Descrição do caso clínico
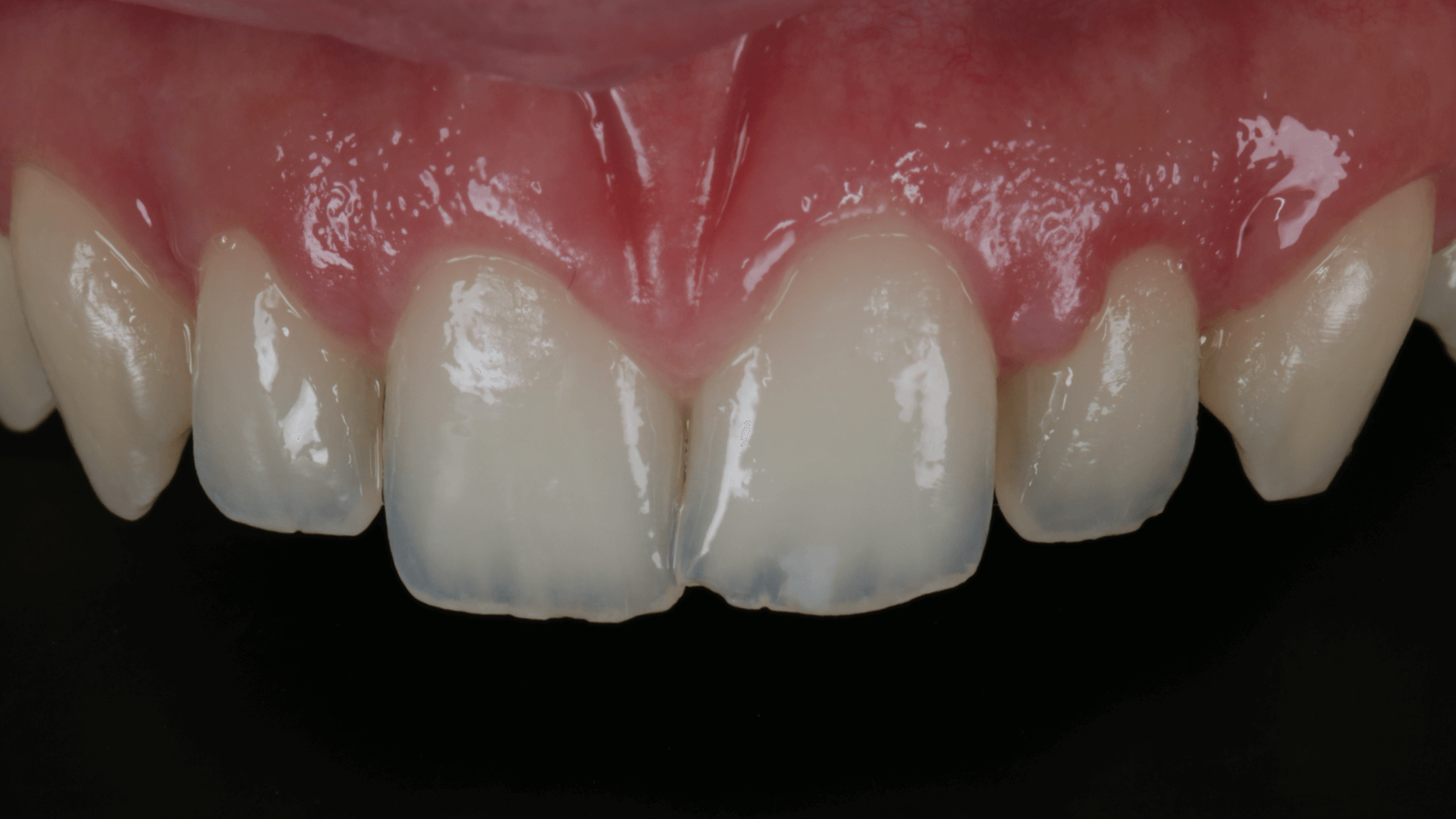
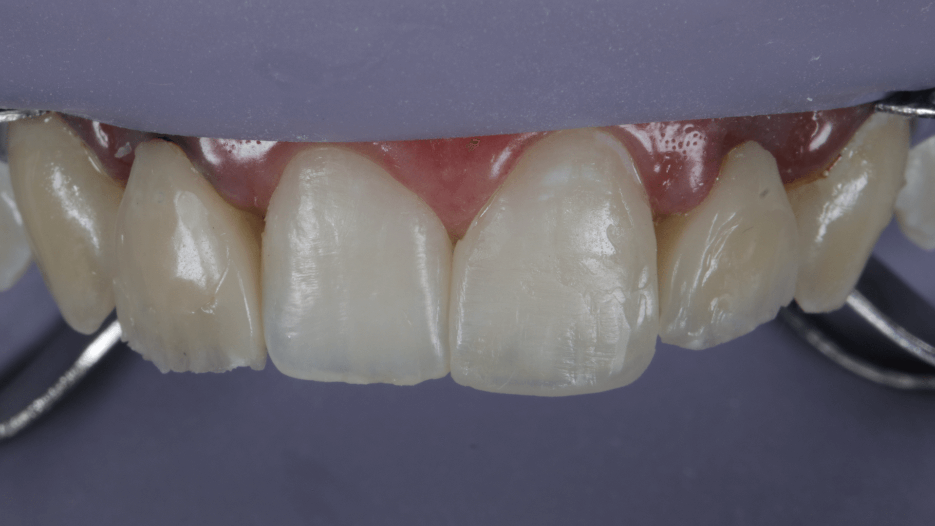
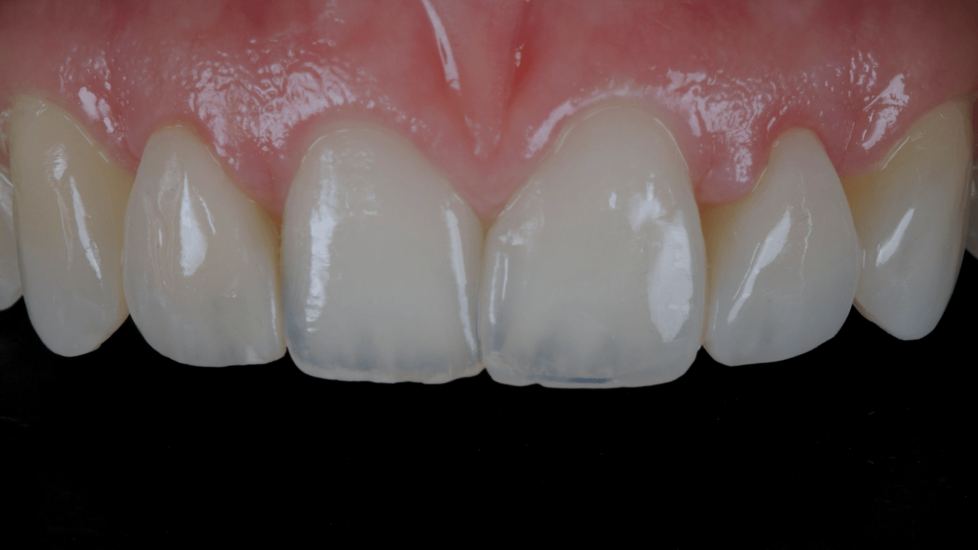
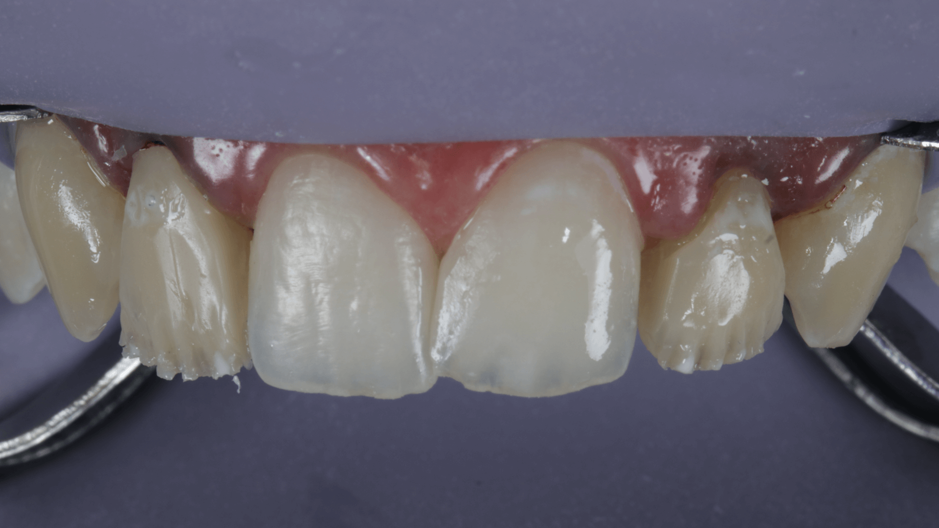
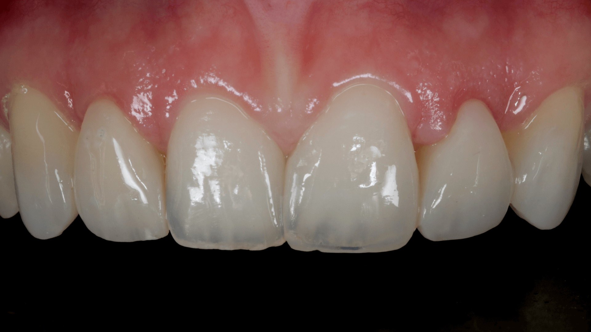
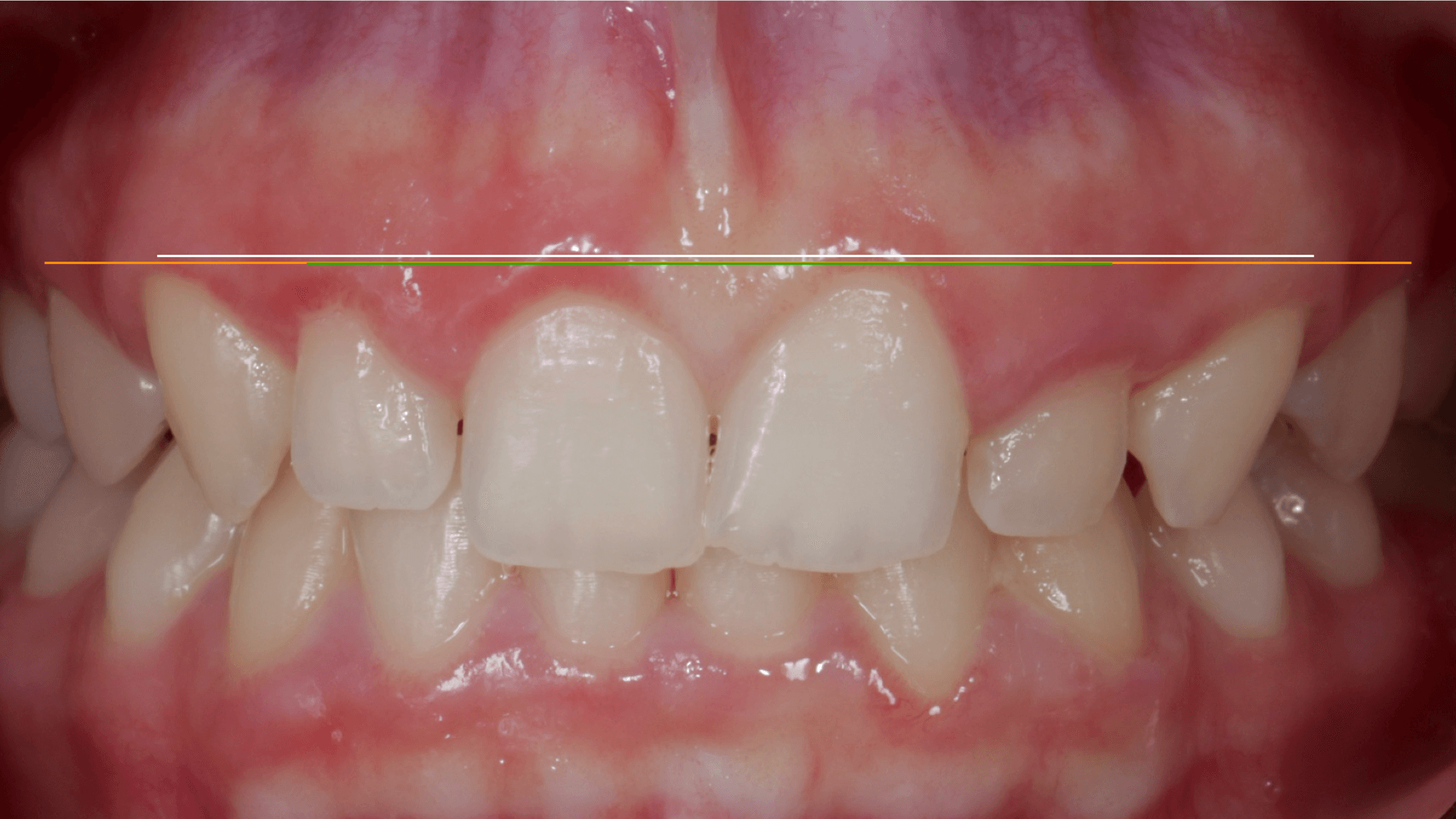
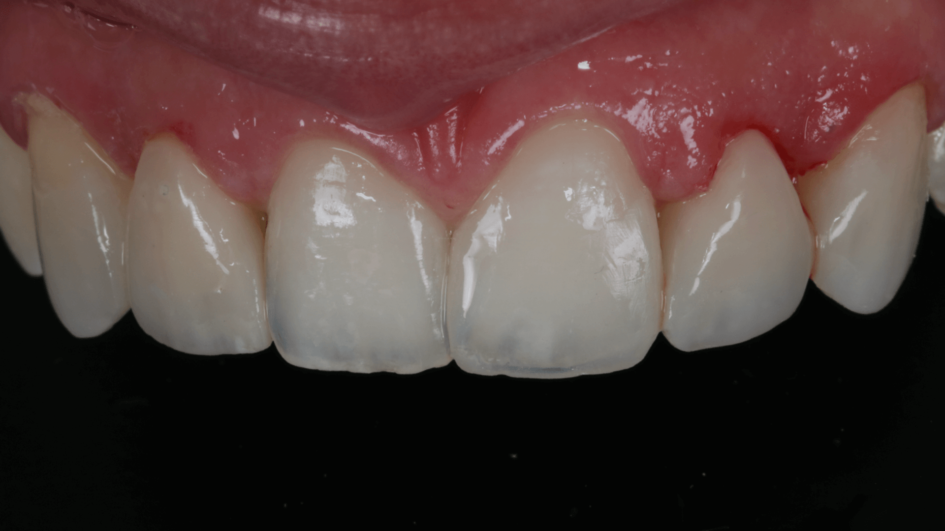
