Na procura por tratamentos estéticos não invasivos, podemos lançar mão de técnicas de clareamento interno com resultados bem satisfatórios.
Entretanto, o caso clinico deverá ser bem planejado e os protocolos devem ser seguidos à risca.
Existem muitos mitos a respeito do clareamento interno nos dentes despolpados, principalmente que sempre podem causar reabsorção cervical externa.
Nesse artigo, vou exemplificar uma técnica eficaz para você realizar este tipo de tratamento, a mista de clareamento dental (técnica imediata + mediata- walking bleach).
Além disso, vou dar dicas sobre todos os cuidados a serem tomados para garantir o sucesso do procedimento.
Avaliação inicial pré-clareamento interno
Diante de um dente escurecido despolpado, os primeiros procedimentos a se fazer são uma radiografia periapical e a fotografia do dente escurecido para futuras comparações. A partir disso, se o dente estiver necrosado, deve ser feito o tratamento endodôntico.
Em casos onde o paciente já tiver o dente tratado endodonticamente, deve-se avaliar a qualidade deste tratamento e a necessidade ou não do retratamento.
Além disso, a profilaxia é um procedimento que também deve ser executado prévio ao clareamento.
Preparo do dente escurecido
O isolamento absoluto sempre deve ser confeccionado quando realizamos um clareamento interno, sendo que o grampo pode ser posicionado a distancia para não fragilizar o dente.
Deve-se realizar o acesso a câmara pulpar de forma conservadora, evitando desgaste de estrutura dental sadia.
Nesta etapa, é importante verificar se existem remanescentes de resina composta nos limites do espaço criado na câmara pulpar.
Com isso, evitamos que possam comprometer os resultados do clareamento.
Após concluir o tratamento endodôntico e feito a barreira mecânica (tampão) na região cervical do dente, prevenimos uma possível reabsorção interna.
Deve-se desobstruir de 2 a 3 mm do material endodôntico da região mais cervical da raiz seguida de uma camada de coltosol. Após uma pequena camada de resina composta ou cimento biocerâmico reparador (sem óxido de bismuto) seguido de resina composta.
O material usado no tampão cervical não pode prejudicar o contato do material clareador com a dentina dentro da cavidade criada na coroa clínica. Lembrando que o microscópio operatório ou uso de lupas para magnificação facilitam a execução deste procedimento com segurança.
Inserção do agente Clareador
Os materiais para a técnica proposta serão os seguintes:
- Peróxido de hidrogênio 35% (Whiteness HP – FGM) usado em consultório na porção externa e interna do dente;
- Peróxido de Carbamida 37% (Whiteness Super-endo – FGM) usado dentro da câmara pulpar como medicação entre sessões.
Para aumentar a ação do agente clareador, recomenda-se o condicionamento ácido com ácido fosfórico a 37%, aplicado dentro da câmara pulpar e sobre o esmalte vestibular por 15 segundos 3. Em seguida, realizar a secagem com cones de papel.
Técnica a ser seguida no clareamento interno:
- Aplicação do Whiteness HP (na área bucal do dente e dentro da câmara pulpar);
- Aguardar de 12 a 15 min;
- Lavar e repetir 3 vezes o procedimento com Whiteness HP nesta mesma sessão;
- Aplicação do Whiteness super-endo dentro do dente como curativo entre sessões;
- Selamento da Cavidade com resina composta – antes da restauração em resina composta confeccione uma barreira com filtro de papel cortado para reter o material clareador e facilitar a restauração temporária;
- Paciente Retornar em 4 dias;
- Repetir entre 2 a 5 vezes os procedimentos anteriores ( de acordo com o resultado do
clareamento desejado); - Na última sessão, recomenda-se colocar no interior da câmara pulpar, uma pasta de hidróxido de cálcio (Utracal XS – Ultradent) para alcalinizar o meio, para somente depois de 10 dias fazer a restauração final e não comprometer a adesão dos materiais resinosos e evitar possível reabsorção cervical;
Assista agora:
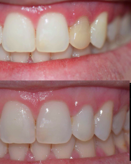
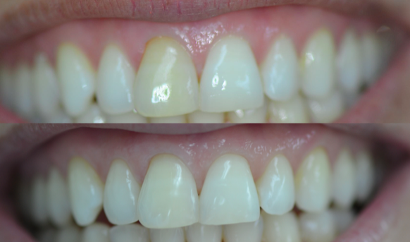
Caso clínico
Para demonstrar os resultados a partir da técnica descrita acima, separei algumas fotos dos resultados finais.
Outro material que pode substituir o peróxido de carbamina 37% (whiteness super endo -FGM) é o Perborato de Sódio associado a água destilada.
O tempo e utilização dos agentes clareadores devem ser os estabelecidos pelos fabricantes e devem ser seguidos rigorosamente.
A aplicação de calor, visando a acelerar a reação química do clareamento dental (técnica termo-catalítica) tem sido questionada pelo fato de se constituir em um possível fator de risco para o desenvolvimento de reabsorção radicular externa, principalmente quando existe histórico de trauma dentário ou defeitos no cemento radicular.
Não são as fontes de LED as responsáveis pelo clareamento do dente
Isso porque, essas fontes apenas potencializam a ativação do gel clareador, que é o verdadeiro responsável pelo sucesso do clareamento dental.
Para o sucesso na técnica operatória do clareamento dental e, principalmente, obtenção de resultados estáveis, é indispensável a adoção de diversos cuidados como:
- Planejamento minucioso do caso;
- Obtenção do registro da cor inicial dos dentes do paciente para posterior comparação;
- Cumprimento das orientações pós-operatórias (evitar o contato alimentar com agentes corantes).
Os resultados podem variar de acordo com as características individuais de cada paciente, e não temos controle sobre isso!
Portanto, estamos sujeitos a retratamento, em caso de recidivas. É conveniente informar o paciente dessas possibilidades, juntamente com as orientações básicas de rotina.
Com isso, evitamos expectativas exageradas por parte do paciente.
Entretanto, cabe salientar que o clareamento de dentes escurecidos e tratados endodonticamente se constitui em uma técnica simples e de baixo custo.
Além disso, é extremamente conservadora e que apresenta eficiência e alto índice de sucesso comprovados por vários estudos.
Referências Bibliográficas
1. Campagnoli, K.R & Scholz Junior, N. Clareamento de dentes desvitalizados: técnica LED com peróxido de hidrogênio. Rev.Clin.Pesq.Odontol., Curitiba, v.4,n.2,p.107-112, maio/ago, 2008.
2. Martins, J.D. et al. Diferentes alternativas de clareamento para dentes escurecidos tratados endodonticamente. R. Ci. méd. biol., Salvador, v.8, n.2, p. 213-218, mai./ago. 2009
3. BARATIERI, L. N., MAIA, E., ANDRADA, M. A. C. de, ARAÚJO, E. Caderno de dentistica: clareamento dental. São Paulo: Santos, 2004.
Dra. Milena Perraro Martins | CRO SC 7447
Doutoranda em endodontia USP Bauru
Mestre e especialista em endodontia
Especialista em Implantodontia e Saúde Coletiva e da Família
Instagram: @milenaperraro
Balneário Camboriú – Santa Catarina








Comentários
Nenhum comentário