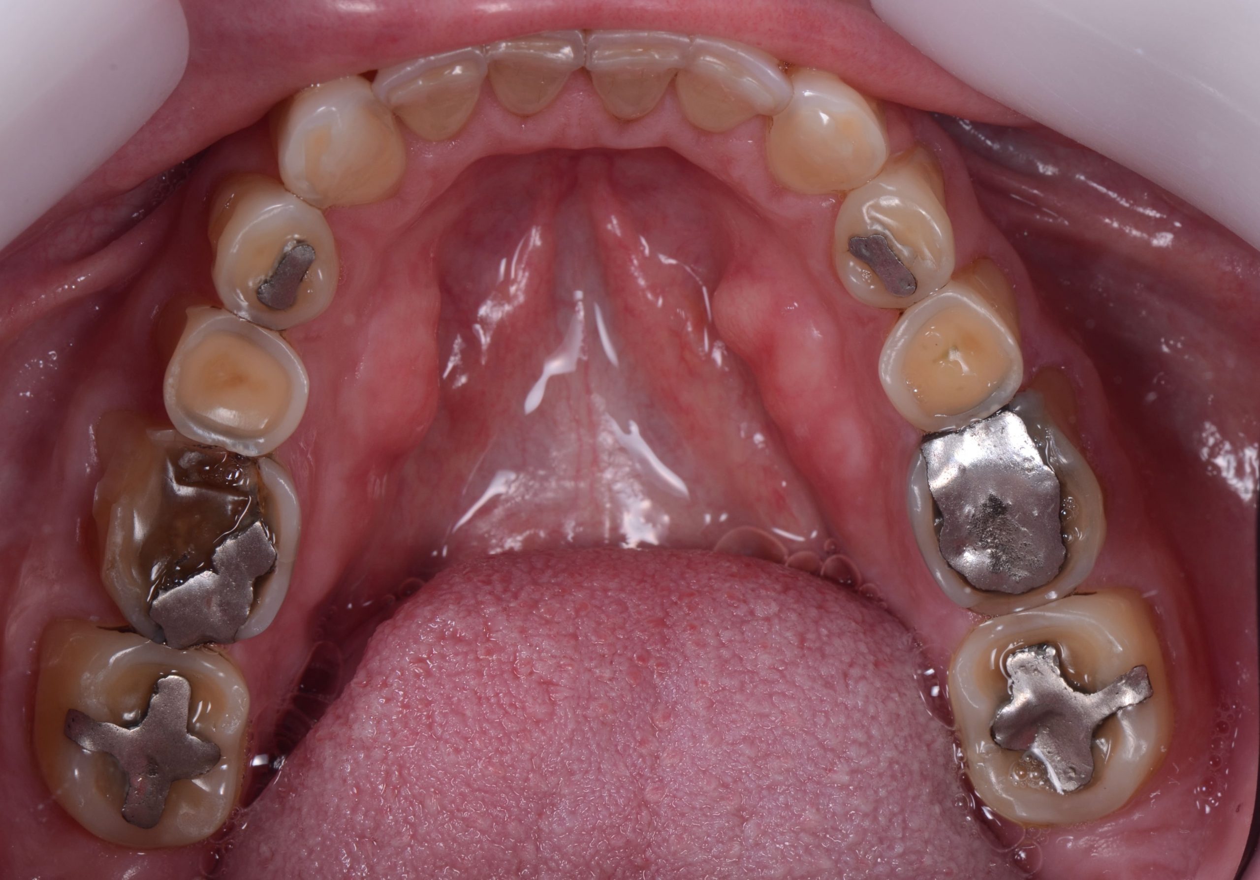
Nesse caso grande de reabilitação total, devido ao grande desgaste dental, inicialmente o paciente foi moldado com o silicone de condensação Perfil, para obtenção de um modelo de estudo de alta qualidade e assim, produzir um enceramento diagnóstico e um protótipo preciso do caso.
O Perfil é um silicone de condensação com alta capacidade de reprodução, excelente estabilidade dimensional e gostinho agradável de menta. Todas essas características em um único produto, com ótimo custo-benefício!
PASSO A PASSO CLÍNICO
Vantagens de utilizar o silicone de condensação Perfil:
- Agradável sabor de menta.
- Fácil manuseio.
- Provoca pouca salivação proporcionando conforto ao paciente.
- Biocompatível em relação aos tecidos bucais.
- Alta recuperação elástica e baixa contração de polimerização.
Saiba mais sobre o silicone de adição e poliéter, no vídeo abaixo:
Sobre o autor:
Prof. Dr. Fabio Sene | @fabio.sene
Mestre e Doutor em Dentística Restauradora (FOB – SP / University Of Missoury – USA)
Pesquisador Associado da Kansas University – Departamento de Biomateriais (Berc – USA)
Professor Adjunto da Disciplina (UEL)
Fonte: Vigodent Coltene
✍️ Deixe seu comentário
📢 Compartilhe com os amigos
🕵 Siga nossas redes:
➡ TikTok
Acesse nossa Loja Virtual e encontre a solução completa para você na Odontologia!










Comentários
Nenhum comentário