Este conteúdo é destinado exclusivamente a cirurgiões-dentistas, com o objetivo de compartilhar informações técnicas e clínicas dentro dos limites éticos da Odontologia.
Avaliação inicial para saber qual clareamento é indicado
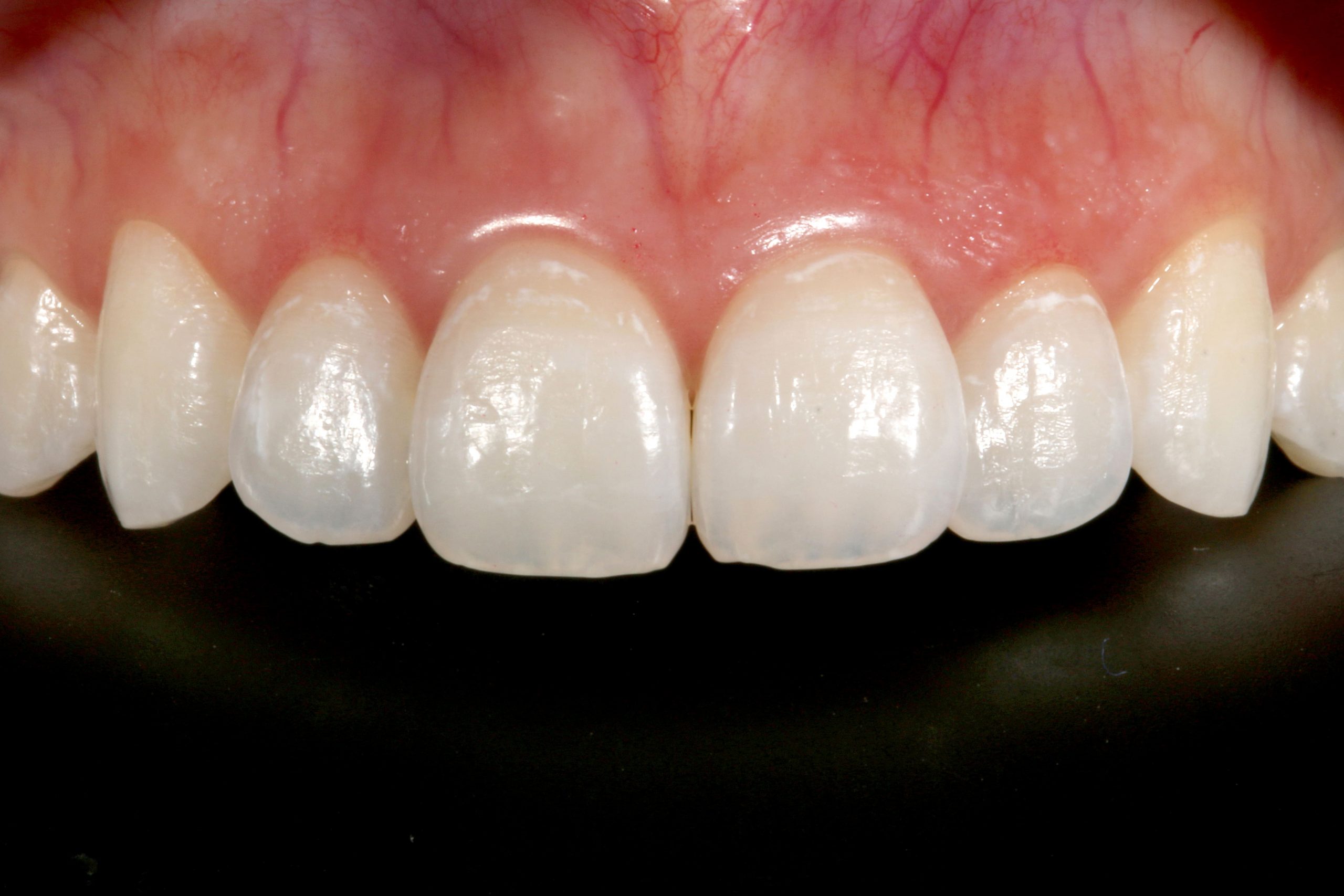
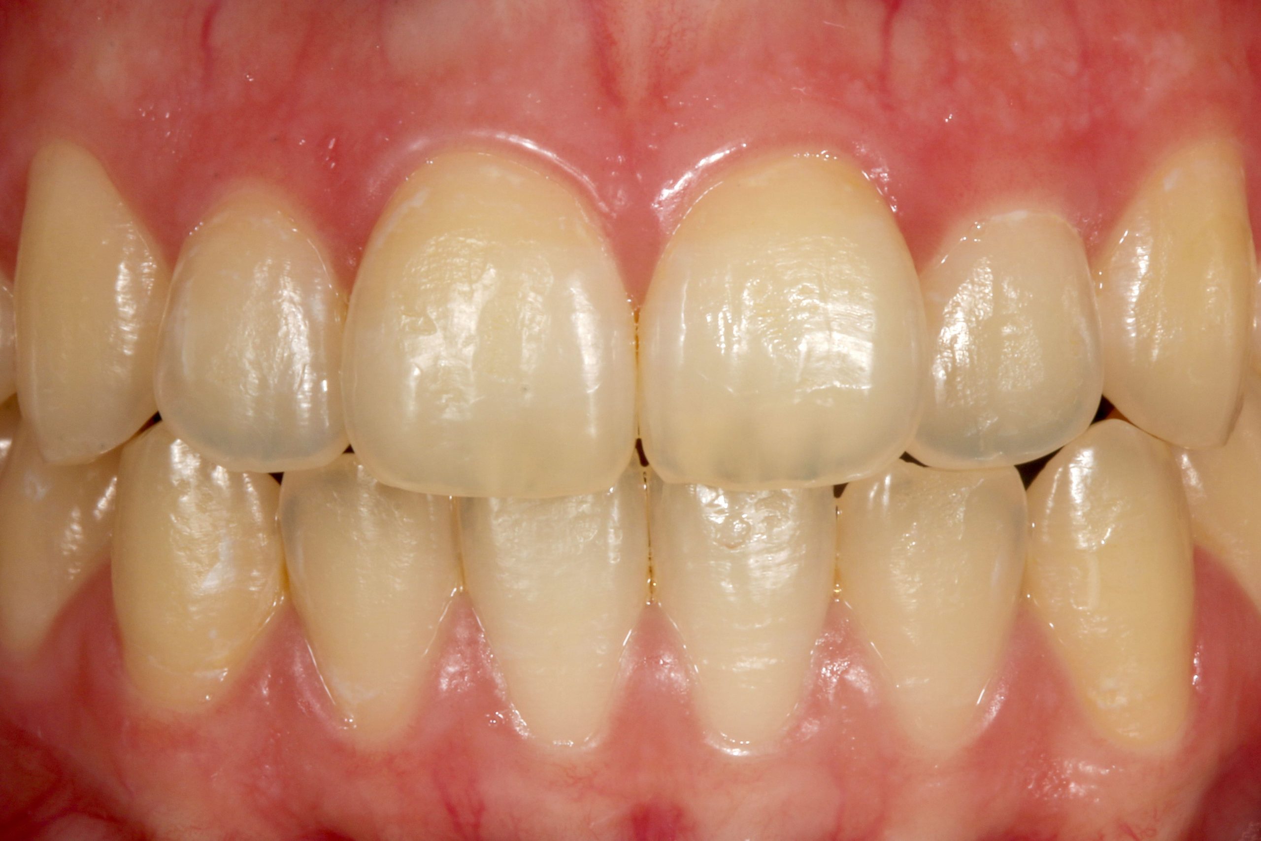
Após exame clínico e radiográfico, foram constatados dentes hígidos, ausência de restaurações e lesões, porém amarelamento exacerbado, característica que a fez procurar o tratamento clareador. A paciente relatou não ter sensibilidade a trocas térmicas e não apresentou outras queixas.
Tratamento executado
Através dos registros fotográficos e exame clínico, constatou-se exposição dental ao sorrir de pré-molar a pré-molar. Para correta proteção dos tecidos orais, utilizou-se o afastador Arcflex (FGM), e devido à alta concentração do gel, se fez necessária também a proteção dos tecidos gengivais através da aplicação de barreira gengival (Top dam – FGM).
