Paciente jovem com aproximadamente 33 anos, procurou atendimento descontente com os desgastes presentes nos seus dentes, desgastes relacionados a atrição dental, e que se apresentam adiantados para a idade. Outro anseio do paciente era o de melhorar a forma e a cor dos dentes.
Ao exame clínico foi observado ainda a presença do pré-molar 25, tratado endodonticamente, com uma fratura coronal, que para benefício do paciente foi acima do nível ósseo, permitindo o reestabelecimento desse elemento dental apenas com tratamento protético.
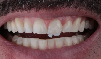
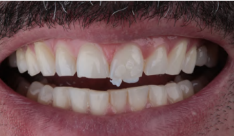
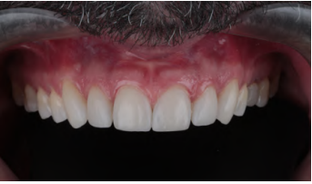
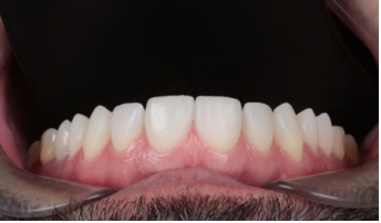
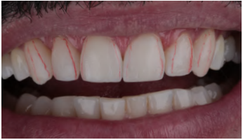
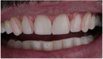
Após o exame clínico, como de rotina foi solicitado exames complementares (radiografia panorâmica e periapical do 25), e foram executados modelos iniciais para serem articulados e para enceramento diagnóstico, além disso, foram executadas fotografias faciais e intrabucais, com objetivo de auxiliar no diagnóstico e planejamento do caso (Fig. 1).
Após a avaliação dessas informações, o tratamento proposto ao paciente foi a realização de 9 facetas em resina composta, sem nenhum desgaste de estrutura dental, apenas acréscimo, verificada essa possibilidade através dos modelos articulados e do enceramento, e no dente 25 a realização de pino fibro-resinoso e coroa em cerâmica pura.
Materiais Utilizados:
Fotos do caso com a resina Charisma® Diamond
O material selecionado para abordar esse caso foi o sistema restaurador Charisma® Diamond (Kulzer) (Fig. 2). O primeiro passo a ser realizado no dia da primeira consulta restauradora, é a seleção das cores de resina a serem utilizadas.
É preciso selecionar as cores que copiam a estrutura dos dentes, e selecionar a cor que iremos usar para tornar os dentes mais claros (Fig. 3).
Executada a seleção de cor o próximo passo é o isolamento do campo operatório, e como se trata de região anterior, o isolamento relativo também é uma possibilidade, mas nesse caso foi executado um isolamento absoluto.
Na primeira sessão restauradora o plano foi a execução das restaurações de canino a canino, para conforto do paciente.
O sistema adesivo escolhido foi o GLUMA® Bond Universal (Kulzer) (Fig 4) que se trata de um adesivo de oitava geração, ou seja, um sistema universal de frasco único.

Após o isolamento absoluto uma limpeza dos dentes é necessária para remoção de placa e película adquirida, apesar de o paciente já ter sido adequado na consulta anterior.
Foi realizada então limpeza com pedra pomes e água, com escova Robinson. O tratamento da superfície foi com Jateamento com óxido de alumínio 25μm e aplicação de ácido fosfórico 35% GLUMA® Etch (Kulzer) (Fig. 5 e 6).
Nos conceitos atuais de estética dental, é consenso que a dominância dos centrais é um dos pontos mais importantes e mantê-los o mais simétrico possível é desejável. Por isso, optou-se por executar primeiro os dois elementos, pois o objetivo de deixá-los simétricos ocupa boa parte do tempo da execução das restaurações da bateria anterior.
Então, após o preparo das superfícies, os dois começaram a ser construídos com auxílio da guia palatina realizada em Silicone de Condensação Optosil® e Xantopren® ambos (Kulzer), a partir do enceramento. A resina utilizada nessa camada foi Charisma® Diamond (Kulzer) cor YO (Fig. 7).
Como os dentes possuem desgastes, deve-se tomar sempre cuidado em restaurações deste tipo para equalização dos substratos, para que não ocorram diferenças chamativas na área dos desgastes, para isso foram utilizadas as resinas Charisma® Diamond (Kulzer) cor A2 e A3 (Fig. 8).
