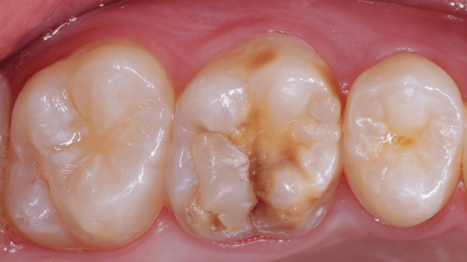
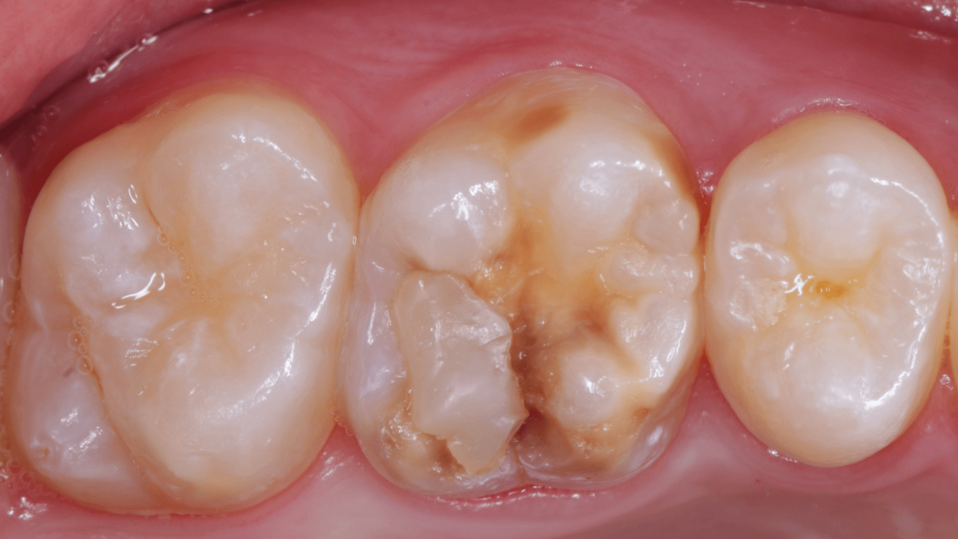
Neste caso clínico o paciente foi até a clínica queixando-se de desconforto na região superior direita ao mastigar. No exame clínico foi constatado uma restauração defeituosa e com cárie secundária no dente 26.
Desafio do caso clínico
A dificuldade consistiu em restaurar o dente em questão em um curto tempo hábil, para isto foi selecionado materiais que permitem um preenchimento rápido e volumoso da porção central do dente (FiltekMR Bulkfill Flowable) associado a uma resina que possui propriedades de escultura, acabamento e polimento excelentes (Flowable e FiltekMR Universal).
Passo a passo e resultado
Após a conclusão do caso podemos verificar a eficiência da associação dos dois materiais permitindo que a restauração fosse feita com rapidez, sem prejuízo na qualidade final do procedimento.
Compre os produtos utilizados no caso clínico
Resina Filtek™ Filtek Bulk Fill Flowable – 3M
Resina Filtek™ Universal – 3M
Adesivo Single Bond Universal – 3M
Disco Diamantado Espiral Sof-Lex™ – 3M
Sobre o autor
Maciel Júnior | @dr.maciel_junior
Especialista em Dentística Restauradora USP Bauru
Mestre em Dentística Restauradora UNESP Araraquara
Doutor em Dentística Restauradora UNESP Araraquara
Professor Faepo UNESP Araraquara
✍️ Deixe seu comentário
📢 Compartilhe com os amigos
🕵 Siga nossas redes:
💃🏼 TikTok
▶️ Youtube
Acesse nossa Loja Virtual e encontre a solução completa para você na Odontologia!























Comentários
Nenhum comentário