Este conteúdo é destinado exclusivamente a cirurgiões-dentistas, com o objetivo de compartilhar informações técnicas e clínicas dentro dos limites éticos da Odontologia.
Antigamente, restaurações com amálgama de prata eram muito utilizadas nos tratamentos para cárie. Entretanto, uma de suas desvantagens é o aspecto pouco estético que elas resultam, diferentemente das resinas dentárias que possuem cores próximas aos dentes e proporcionam beleza e naturalidade às restaurações.
Além disso, por ser uma restauração adesiva, a resina apresenta maior biocompatibilidade.
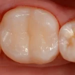
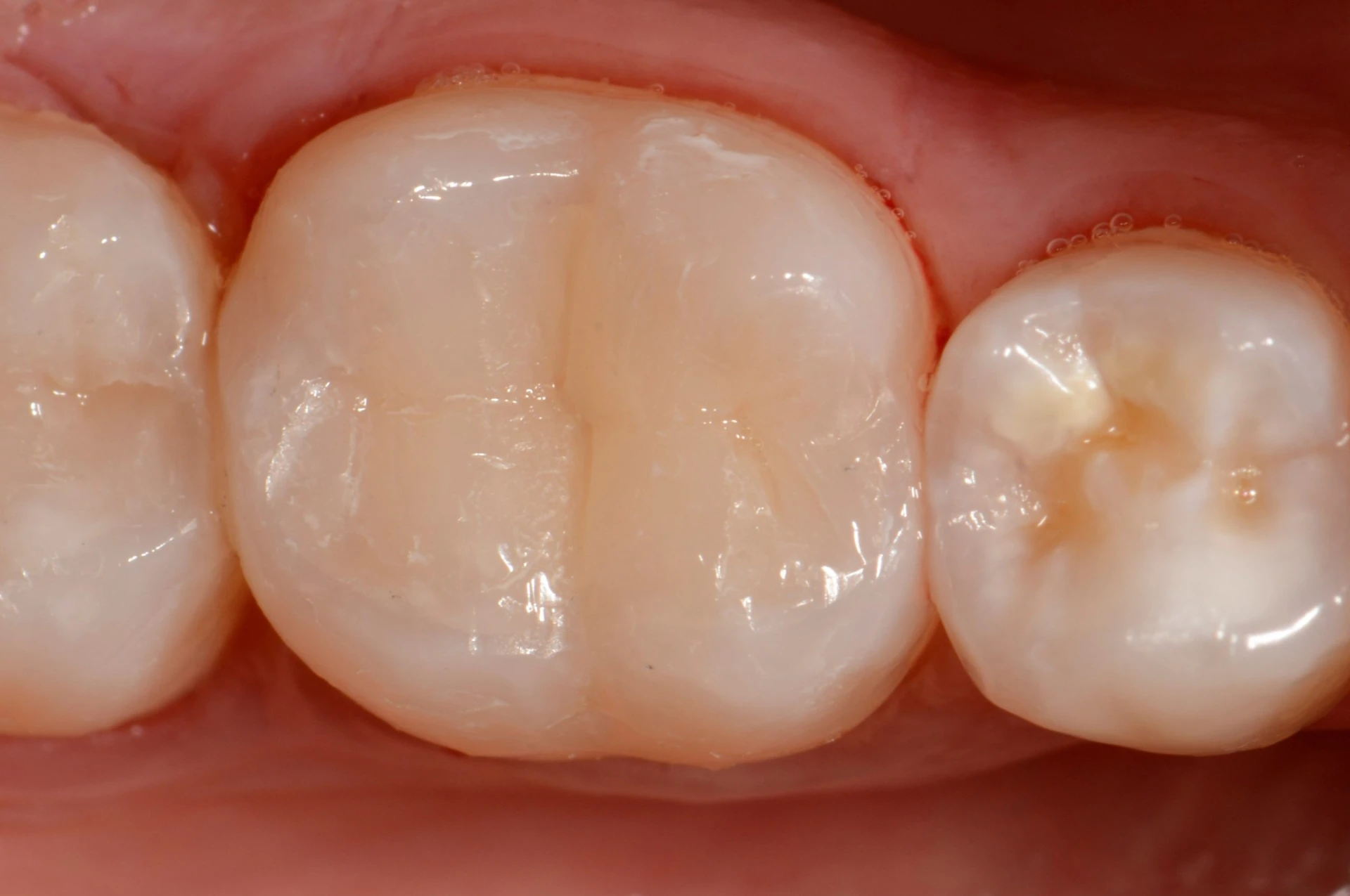
Confira este caso clínico de restauração dentária posterior, terceiro molar, com a resina tipo Bulk da 3M.
Passo a passo de como remover restauração de amálgama
Adquira os produtos utilizados no caso clínico de restauração do molar
Adesivo Single Bond Universal – 3M
Resina Filtek™ One Bulk Fill – 3M
Sobre o autor
Nívio Dias | CRO SP 43087
Graduado em Odontologia pela Universidade Metropolitana de Santos (1990), com Mestrado em Odontologia Restauradora pela UNESP – São José dos Campos (2001).
Professor adjunto na Universidade Metropolitana de Santos e professor na Associação Paulista de Cirurgiões-Dentistas (APCD) – Regional Santos.










Comentários
Nenhum comentário