O que são os conhecidos desgastes interproximais e, principalmente, como realizá-los? Esse será o objetivo principal deste artigo. Aproveite a leitura!
Para início de conversa, é preciso entender quando se deve pensar em fazer uso dos desgastes interproximais como coadjuvantes no tratamento ortodôntico. Eles também podem ser conhecidos como desgastes dentários ou em inglês como “stripping” ou “slice”.
Essas são algumas das indicações e contraindicações:
Indicações:
- Discrepâncias dentárias negativas;
- Diferença entre o volume dentário superior e inferior;
- Desigualdade na forma dentária entre os diâmetros M-De V-L;
- Casos de extrações de Incisivos Inferiores;
- Na finalização de tratamentos ortodônticos;
- Nos casos de recessão gengival e eliminação dos triângulos negros;
- Correção da curva de Spee.
De acordo com alguns autores, podemos considerar os desgastes interproximais como alternativas eficazes de tratamento, atuando em variados tipos de maloclusões, como por exemplo, casos de pacientes com maloclusão de Classe I limítrofes, com bom perfil facial e moderado apinhamento dentário.
>>>Leia mais: Problemas verticais em ortodontia: sobremordida exagerada (Mordida Profunda) – Parte 1
Quando bem indicados, os desgastes interproximais atuam diminuindo o tempo de tratamento ortodôntico e otimizando os resultados.
E vamos às possíveis contraindicações:
- Apinhamento severo (mais de 8 mm por arcada dentária): haveria o risco de perda excessiva de esmalte e todas as consequências decorrentes;
- Má higiene oral e/ou má condição periodontal: quando há doença periodontal ativa ou falta de estabilidade dentária, embora haja poucas evidências científicas, é prudente evitar os desgastes nestas situações;
- Dentes pequenos e hipersensibilidade ao frio. O desgaste não deve ser usado pois o risco de surgimento ou aumento da sensibilidade dentária é grande;
- Suscetibilidade à cárie ou múltiplas restaurações. Existe o risco de causar desequilíbrio, embora a remoção de restaurações, em vez de superfícies de esmalte, seja uma opção a ser considerada;
- Forma dos dentes: dentes “quadrados” apresentam superfícies proximais retas e bases largas, com o desgaste são produzidas amplas superfícies de contato e podem causar impacto na comida e redução do osso interseptal;
- Hipoplasia de esmalte/dentina;
- Pacientes jovens com câmaras pulpares amplas.
E quanto de esmalte pode ser removido afinal?
A literatura científica nos relembra que a espessura do esmalte dos incisivos centrais inferiores é de 0,77 ± 0,11 mm e 0,72 ± 0,10 mm nas superfícies distal e mesial, respectivamente, em comparação com 0,96 ± 0,14 mm e 0,80 ± 0,11 mm, respectivamente, para o incisivo lateral inferior.
Valores como esses servem de base para que possamos dar prosseguimento aos procedimentos de desgastes dentários. Lembre-se também que o esmalte é mais espesso nos caninos superiores e nas superfícies distais dos incisivos centrais superiores e que há aproximadamente 1 mm de esmalte nos pré-molares.
E, atenção, é sempre importante considerar que primeiro o desgaste deve ser feito nos dentes maiores, seguindo-se para os dentes menores. Em geral, é amplamente aceito que 50% do esmalte proximal é a quantidade máxima que pode ser desgastada. Além disso, vários autores preconizam o recurso a exames radiográficos, com o objetivo de avaliar a espessura do esmalte.