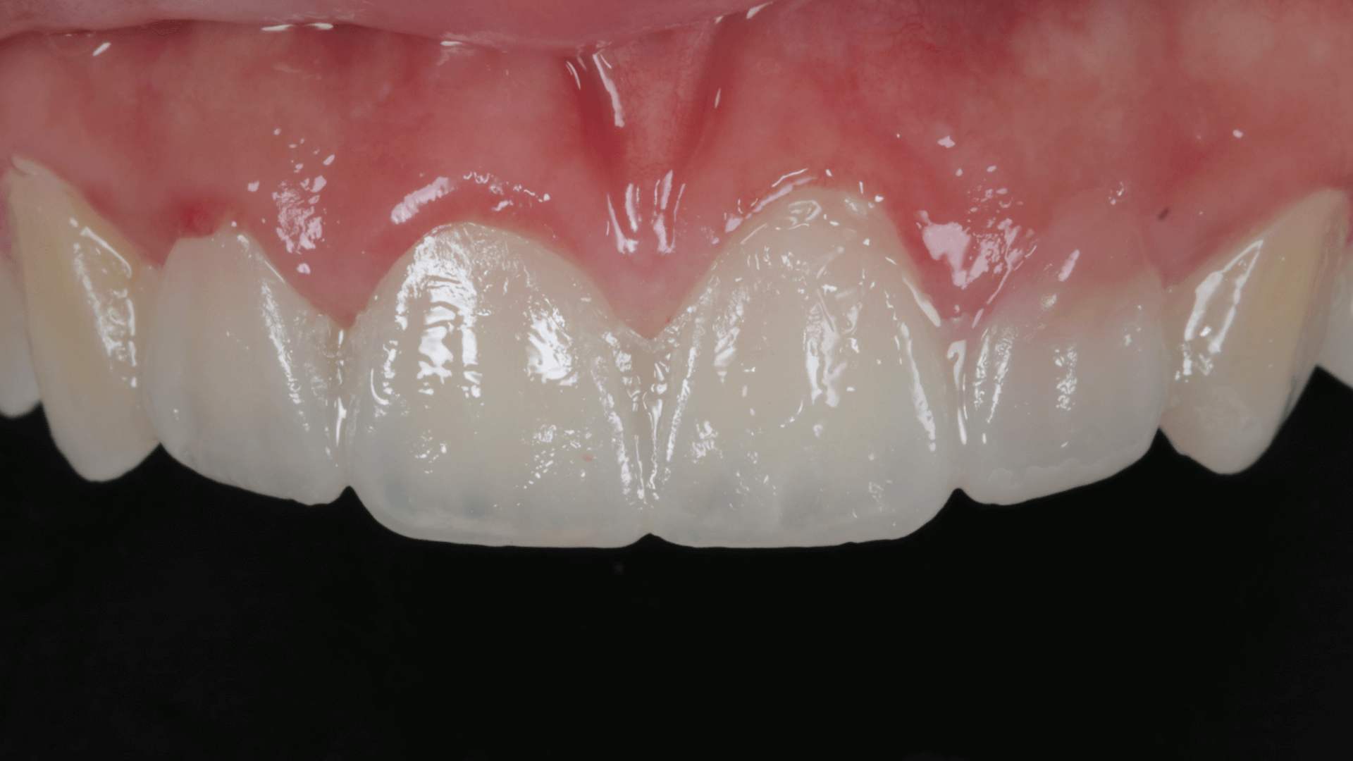
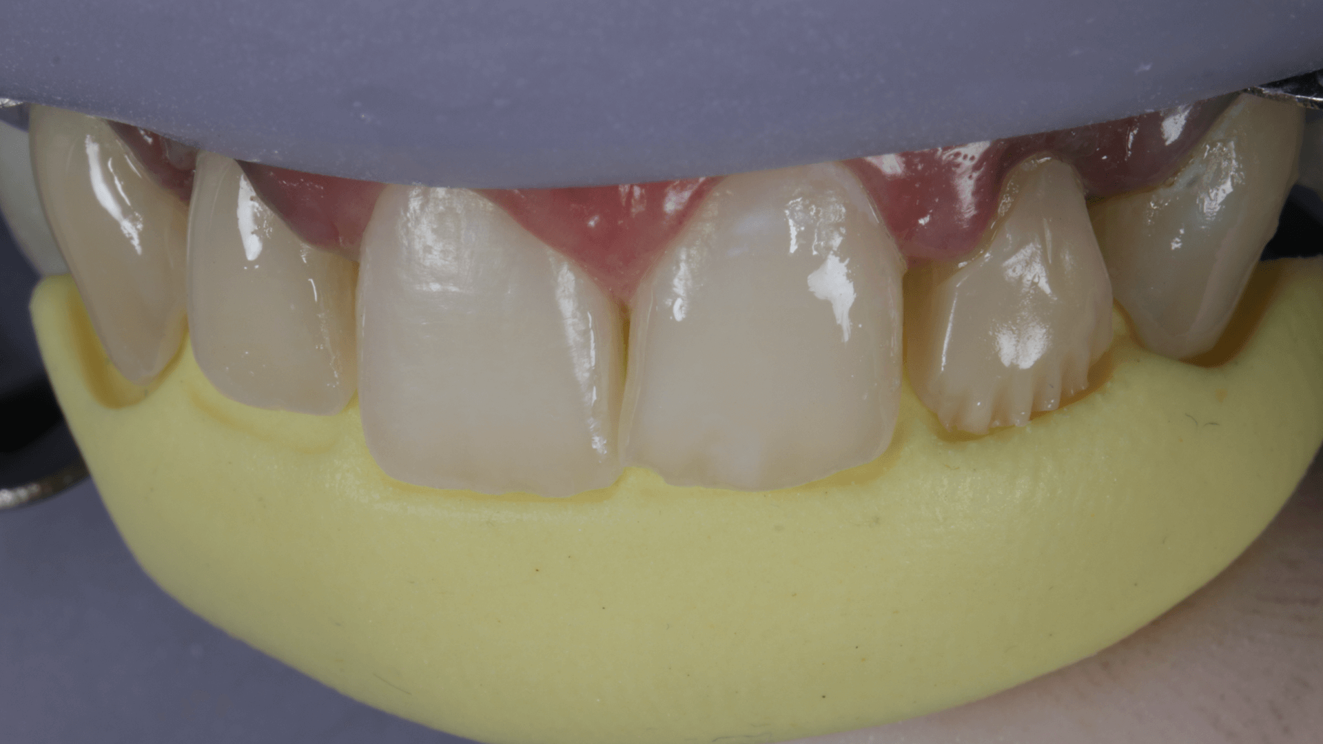
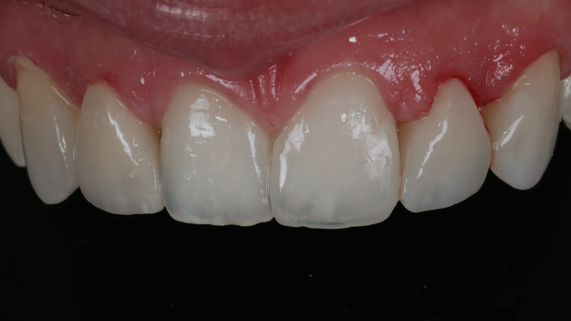
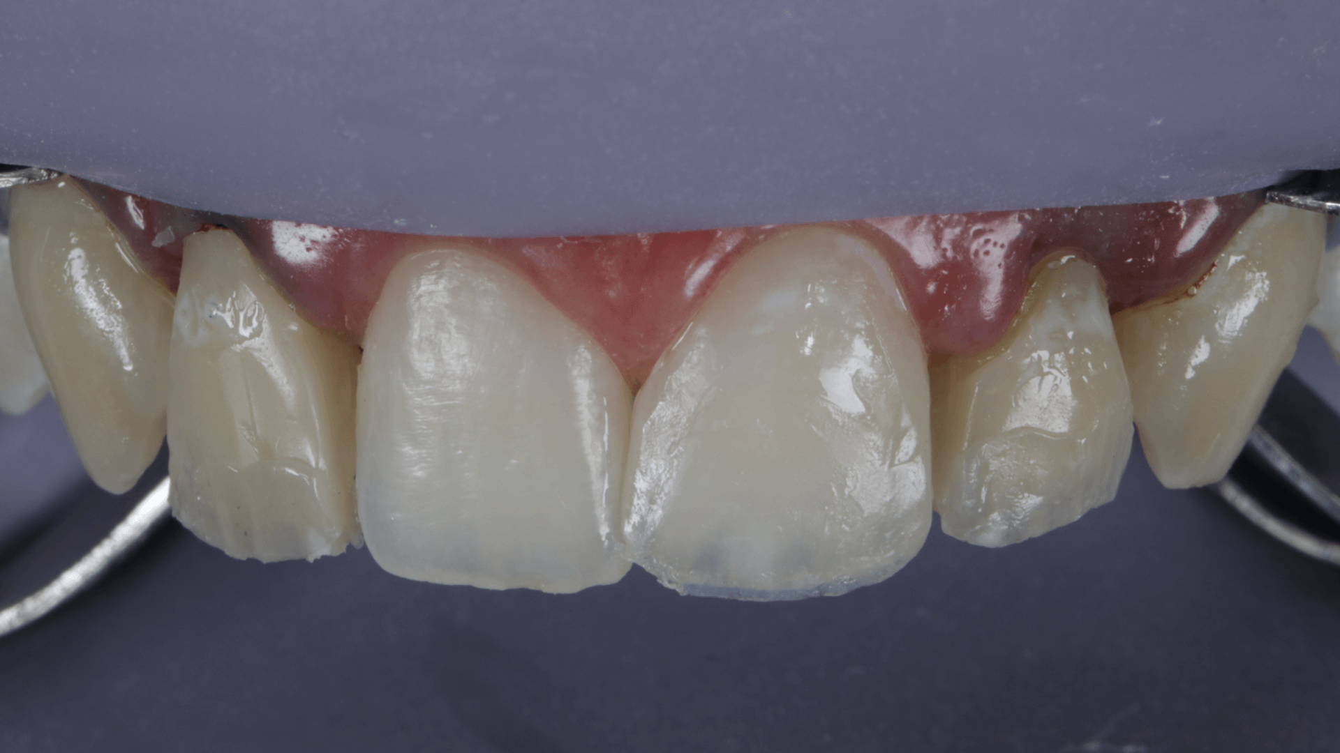
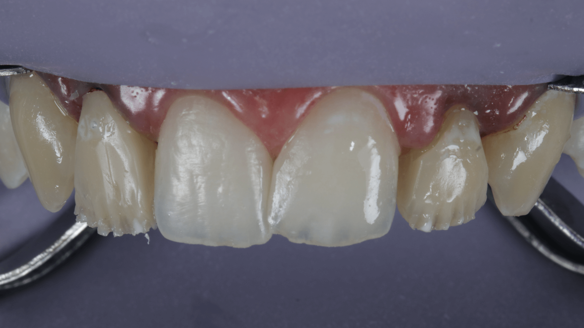
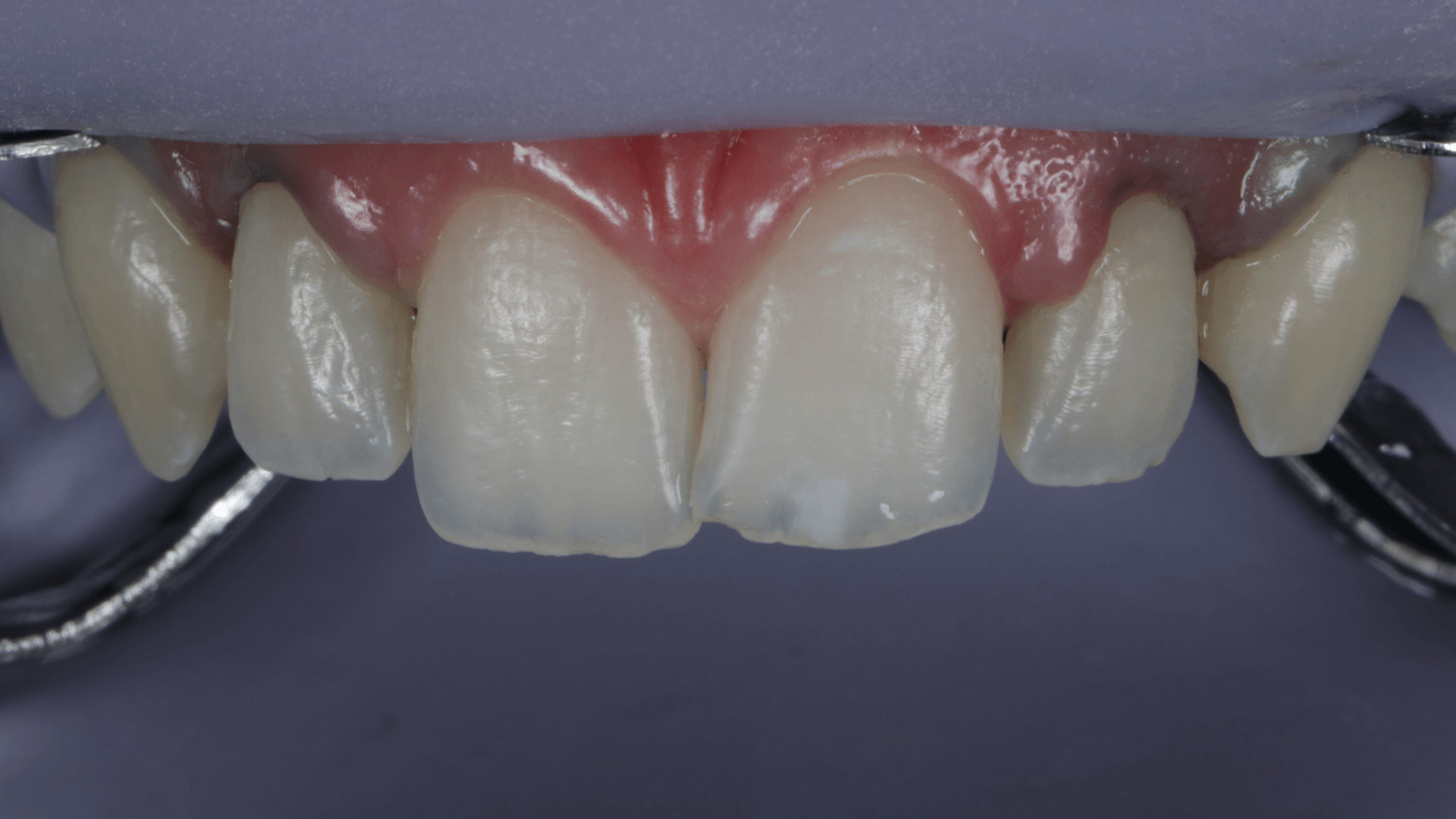
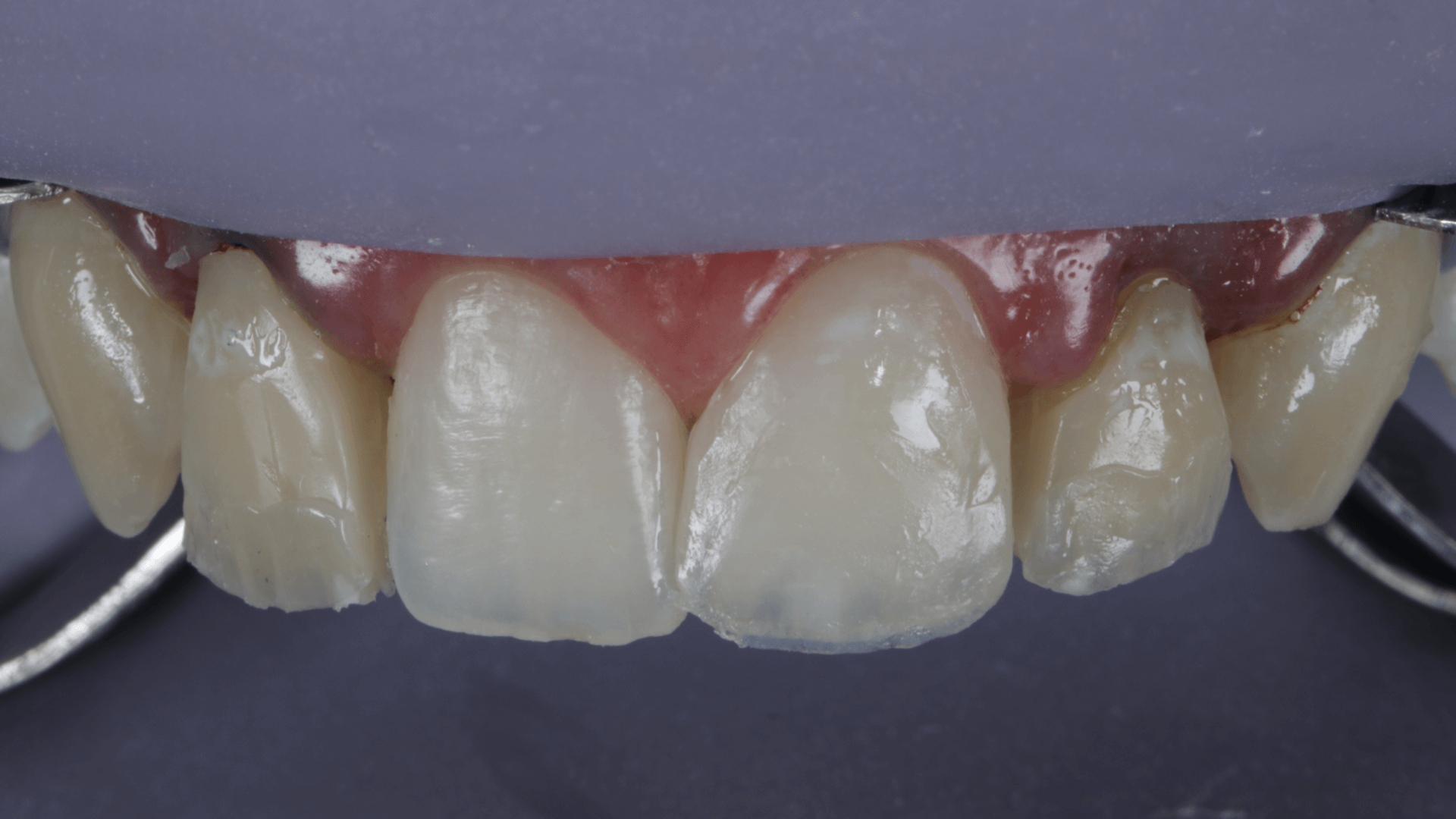
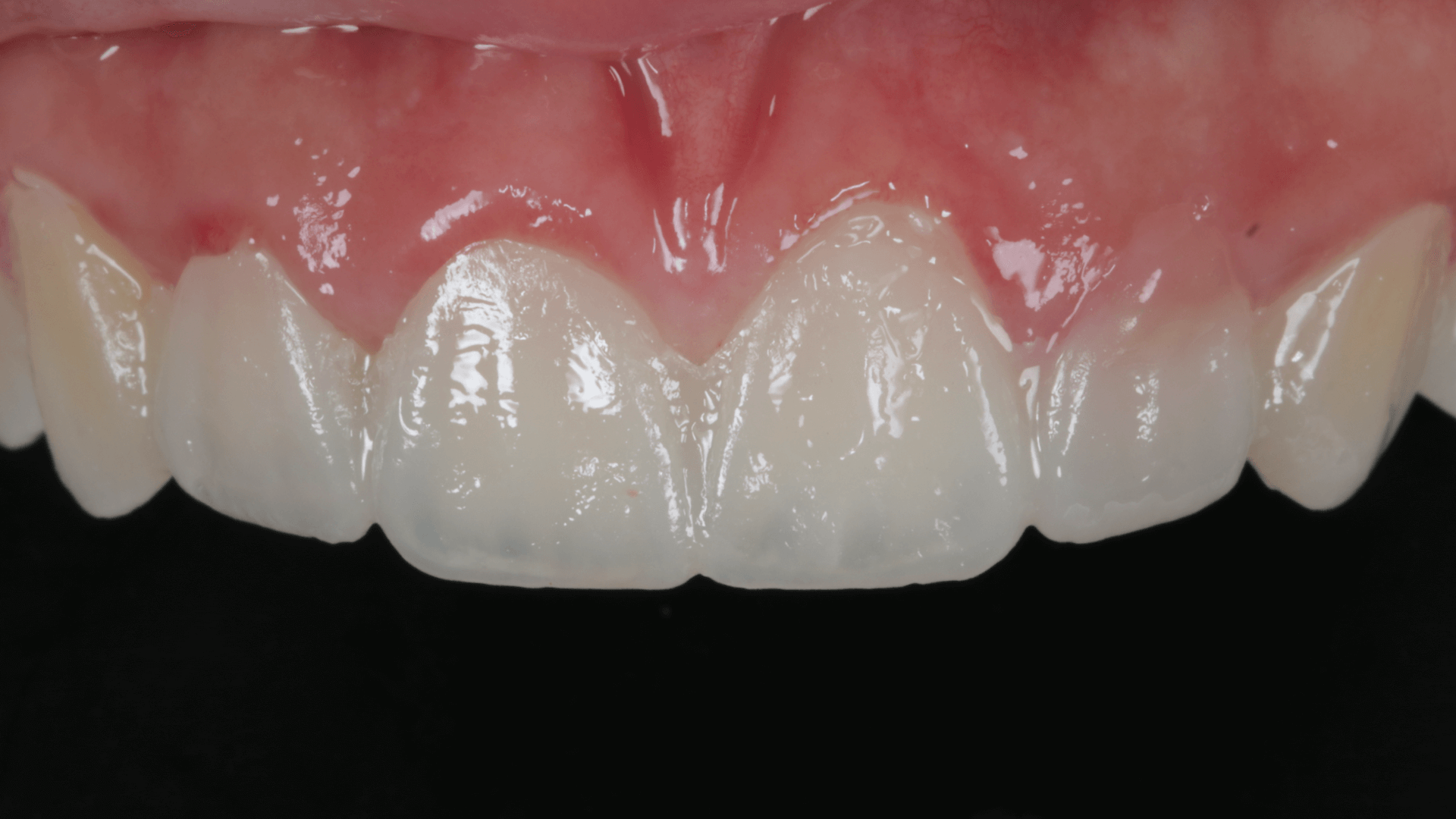
