Em nossa clínica diária, muitas vezes nos deparamos com acidentes e complicações nos procedimentos que fazemos. A perfuração dentária é algo que ocorre muitas vezes por uma falta de planejamento do procedimento que iremos realizar.
A etiologia é muito variável e pode ser por desconhecimento da anatomia, dificuldade da visualização ou erros técnicos do profissional.
A perfuração dentária tem solução!
A endodontia é uma especialidade que estuda a morfologia e também o tratamento das patologias da cavidade pulpar e tecidos perirradiculares. Quando temos grande formação de dentina secundária ou terciária, a câmara pulpar pode se tornar bem atrésica e difícil de ser visualizada.
Nestes casos, o cirurgião-dentista pode ter dificuldade no acesso ao sistema de canais radiculares. Além disso, durante o acesso à câmara pulpar ou canais radiculares pode ocorrer, de forma acidental, uma perfuração na dentina.
O sucesso no reparo desta perfuração vai depender de quanto tempo houve o acidente e também do seu tamanho e localização.
A seguir, mostraremos a resolução de um caso de perfuração e abordagem da forma de tratamento.
Descrição do caso
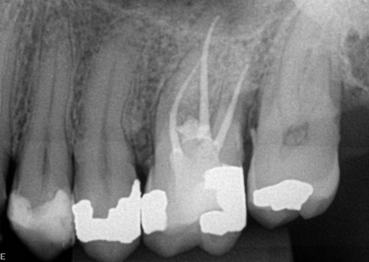
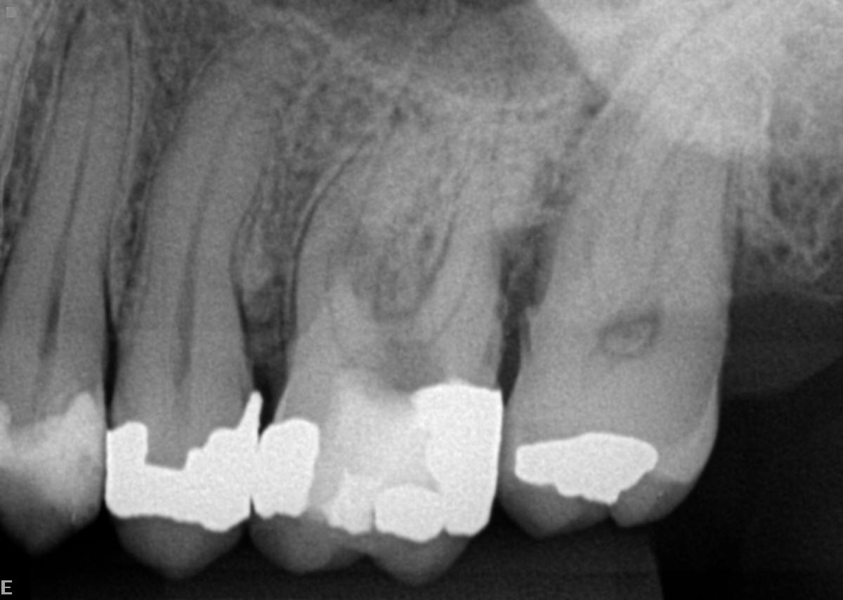
Paciente compareceu ao consultório encaminhado por um colega que executou a abertura do dente. Porém, na dificuldade de localização da câmara pulpar, acabou perfurando acidentalmente o assoalho do dente (Figura 1 e Figura 2).
Abordagem e técnicas empregadas
No outro dia, o paciente compareceu ao consultório e realizamos o atendimento e conclusão do tratamento em sessão única, visto que a perfuração foi recente.
Realizamos a abertura do dente com a broca diamantada esférica de haste longa em alta rotação número 1016. Logo após a abertura, já foi possível localizar a perfuração em assoalho pulpar (figura 3).
Fizemos a desinfecção com hipoclorito de sódio 2,5% e realizamos o fechamento da perfuração.
Dicas importantes para o sucesso do procedimento
Antes do vedamento da perfuração, deixamos as bordas da perfuração regulares (não cortantes ou com espículas). Com isso, é possível ter uma regularização da região e das paredes a serem vedadas com o material reparador. Isso pode ser feito com inserto de ultrassom esférico diamantado com irrigação.
Após o preparo das bordas da perfuração, foi realizada a hemostasia da região. Este controle pode se dar com hidróxido de cálcio P.A.
Após a hemostasia, foi secada a região com bolinha de espuma (Pele Tim da VOCO) e inserido o cimento biocerâmico reparador (Bio C Repair – Angelus). Esses cimentos biocerâmicos são bioativos e possuem a capacidade antimicrobiana. Além disso, estimulam a formação óssea no local em questão.
Para transportar o cimento Bio C Repair pode ser utilizada uma espátula de inserção. Para realizar o acomodamento, você pode utilizar o Compactador de Níquel Titânio de forma gentil.
Dependendo do material biocerâmico que for levado a região da perfuração, o tempo de presa pode variar de 12 min a uma hora aproximadamente (figura 4).
A preferência é optar por materiais reparadores com presa rápida para que possamos fazer a restauração em cima desta região na mesma sessão e a obturação dos canais quando for possível (figura 5).
Confira as fotos do caso clínico abaixo
Por fim, o acompanhamento é muito importante e sempre deverá ser feito. O índice de previsibilidade de sucesso é bem grande em casos de fechamento de perfurações recentes. Se houver uma perfuração dentária mais antiga, esses procedimentos também podem ser feitos, porém, o ideal é medicar com hidróxido de cálcio entre sessões.
Confira mais artigos sobre endodontia AQUI.
✍️ Deixe seu comentário
Compartilhe com os amigos
Siga nossas redes:
▶️ Youtube
Acesse nossa Loja Virtual e encontre a solução completa para você na Odontologia!





Comentários
Nenhum comentário