E foram deixados espaços nas áreas caracterizações incisais, para resina translúcida, para efeito opalescente incisal Charisma® Diamond (Kulzer) cor AM, essa resina tem a capacidade de dar um efeito translúcido âmbar, o que confere um efeito de contra opalescência.
Para facilitar o trabalho, foi utilizada a matriz Unica® anterior (Quinelato) para auxiliar no perfil de emergência e nos términos proximais evitando excessos de resina e facilitando a obtenção de contatos mais interessantes (Fig. 10). Foi realizado então um incremento em toda a face vestibular com a resina Charisma® Diamond (Kulzer) cor OL e em seguida uma fina camada de YO.
Finalizada a incrementação da resina os procedimentos de acabamento se iniciam com a demarcação das arestas (Fig. 11), que delimitam as áreas planas, importantes áreas de reflexão de luz, e as áreas de sombra, que na verdade são as ameias vestibulares.
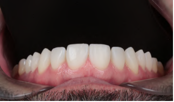
Uma dica interessante é realizar a marcação das arestas com grafite vermelho e marcar a distância entre elas com compasso de ponta seca, para que fiquem exatamente do mesmo tamanho. A primeira consulta é em geral longa, e paciente e profissional acabam ficando cansados, por isso optou-se por realizar as restaurações de 13 a 23, observa-se o final imediato ainda sem a realização da coroa do dente 25 (Fig. 12 e 13).
O paciente já deve sair na primeira consulta com os dentes polidos, porém, como esta é uma consulta longa, sempre é interessante deixar os acabamentos mais delicados para uma segunda consulta, observe o detalhe do acabamento da resina e da textura de superfície, ideal que não sejam texturas muito grosseiras, para evitar acúmulo de placa, e que sejam mais próximas ao natural (Fig. 14).
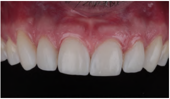
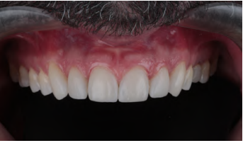
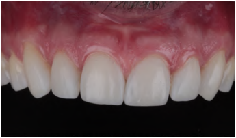
Depois de finalizadas as facetas de resina composta puderam ser executadas os procedimentos de moldagem da coroa cerâmica do elemento 25, e o resultado estético final foi obtido de forma rápida e natural (Fig. 15 e 16). Casos como esse em questão exigem a execução de uma placa de acrílico rígida para garantir a proteção do tratamento (Fig. 17).
Considerações finais:
- Baratieri LN et al. Odontologia Restauradora: Fundamentos & possibilidades. São Paulo: Santos, 2015.
- Chain MC, Alexandre P. Facetas estéticas pré-fabricadas como procedimento restaurador – um caso clínico. Full Dentistry in Science. , v.5, p.338 – , 2014.
- Ferracane JL. Resin composite—state of the art. Dent Mater 2011;27:29–38.
- Craig RG, Powers JM. Restorative Dental Materials, 11th ed. St. Louis, MO: Mosby Inc., 2002:231e51.
- Anusavice LJ, Phillips RW. Materiais dentários. 11 ed Rio deJaneiro: Elsevier, 2005.
- F. F. Demarco, K. Collared, F.H. Coelho-de-Souza, M.B. Correa, M.S. Cenci, R.R. Moraes, N. Opdam, Anterior composite restorations: a systematic review on long-term survival and reasons for failure, Dental Materials 30 (2014) 348–355, doi:http://dx.doi.org/10.1016/j.dental.2015.07.005.
- F. F. Demarco,R.A.Baldissera,F.C.Madruga,R.C.Simoes,R.G.Lund,M.B.Correa, M.S. Cenci, Anterior composite restorations in clinical practice: findings from a survey with general dental practitioners, J. Appl. Oral Sci. 21 (2013) 497–504
Autores:
• Pedro Alexandre
Esse texto foi desenvolvido em parceria com o fornecedor Kulzer.



















Excelente caso, riqueza de detalhes, leitura mto satisfatória e Simples ! No aguardo para novos casos de restabelecimento com facetas de resina