A anatomia do sistema de canais radiculares se apresenta o mais variada possível, com curvaturas acentuadas ou complexidades anatômicas, tornando mais delicado e cuidadoso o ato da instrumentação.
Antigamente, era normal usarmos instrumentos manuais de aço inoxidável para instrumentar os canais radiculares, porém, esses instrumentos podiam produzir degraus e desvios na trajetória original dos canais.
Portanto, para suplantar tais problemas, podemos lançar mão de alguns conceitos básicos que devemos seguir durante a instrumentação dos canais curvos. Dentro destes conceitos iremos correlacionar o novo sistema rotatório de limas da Dentsply Sirona que é o Maillefer TruNatomy.
O que é Maillefer TruNatomy?
Maillefer TruNatomy nada mais é do que um sistema de limas rotatórias que podem ser usadas em canais curvos e atrésicos com segurança. Esse sistema cria espaço para limpeza e remoção de resíduos do interior dos canais radiculares, respeitando a anatomia natural do canal e preservando a integridade estrutural do dente.
O sistema de limas é composto por 5 instrumentos que podem ser observados a seguir (Figura 1):

Figura 1: Sistema de limas
Pré- Alargamento de terço cervical e médio
A importância do pré-alargamento do terço cervical e médio implica em podermos descontaminar melhor a região que mais concentra bactérias em um dente, que é o terço cervical, seguido do terço médio. Esse pré-alargamento pode ser feito com limas dos próprios sistemas rotatórios, bem como, com limas reciprocantes.
Patência do canal
Patência do canal ou patência foraminal é manter o forame apical livre de debris. Ou seja, manter o caminho livre até o forame apical ou manter o canal livre para que possamos instrumentar os dentes em sua totalidade sem desvios ou degraus.
Dessa forma, pode-se alcançar a patência com instrumentos manuais finos, instrumentos rotatórios ou reciprocantes utilizados para este fim, que são os instrumentos de Glide Path.
Exemplos de instrumentos para Glide Path são: limas manuais C Pilot ou tipo K no máximo tamanho 15 ou limas TruNatomy glider, Proglider e WaveOne Gold Glider (Dentsply/ Maillefer).
Irrigação do sistema de canais radiculares
A cada troca de limas, a mesma deve ser limpa em uma gaze com álcool e o canal deve ser irrigado com a solução irrigadora de sua escolha. Optamos pelo hipoclorito de sódio 2,5%, usando seringa de 5 ml e agulha Navitip da Ultradent.
Instrumentos de Níquel – Titânio com tratamento térmico
Não basta o instrumento ser somente de Níquel Titânio. O tratamento térmico na liga ou após a usinagem do instrumento, deixa-o mais flexível e passível de ser utilizado na instrumentação de canais curvos ou atrésicos.
Além disso, deve ser sua escolha utilizar instrumentos com pequenas conicidades e pontas. Contudo, utilize os instrumentos acionados em motores específicos para endodontia que façam movimentos rotatório ou reciprocantes.
Sugestão de instrumentos rotatórios
Um dos mais novos sistemas lançados no mercado para instrumentação de canais curvos que faz o movimento rotatório é o TruNatomy da Dentsply/Maillefer.
Esse sistema se constitui em um outro sistema composto por cinco limas que trabalham na rotação de 500 RPM e 1,5 N de torque ajustados no motor XSmart Plus, ou qualquer motor endodôntico em que possamos ajustar a rotação e torque indicados pelo fabricante.
Relato de caso clínico em canais radiculares atrésicos
A seguir, confira um caso clínico exemplificando a utilização desse sistema em canais atrésicos vestibulares de um molar superior.
