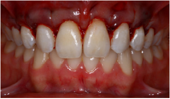
A agenesia de incisivos laterais é frequente na clínica odontológica. Nessas situações, uma abordagem multidisciplinar é fundamental. Pacientes com agenesia de lateral e os caninos na posição do lateral apresentam contorno gengival com a estética prejudicada em função da altura da margem genvial; por este motivo, uma adequação prévia é fundamental para o sucesso do tratamento restaurador.
Além disso, cuidados no planejamento dessas restaurações devem ser considerados pelo profissional e pelo paciente. Dessa forma, um guia cirúrgico pode ser feito.
A cirurgia periodontal e as restaurações em resina composta têm sido amplamente utilizadas em dentes anteriores; no entanto, esse tratamento deve ser indicado em situações específicas de tal forma que seja o mais conservador possível. Inicialmente foi feita a moldagem para o planejamento cirúrgico.
A largura e comprimento dos dentes foram medidos para determinar o enceramento. Em seguida uma placa de silicone foi feito para guiar a cirurgia. Três meses após a cirurgia foram realizadas as restaurações.
Como foi realizado o caso clínico
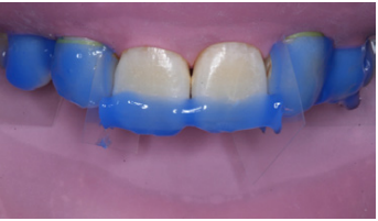
O condicionamento ácido foi feito em toda a face vestibular e proximal dos dentes para evitar aplicação de resina em área não condicionada. Foi utilizado o adesivo simplificado GLUMA® 2Bond (Kulzer). Em seguida, a resina Charisma® Classic (Kulzer) nas cores de dentina e esmalte foram utilizadas.
A polimerização de cada incremento foi feita pelo tempo recomendado pelo fabricante. Os excessos foram removidos e a oclusão ajustada.
Posteriormente, o acabamento e polimento foram realizados. Assim, o presente trabalho demonstrou, por meio de um caso clínico, a associação da periodontia e dentística no recontorno estético do sorriso com resinas compostas diretas de forma conservadora.
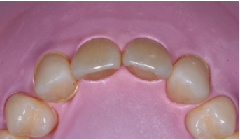
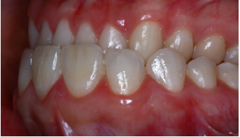
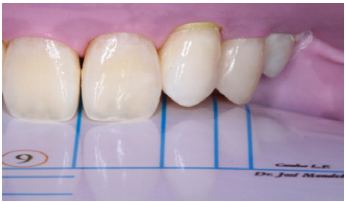
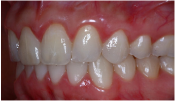
Fotos do caso clínico:
Materiais utilizados

Autor:
Leonardo Fernandes da Cunha































Comentários
Nenhum comentário