Na Ortodontia, os elásticos ortodônticos são utilizados para auxiliar na movimentação ortodôntica – tanto em aparelhos fixos como em alinhadores transparentes – apresentando um papel fundamental na correção de maloclusões.
A função dos elásticos ortodônticos é aplicar uma força constante e controlada, tendo impacto direto na correção dentária e esquelética.
Os elásticos, de acordo com o planejamento do ortodontista, são inseridos em dispositivos ortodônticos, como por exemplo bráquetes, alinhadores, mini implantes, aparelho extrabucal, ganchos e botões, sendo trocados pelo profissional e/ou paciente, de acordo com o tipo de aparelho, elástico ortodôntico e necessidade do caso clínico.
Neste artigo, vamos abordar sobre sua importância, tipos de elásticos, quais são as indicações clínicas do tratamento ortodôntico com elásticos.
Importância dos elásticos ortodônticos
Os elásticos para aparelhos ortodônticos são acessórios utilizados em conjunto com aparelhos e/ou dispositivos – como ganhos e botões – com o intuito de realizar movimentação dentária e/ou esquelética em pacientes que utilizam aparelho ortodôntico fixo, alinhador e aparelho extrabucal.
São confeccionados em látex ou silicone (indicados para pacientes alérgicos ao látex). É importante lembrar que os elásticos de silicone devem ser trocados em um maior intervalo de tempo, conforme orientação do ortodontista, pois perdem sua capacidade de aplicação de força em um tempo menor do que os elásticos de látex.
Ao promover uma força direcionada, o elástico auxilia na correção da má oclusão, acelerando a obtenção dos resultados esperados.
Conheça os benefícios dos elásticos ortodônticos:
- Indicado para diversos tipos de aparelhos ortodônticos;
- Baixo custo;
- Impacta em movimentos dentários e esqueléticos;
- Aplicação de força controlada e ajustável, de acordo com a necessidade clínica;
- Diminui o tempo de tratamento, por otimizar a movimentação ortodôntica ou ortopédica.
É importante lembrar, que para obter os resultados desejados, é fundamental seu uso constante, bem como as trocas nos períodos indicados pelo profissional.
O excesso de força pode causar reabsorção radicular e a força abaixo do indicado pode prolongar o tempo do tratamento ortodôntico.
Tipos de elásticos ortodônticos
Na Ortodontia, existem vários tipos de elásticos, cada um com suas indicações específicas.
Para escolher um elástico ortodôntico, o ortodontista deve avaliar a complexidade do caso clínico, os objetivos do tratamento e a força que deve ser aplicada para solucionar a má oclusão.
Os elásticos podem ser classificados em relação à indicação de uso, força e tamanho.
I. Indicação de uso:
Elástico ortodôntico intraoral: indicado para uso intermaxilar (na maxila e mandíbula) ou intramaxilar (apenas na maxila ou apenas na mandíbula). Os mais comuns são:
- Elástico ortodôntico em corrente: para fechamento de espaços;
- Elástico ortodôntico classe II: correção de Classe II;
- Elástico ortodôntico classe III: correção de Classe III;
- Elástico ortodôntico triângulo: para fechamento de mordida;
- Elástico ortodôntico quadrado: para fechamento de mordida em Classe II ou Classe III;
- Elástico ortodôntico de linha média: para corrigir linha média.
- Elástico ortodôntico extraoral: atua em conjunto com dispositivos ortodônticos externos, podendo ter efeito dentário ou esquelético.
Elásticos de ligadura: indicados para conectar o fio ortodôntico ao bráquete, agindo em conjunto para aplicar forças e direcionar o movimento dentário. São as famosas “borrachinhas coloridas”.
Elástico separador: criam espaço entre dentes antes da inserção de bandas ortodônticas.
II. Força
São classificados em força leve, média ou forte, de acordo com sua espessura. A escolha depende do tipo de movimento desejado.
Cada elástico tem sua força ideal de trabalho e essa força é descrita pelo fabricante na embalagem.
III. Tamanho
Exceto o elástico corrente e as ligaduras, os demais apresentam tamanhos variáveis, geralmente entre 1/8” e 1/4”, impactando na intensidade da força aplicada.
É importante lembrar que a escolha do tipo de elástico deve levar em consideração o planejamento ortodôntico, a resposta biológica esperada e as características individuais de cada paciente, permitindo que o ortodontista personalize o tratamento.
Tratamento ortodôntico com elásticos
A movimentação dental com elásticos é geralmente é indicada para as seguintes situações clínicas:
- Correção de Classe II e Classe III;
- Desvio de linha média;
- Fechamento de diastema;
- Mordida aberta;
- Mordida cruzada;
- Protusão de maxila/mandíbula;
- Retração de maxila/mandíbula;
- Intercuspidação;
- Ancoragem dentária;
- Movimentações ortopédicas.
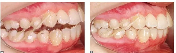
Em relação ao tipo de aparelho ortodôntico, alguns pacientes definitivamente não se adaptam ao tratamento ortodôntico convencional, aqueles que se utilizam de bráquetes (metálicos ou de algum material mais estético como os de safira). (Figura 1)

