Este conteúdo é destinado exclusivamente a cirurgiões-dentistas, com o objetivo de compartilhar informações técnicas e clínicas dentro dos limites éticos da Odontologia.
A paciente do sexo feminino, de 30 anos. Chegou ao consultório com queixa da cor escura dos dentes, e com o desejo de realizar um clareamento caseiro. Mas, claro, com a supervisão do profissional, que optou por utilizar o peróxido de hidrogênio 10% também conhecido como White Class 10% da FGM.
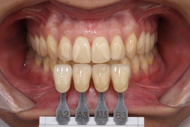
Avaliação inicial para o clareamento caseiro
Foi realizada anamnese inicial onde a paciente não relatou nenhum tipo de sensibilidade e nenhum histórico de tentativa de procedimentos clareadores. O exame clínico mostrou periodonto saudável, ausência de restaurações anteriores e nenhuma lesão cariosa. A cor inicial identificada foi A3 nos laterais e centrais e nos caninos A3,5.
Qual foi o tratamento utilizado no clareamento caseiro?
O tratamento proposto e aceito pela paciente foi um clareamento caseiro supervisionado com moldeiras e gel de peróxido de hidrogênio (White Class 10%) com tempo de 30 minutos/dia de exposição, durante 28 dias.
Confeccionamos moldeiras de EVA e orientamos a utilização do clareador, sem restrições alimentares e sem a proibição de corantes. Após 21 dias, a paciente relatou sensibilidade local, e foi recomendado o uso de Dessensibilize KF 0,2%, 10 minutos dia, aplicado na moldeira de clareamento com os dentes limpos, sem interrupção do tratamento clareador.
Passo a Passo
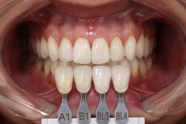
Após 28 dias, podemos verificar um resultado muito satisfatório com cor final BL3, ausência de sensibilidade e paciente relatando conforto durante todo o processo.





Comentários
Nenhum comentário