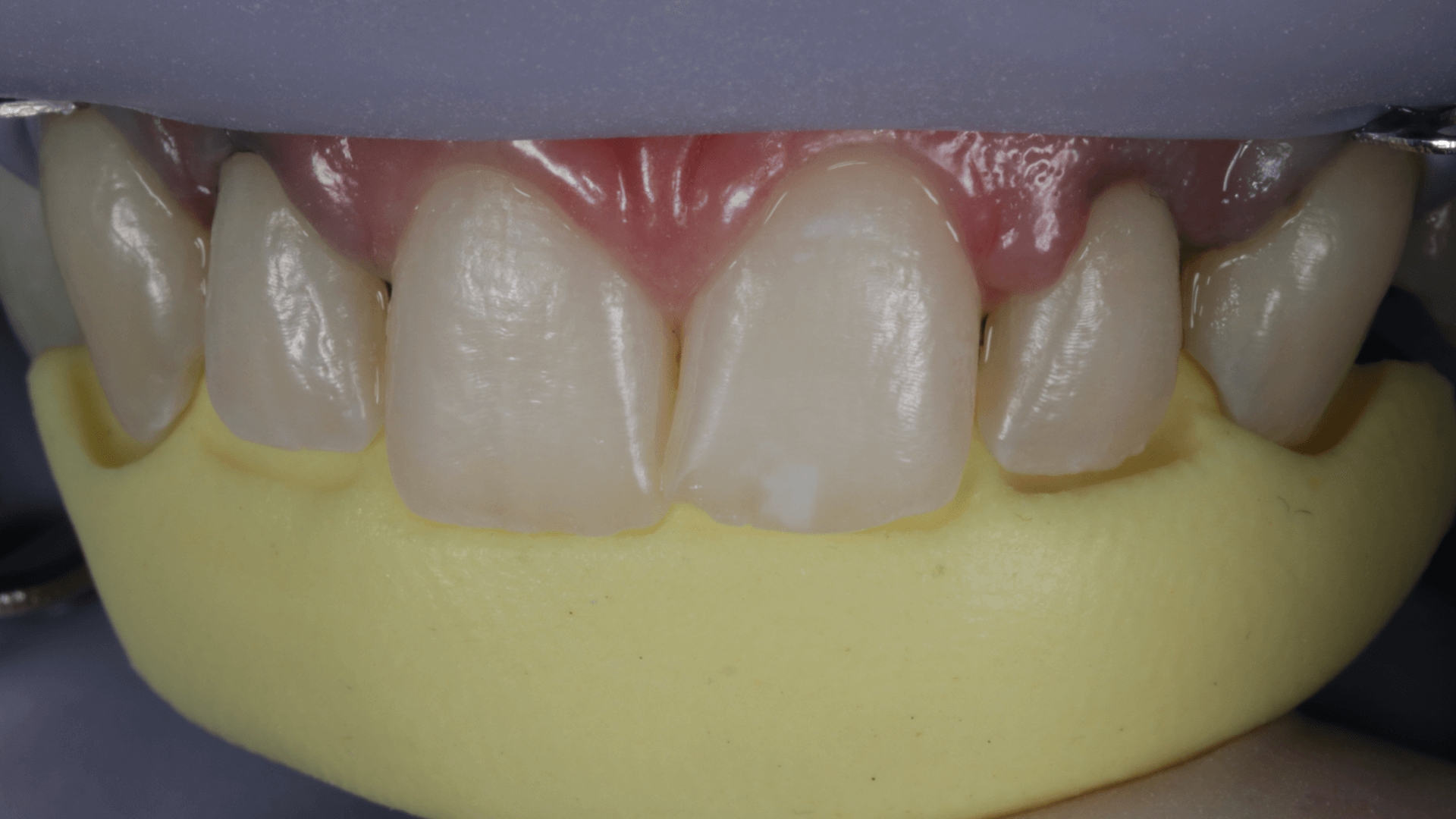
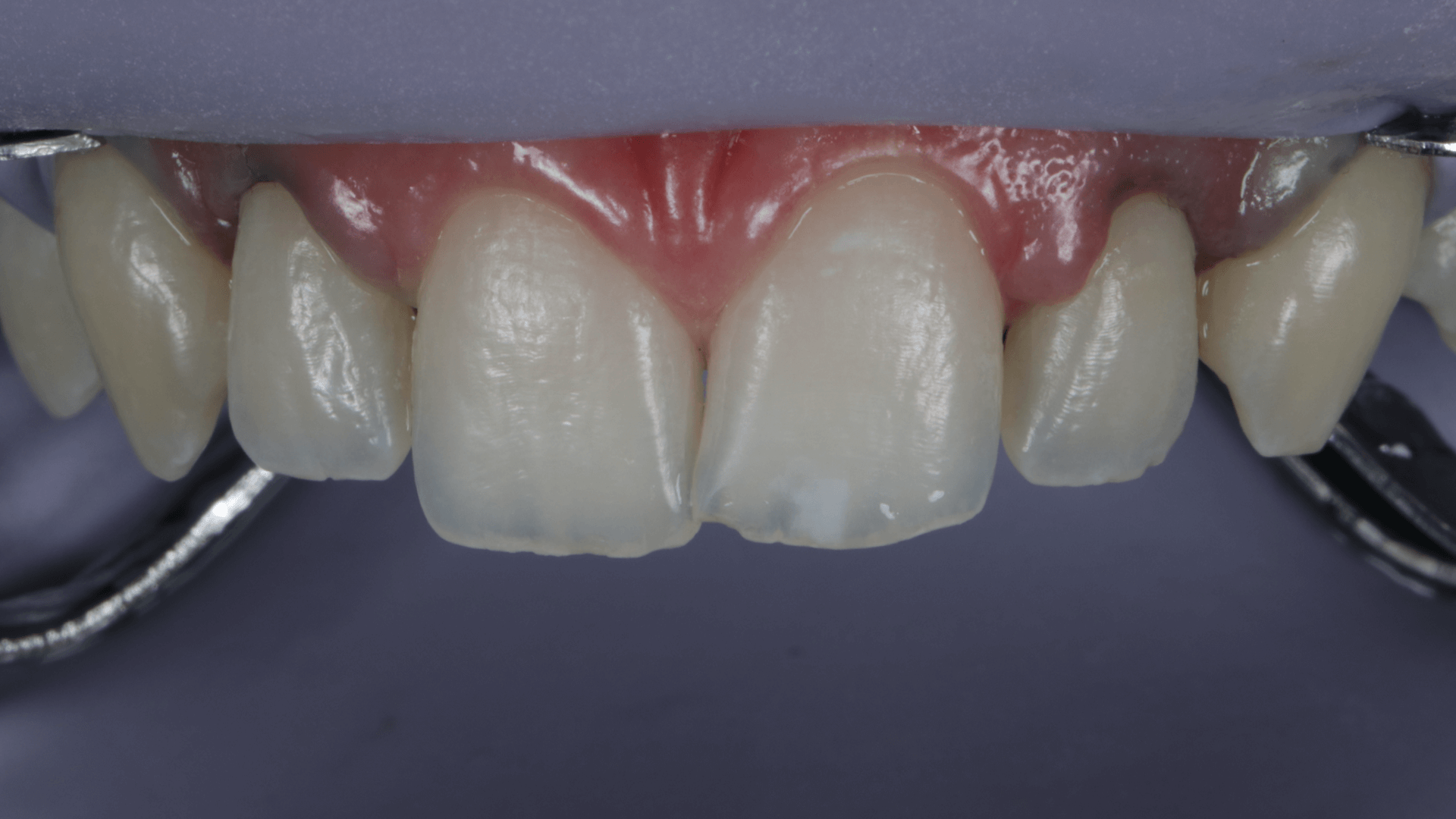
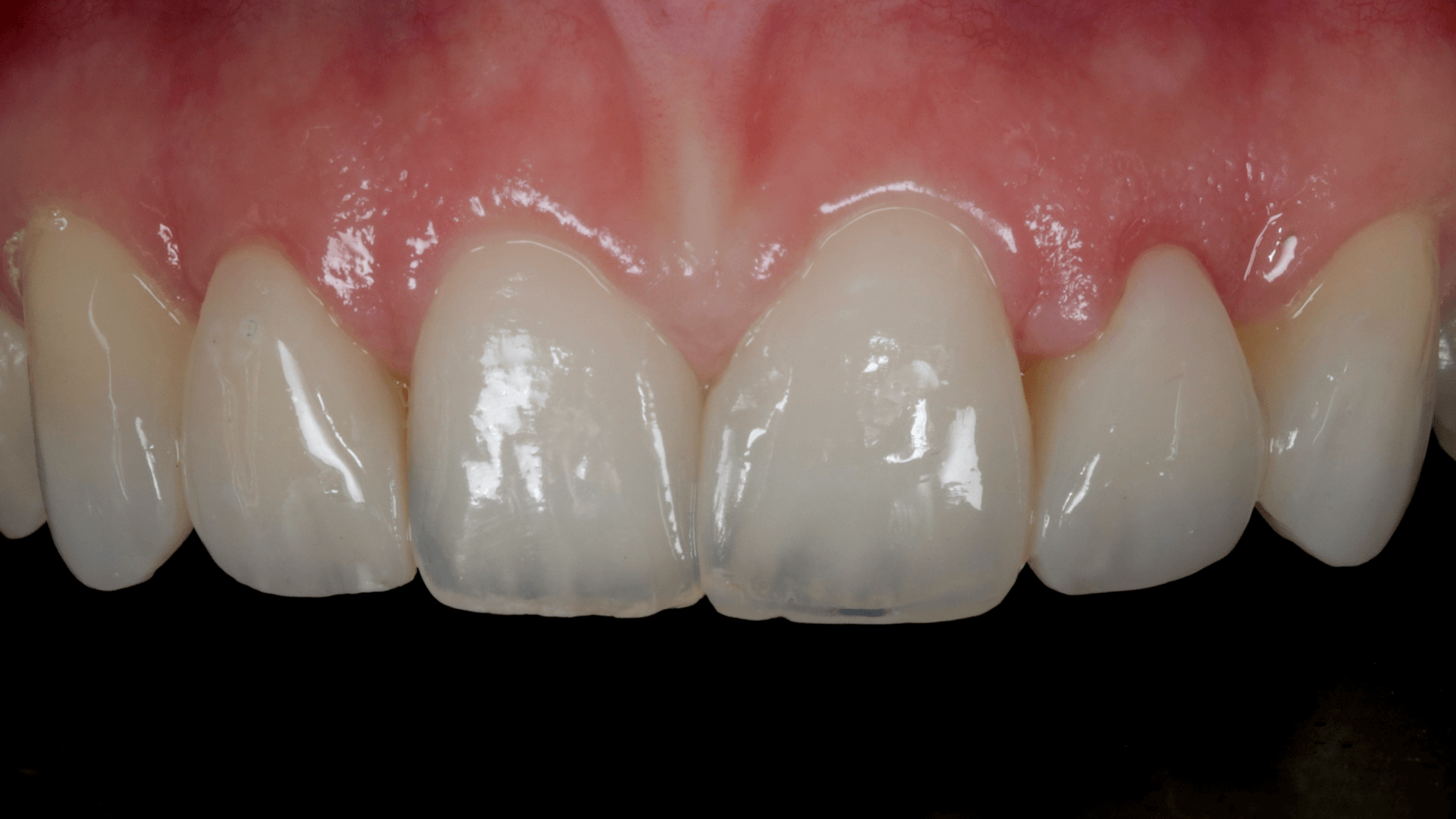
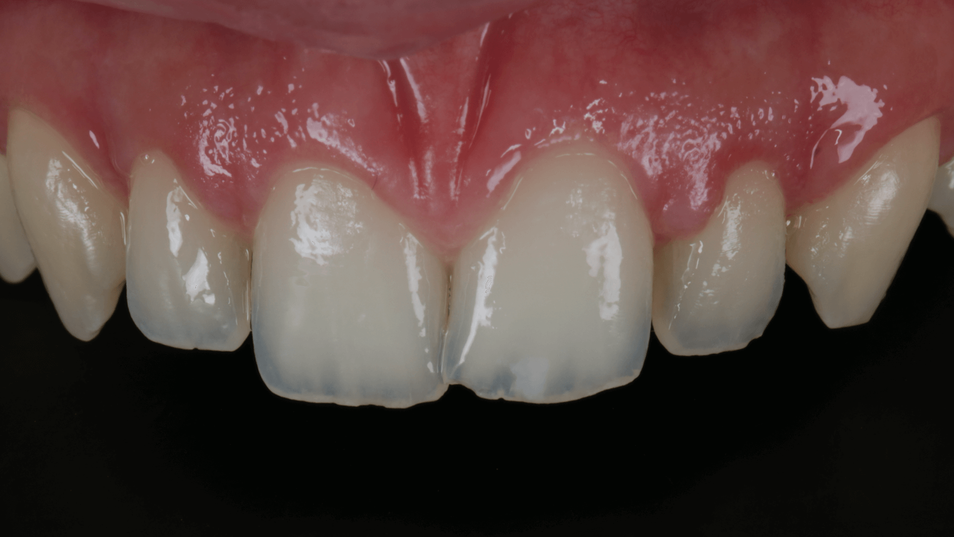
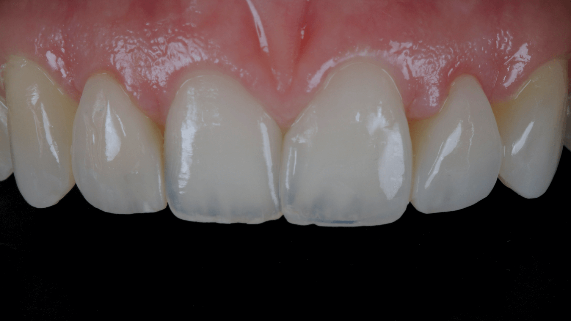
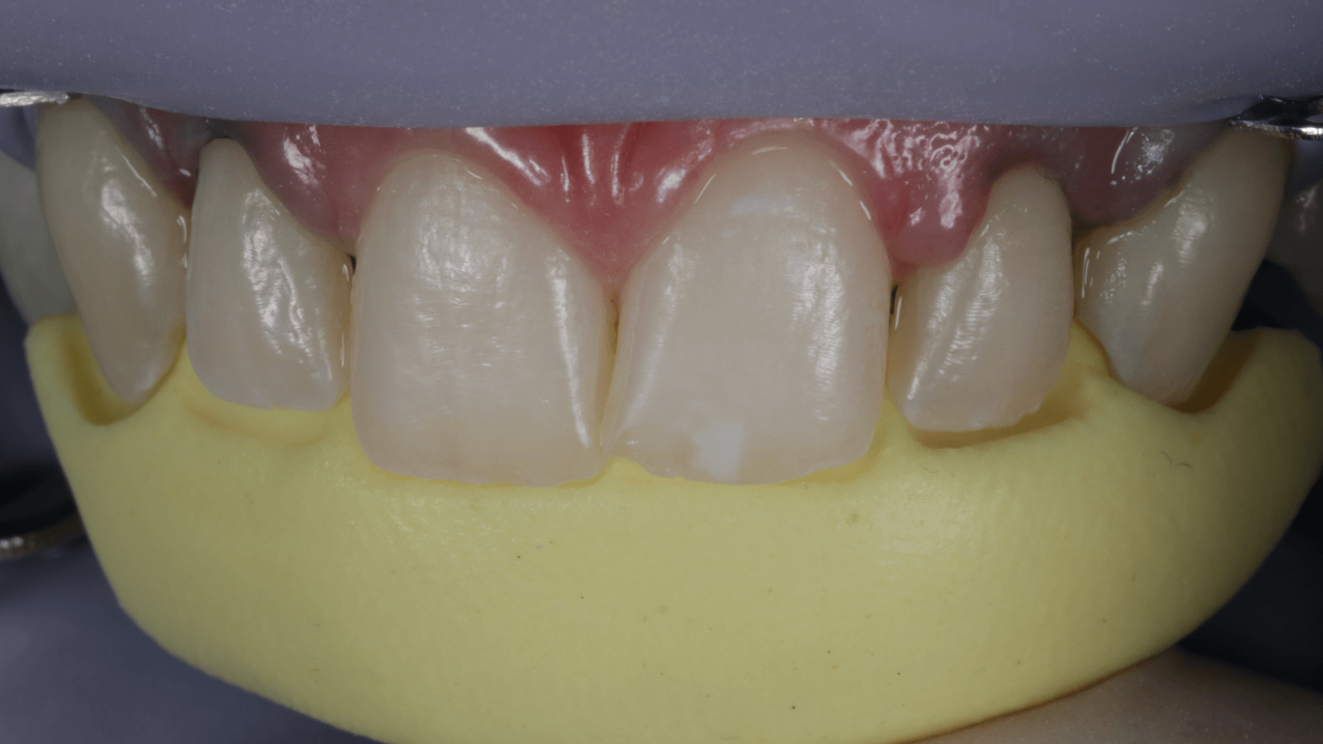
Paciente foi referida para correção da desarmonia dento gengival