Quando esses pacientes buscam por alternativas ao tratamento com bráquetes, se a característica do caso clínico permitir, é possível utilizar o alinhador ortodôntico.
Dentre eles, temos marcas nacionais, mas o mais conhecido e utilizado por enquanto ainda é o Invisalign. (Figura 2)

Mas será que quem faz uso de alinhadores invisíveis também precisaria passar por essa etapa do uso de elásticos? A resposta é sim!
O profissional vai avaliar cada paciente individualmente, analisando a sua real necessidade. Usar o elástico com alinhador invisível serve para auxiliar a mecânica e também dar maior eficiência ao tratamento, assim como quando utilizamos com aparelhos fixos.
Para alcançar uma oclusão ideal, o ortodontista que faz uso do sistema de alinhadores invisíveis com a chamada distalização sequencial dos dentes superiores para atingir a Classe I.
Essa mecânica pode ser difícil com os alinhadores devido à força necessária para o controle da distalização das raízes.
Além disso, estudos sobre o tratamento da Classe II sugerem que o aparelho invisível atinge com sucesso certos movimentos dentários, mas não consegue realizar outros movimentos de forma previsível.
Reforçando a necessidade de utilizarmos alternativas biomecânicas que se somam às potencialidades do alinhador, como o uso de elásticos (Figura 3).

Portanto é importante para o Ortodontista desmistificar o uso dos alinhadores ortodônticos e explicarem ao paciente que o uso de elásticos, attachments, botões e recortes no alinhador são algumas alternativas que podem ser de grande valia, e necessárias durante o tratamento com um aparelho invisível.
Para o sucesso do caso clínico utilizando elásticos, é fundamental a colaboração do paciente.
Por isso, elaboramos algumas dicas para pacientes, com o objetivo de otimizar os resultados do tratamento ortodôntico:
- Trocar os elásticos de acordo com a orientação do dentista, para não atrasar o tempo de tratamento;
- Ter elásticos extras, para substituição em caso de perdas ou rompimento do elástico;
- Retirar os elásticos para se alimentar e quando realizar a higiene oral;
- Guardar os elásticos em locar fresco e seco, longe da luz solar, para não alterar a elasticidade e diminuir a força aplicada;
- Evitar remoção desnecessária: quanto mais tempo o elástico permanece em uso contínuo, mais eficiente será o movimento;
- Ter um kit de higiene bucal específico para usuários de ortodontia fixa.
Os elásticos desempenham um papel de extrema importância na Ortodontia, sendo fundamental o conhecimento do profissional em biomecânica e a colaboração do paciente.
Conclusão
O uso de elásticos na Ortodontia é indicado para otimizar tratamentos dentários e esqueléticos, sendo indicado o uso associado à diversos tipos de aparelhos ortodônticos, como aparelho fixo, aparelho extrabucal e alinhadores.
Para o sucesso do caso clínico, além do conhecimento técnico do profissional, é de extrema importância a orientação e colaboração do paciente.
Precisa de elásticos ortodônticos?
Na Dental Cremer | Henry Schein, você encontre uma variedade de opções, das melhores marcas do mercado.
Comentários
Nenhum comentário