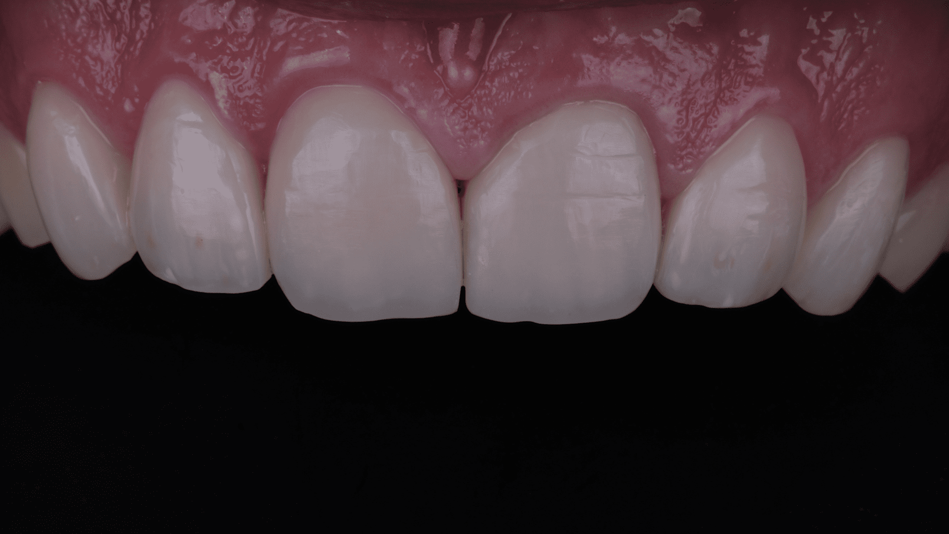
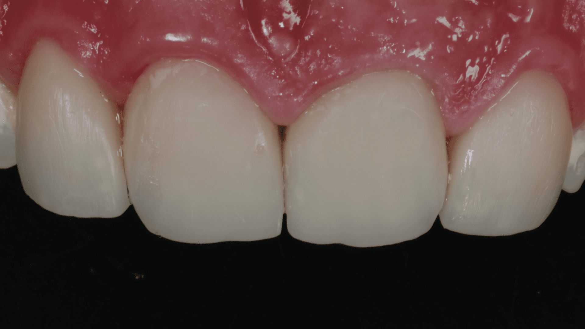
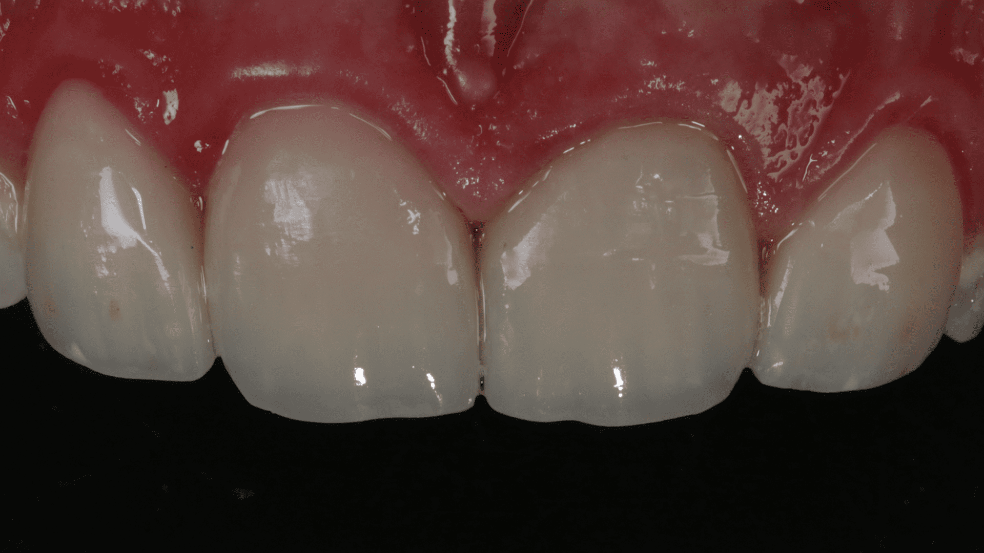
Paciente procurou atendimento odontológico solicitando uma melhora na aparência estética dos seus dentes pois achava que eles estavam manchados e desgastados.