da região anterior. Na avaliação clínica foi percebido um desalinhamento dos zênites gengivais e alteração de forma dos incisivos laterais e presença de diastemas. Foi proposto e executado para a paciente cirurgia periodontal para aumento de coroa clínico e confecção de facetas diretas de resina composta, neste caso a Filtek™ Z350 XT.
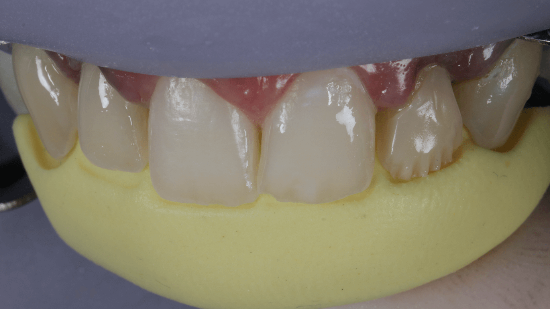
Como método auxiliar de planejamento, foi utilizado escaneamento intra oral e desenho digital das futuras restaurações. Através de um modelo impresso simulando o resultado final, foi possível realizar um mock up que serviu de guia para a cirurgia periodontal e com a confecção da muralha palatina pode-se executar as restaurações com maior fidelidade ao planejamento.
👇 Leia mais sobre os benefícios do scanner para o seu consultório:
Scanner intraoral: Quais são os benefícios para o dentista?
Passo a passo do caso clínico com a Resina Filtek™ Z350 XT – 3M
Produtos utilizados no caso clínico
Resina Bisacrílica Protemp™ 4 – Solventum
Resina Filtek™ Z350 XT – Solventum
Você já conhece todos os benefícios da Resina 3M™ Filtek™ Z350 XT – Solventum? Assista o vídeo e saiba tudo!
Leia mais em nosso blog:
👉 Confira todos os casos clínicos, com produtos e técnicas diversas
👉 Saiba tudo sobre a solução digital para o seu consultório
Sobre o autor:
Maciel Júnior
Especialista em Dentística Restauradora USP Bauru
Mestre em Dentística Restauradora UNESP ARAraquara
Doutor em Dentística Restauradora Unesp araraquara
Professor Faepo unesp araraquara




















Comentários
Nenhum comentário