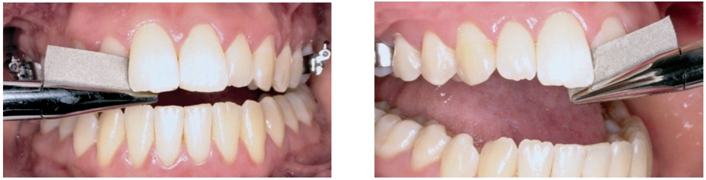
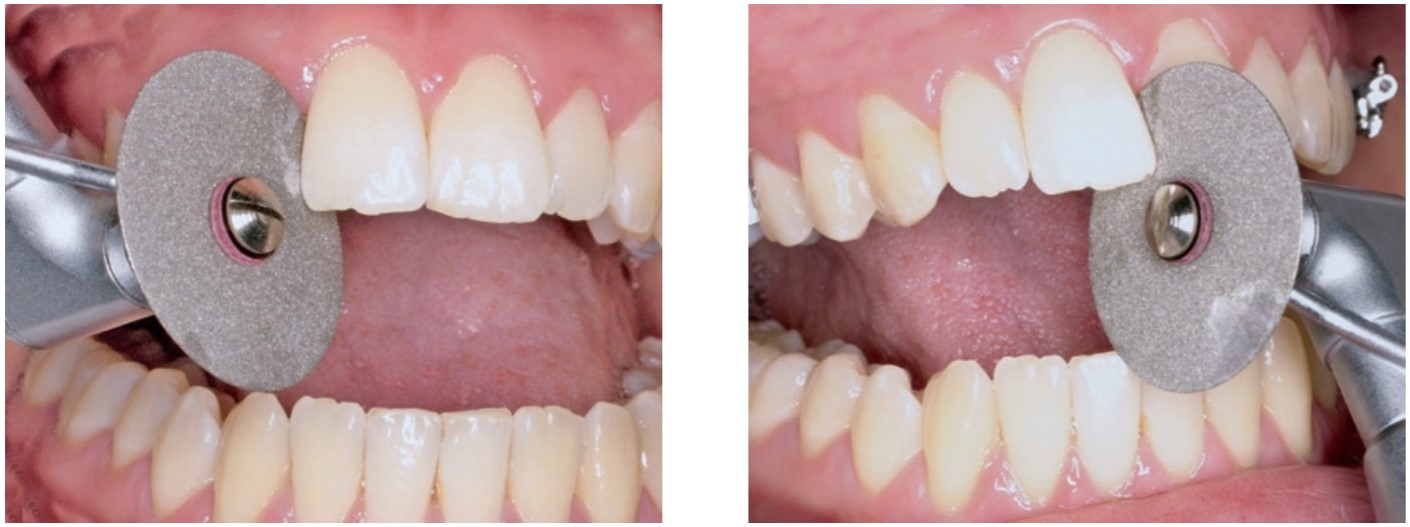
Como os desgastes podem ser realizados de forma segura?
Primeiro, é preciso entender que são várias as formas e os instrumentos existentes para realizar os desgastes interproximais (Figura 1).
As etapas para a realização podem ser divididas da seguinte forma:
• Separação: Esta etapa envolve a abertura de espaço através do uso de separadores com o objetivo de tornar a área de desgaste mais acessível
• Redução: O esmalte é desgastado com a ajuda de um instrumento abrasivo apropriado, como os discos diamantados, lixas, etc.
• Recontorno: Depois do esmalte ser desgastado os dentes são cuidadosamente recontornados de forma a recriar o ponto de contato original.
• Polimento: A superfície dentária é polida após o desgaste, de forma a reduzir a rugosidade e poros criados no esmalte.
• Proteção: Aplicação de uma camada fluoretada na superfície de esmalte desgastada
Por fim, vamos aos lembretes finais para que este procedimento ocorra de forma segura e que os objetivos possam ser alcançados.
- Realizar o desgaste interproximal sempre com instrumentos novos;
- Proteger os tecidos moles;
- O desgaste não deve ser realizado, sem que haja uma correção da rotação dos dentes indicados, de forma a se poder restabelecer um correto ponto de contacto;
- Ele deve ser realizado sequencialmente;
- As áreas desgastadas devem ficar paralelas entre si;
- Deve ser realizado um polimento minucioso nas superfícies desgastadas;
- Após o polimento deve ser aplicada uma camada protetora fluoretada.
Comente aí embaixo o que achou do artigo!
Abraços e até breve!
>>>Confira outros artigos sobre Ortodontia
Referências:
Desgaste interproximal de esmalte no tratamento ortodôntico
Cuoghi et al. Desgaste interproximal e suas implicações clínicas. R Dental Press Ortodon Ortop Facial. Maringá, v. 12, n. 3, p. 32-46, maio/jun. 2007



Uso regularmente o desgaste interproximal, em orto, sempre optando por onde a função provavelmente vá estabilizar. Yuri bom
O texto!
Excelente artigo! Tenho utilizado muito o desgaste em casos de black spaces. São detalhes que o paciente só percebe após a remoção então acho que a vale a pena indicar!