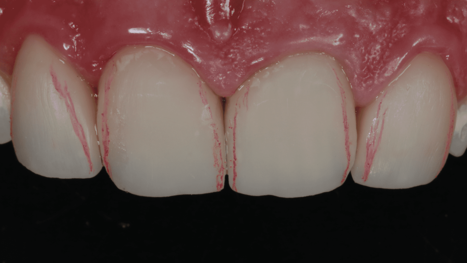
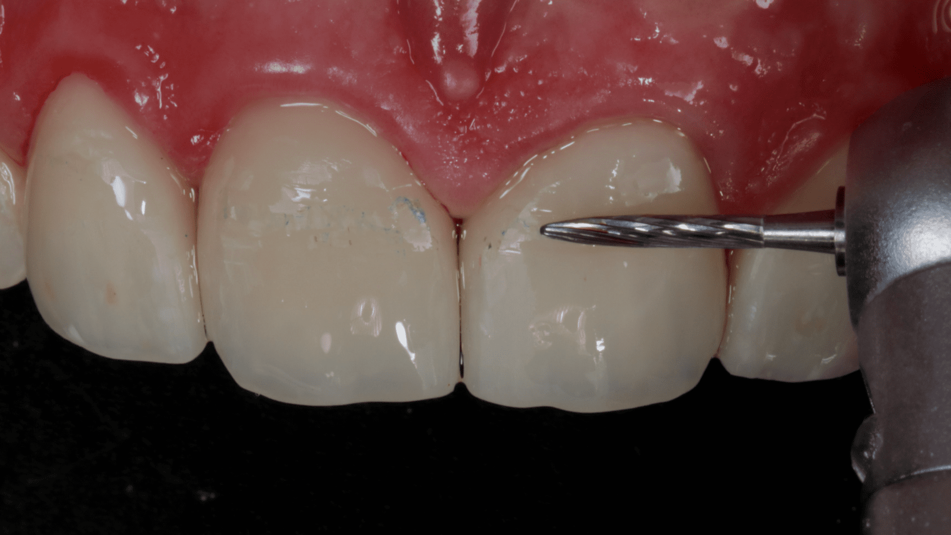
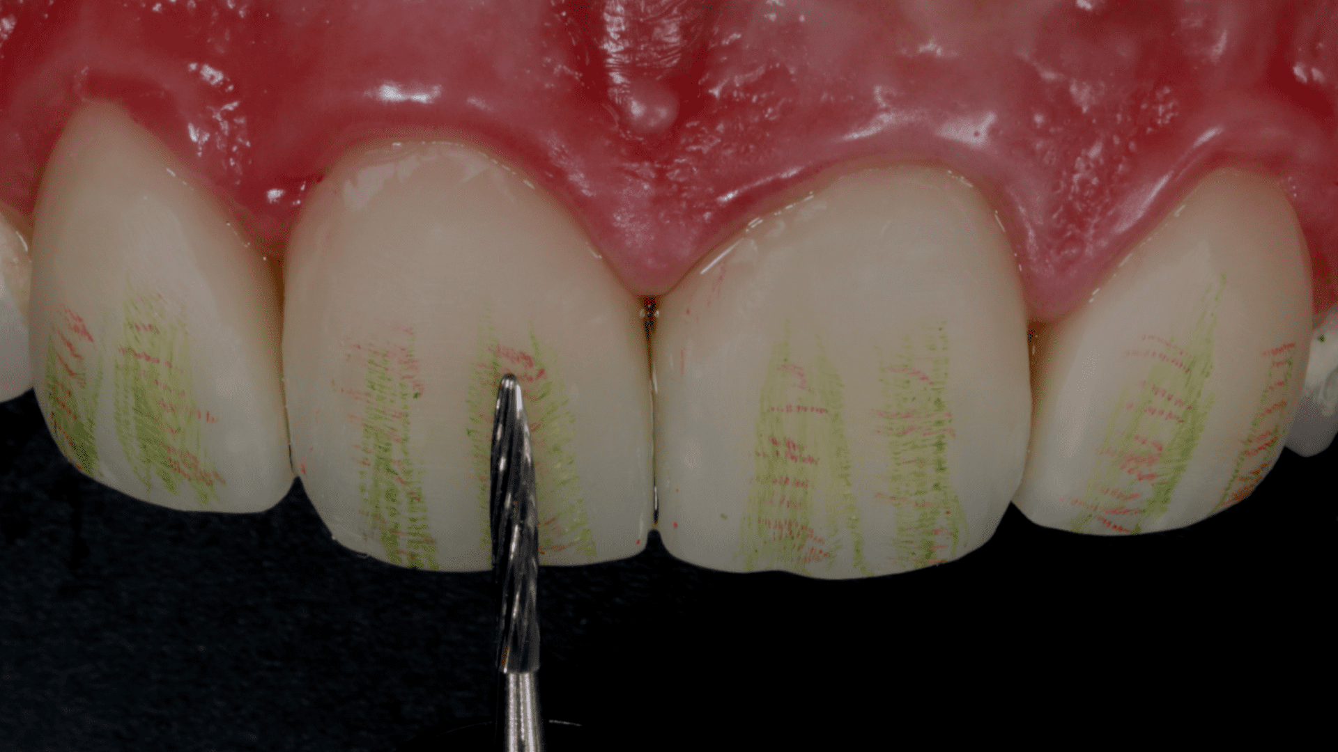
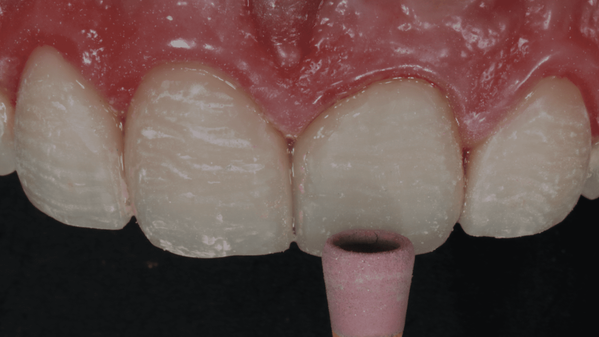
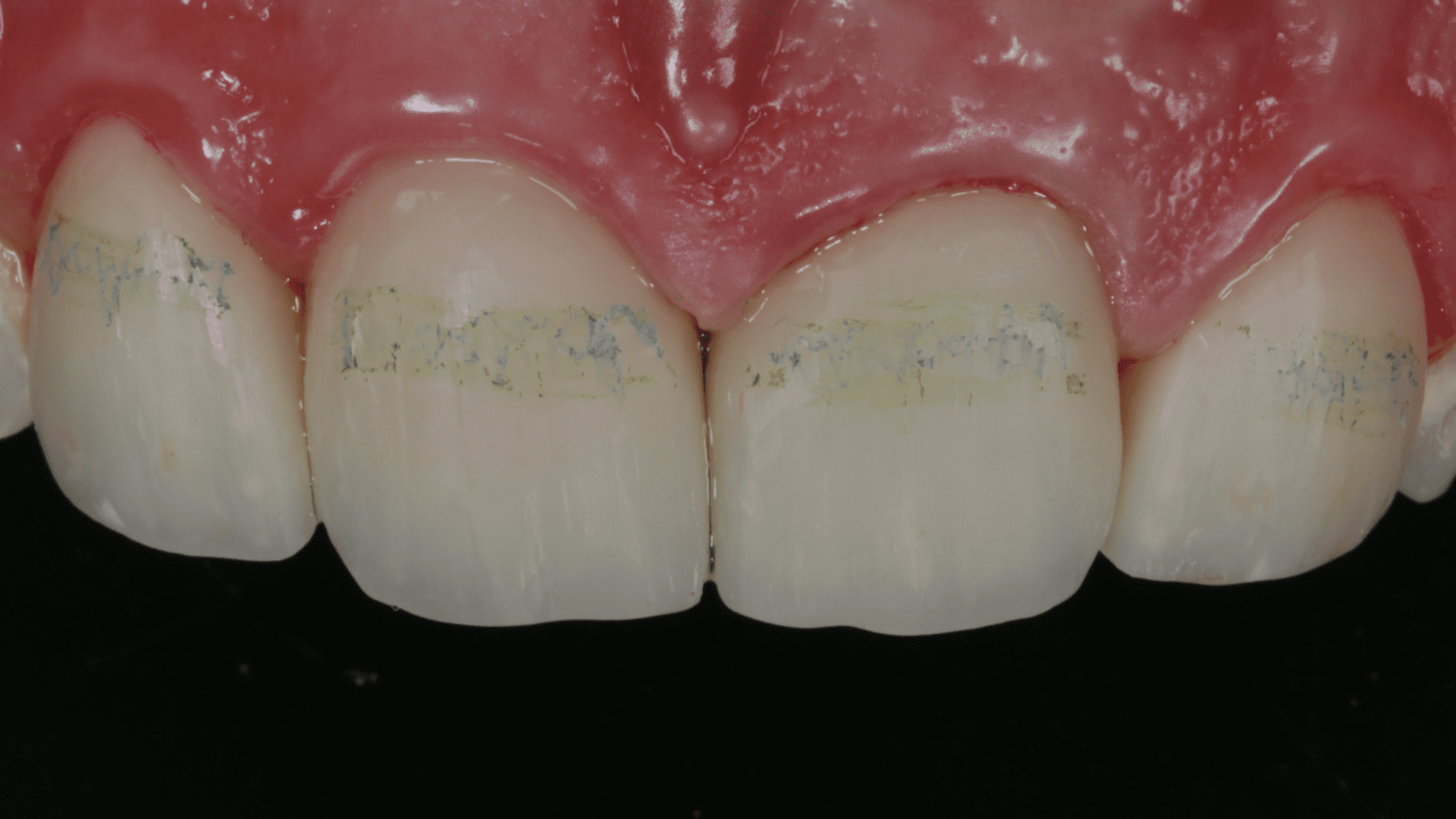
Com o exame clínico observamos presença de restaurações insatisfatórias, cárie, desgaste de guias, inflamação gengival. Foi então planejado para este paciente a execução de facetas diretas em resina composta dos elementos 13 a 23 utilizando o material Resina Filtek™ Z350 XT – 3M nas cores A3 e A2.
>>> Leia mais: Cor ideal para resina composta: como escolher? <<<
Para este caso não foi feito nenhum enceramento ou guia palatino para execução do caso. Para casos como este, o isolamento absoluto se torna obrigatório. Foi orientado também os procedimentos de higienização e preventivos para cárie e problemas periodontais, tudo isso pensado para melhorar a aparência estética do sorriso do paciente em questão.
Sobre o autor:
Dr. Maciel Junior | CRO-MG 28513
Professor na FAEPO Unesp/Araraquara
Especialista em Dentística Restauradora pela USP/Bauru
Pela Unesp/Araraquara possui mestrado e doutorado em Dentística Restauradora
































Gostaria de teceber