Avaliação inicial do paciente para reabilitação com pino de fibra de vidro
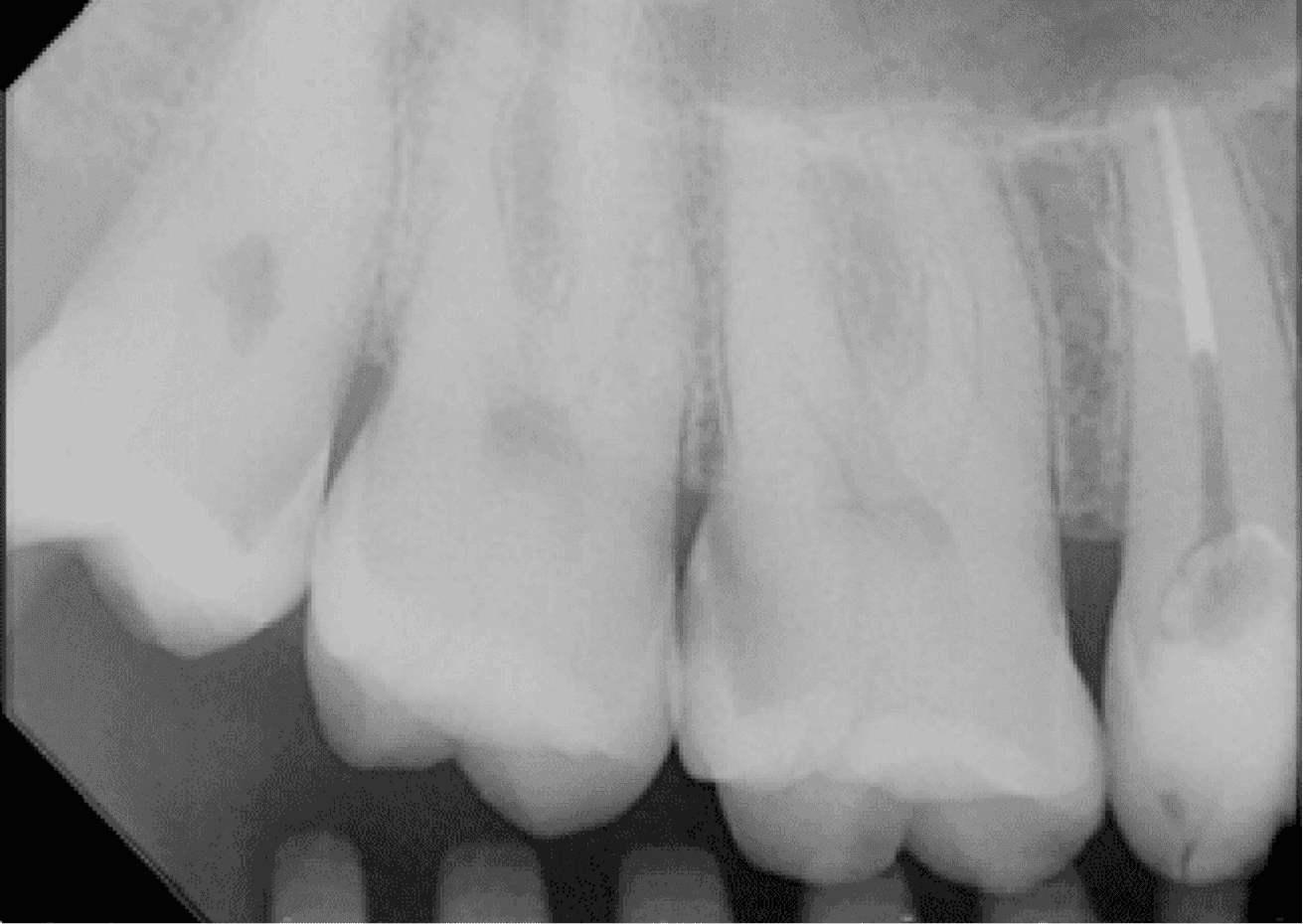
Paciente apresentou-se com elemento 15 com a necessidade de reabilitação protética devido a extensa perda de estrutura dentária.
Tratamento executado
Paciente 37 anos encaminhada ao Hospital Odontológico da Faculdade de Odontologia da Universidade Federal de Uberlândia/MG, após tratamento endodôntico para reabilitação funcional e estética.
O exame clínico inicial, do dente 15, apresentava selamento provisório com ionômero de vidro e exame radiográfico apresentava alívio de 2/3 do conduto.
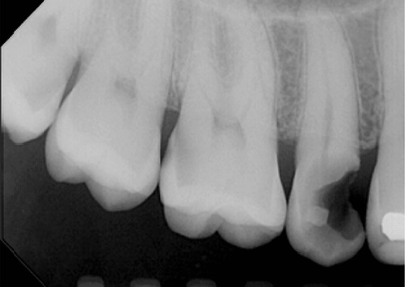
No planejamento reabilitador, foi reabilitado com dois pinos Whitepost SYSTEM cimentados com a combinação de sistema adesivo Ambar Universal APS e cimento resinoso dual Allcem CORE, que também foi utilizado para construção do núcleo de preenchimento.
A restauração final foi realizada utilizando scanner digital e coroa em resina vitrocerâmica BRAVA Block usinada em CAD-CAM, também foi cimentada com cimento resinoso dual Allcem CORE.
Passo a Passo do caso clínico de reabilitação com pino de fibra
O resultado final mostra recuperação estético-funcional satisfatória com alto grau de satisfação da paciente.
Este caso clínico foi elaborado em conjunto com o fornecedor FGM.
































Comentários
Nenhum comentário