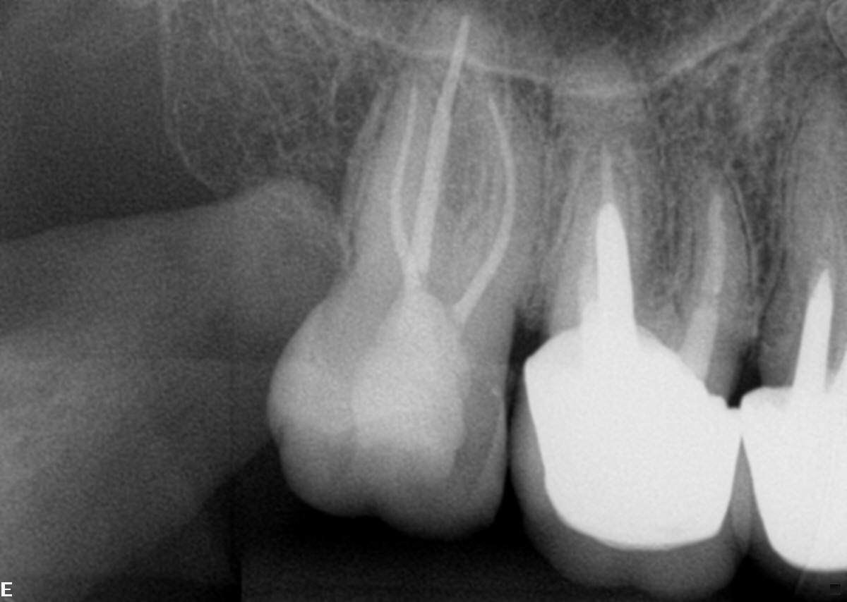
- Paciente do sexo feminino, com 70 anos de idade, nos procurou com queixa de dor no dente 17 (Figura 2).
- Em seguida, relatou ter passado por um profissional que solicitou a ajuda de microscópio por não conseguir descer nos canais. Então, fizemos uma radiografia periapical onde constatou-se atresia em raiz distal, e atresia e curvatura em raiz mesial (Figura 3).
- Depois de anestesia e isolamento absoluto, realizamos o acesso endodôntico com uma broca de alta rotação 1014 de haste longa, utilizada em contra ângulo elétrico. O acesso aos canais foi complementado com inserto ultrassônico esférico com a finalidade de desgastar pouca estrutura dental para localizar os canais.
- Logo, o sistema escolhido para a instrumentação dos canais vestibulares foi o TruNatomy, por causa de sua atresia e curvatura. Para a instrumentação inicial foi usada a lima de pré-alargamento TruNatomy Orifice Modifier e após isso, uso de limas C pilot 8, 10 e 15.
- Após a odontometria eletrônica, utilizou-se a lima TruNatomy para Glidepath.
- Então, para a modelagem nos canais vestibulares, utilizou-se as limas 20.04 e 26/04 (Figura 4).
- Entretanto, o canal palatino por ser mais amplo foi instrumentado com a lima WaveOne Gold small, medium e large.
- Em seguida, os canais foram irrigados com hipoclorito de sódio 2,5% e foi utilizada a irrigação ultrassônica passiva para potencializar a limpeza dos canais.
- Para remoção do smear layer foi utilizado o EDTA.
- A obturação deu-se na técnica de onda contínua de condensação usando o cimento AHPLUS da Dentsply (Figuras 5, 6 e 7).
- Por fim, efetuou-se uma restauração em resina composta do acesso endodôntico e encaminhado o caso para o dentista indicador, para concluir os procedimentos restauradores e protéticos cabíveis.
Figura 2 Figura 3 Figura 4 Figura 5 Figura 6 Figura 7
Nota-se que o tratamento foi conservador, com pouco desgaste de dentina pericervical, dando mais longevidade e manutenção da integridade da estrutura dental.
Em suma, quando em nosso consultório, aparecerem canais atrésicos e com curvaturas acentuadas, escolha adequadamente seus instrumentos para que o tratamento se traduza em sucesso.
>> Confira mais estudos de caso em nosso blog
✍️ Deixe seu comentário
📢 Compartilhe com os amigos
🕵 Siga nossas redes:
➡ TikTok
Acesse nossa Loja Virtual e encontre a solução completa para você na Odontologia!






Comentários
Nenhum comentário