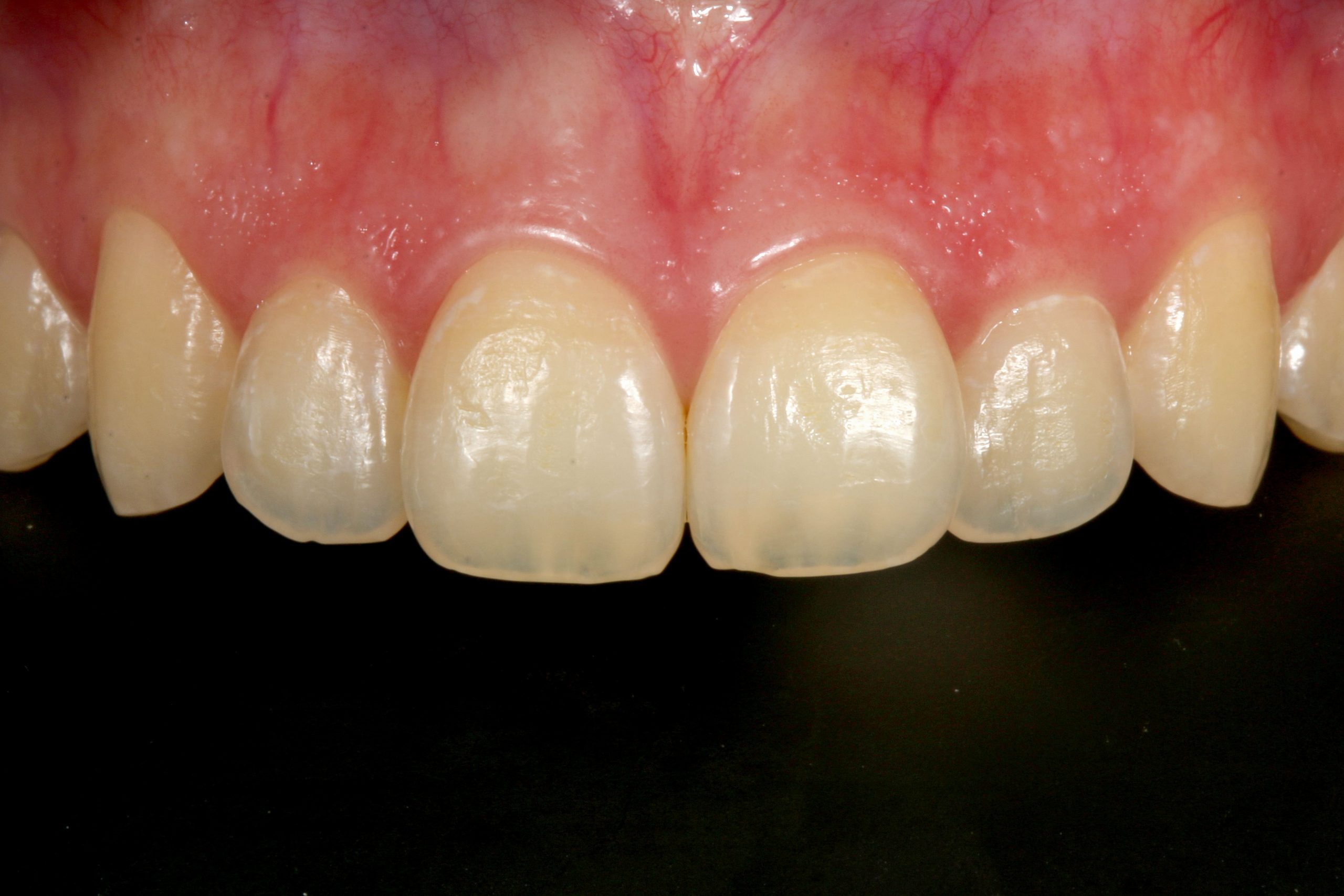
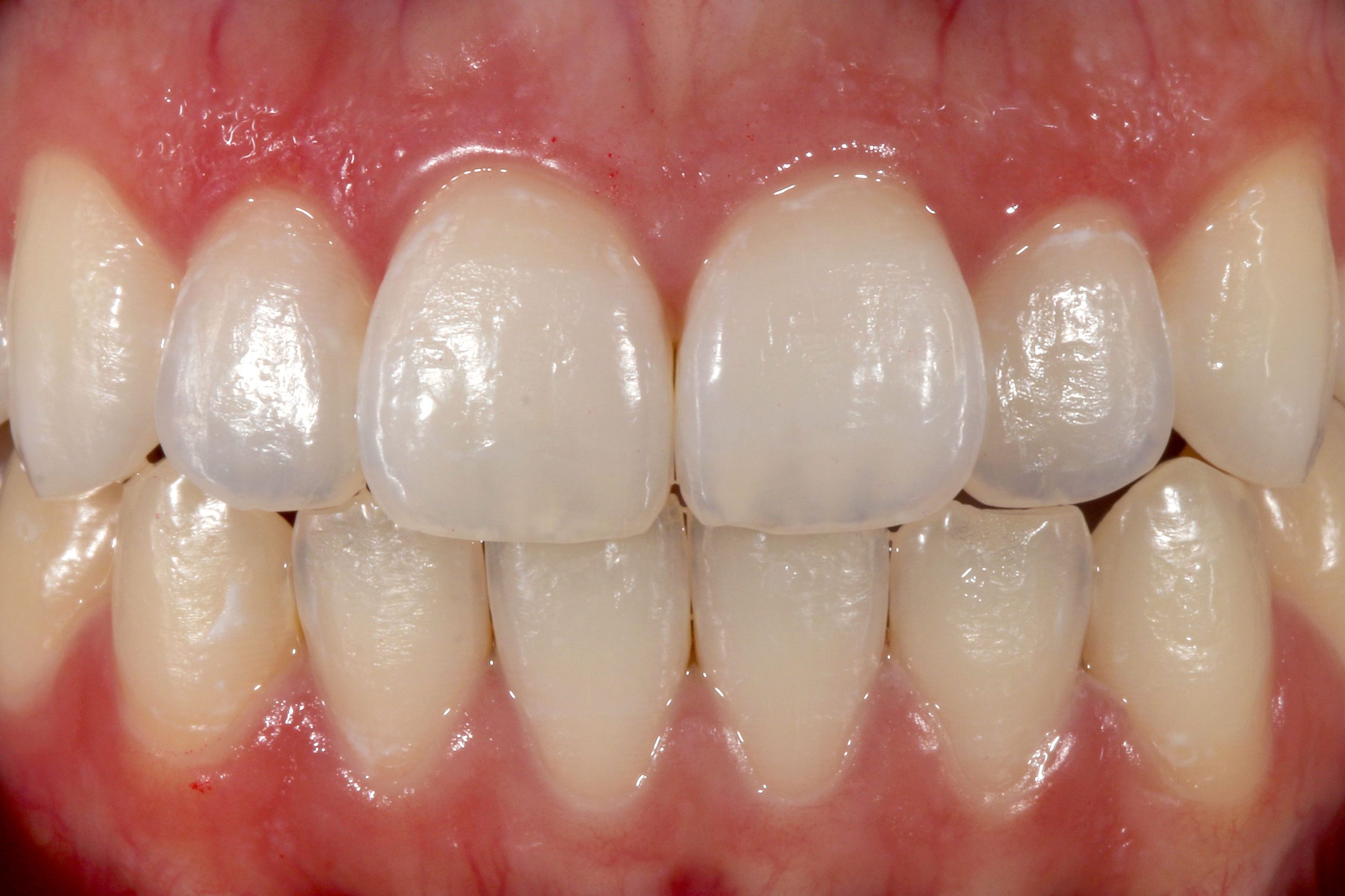
Foi realizada a aplicação do gel clareador de automistura à base de peróxido de hidrogênio (Whiteness HP Automixx 35% – FGM) em todas as faces vestibulares. O tempo de ação foi de 40 minutos em uma única sessão. Após o tempo de ação, o gel foi removido através de cânula de sucção e irrigação. Uma nova sessão foi realizada após 7 dias, constatando-se um alto grau de clareamento.
DICA CLÍNICA!
A praticidade da automistura associada à manutenção do gel sem necessidade de trocas faz com que o procedimento seja muito mais rápido que os géis convencionais.

Materiais utilizados no clareamento de consultório
Autores: Dr Leonardo Cunha e Dr Ubiracy Gaião







Eu tenho usado clareamento ultradent Boost combinado com o caseiro mas as vezes não consigo um resultado tão bom
Com laser DMC da muita sensibilidade
Gostaria de conhecer esse material que estão sugerindo