O diagnóstico e avaliação criteriosa sempre será nosso guia nas tomadas de decisões. Nas restaurações posteriores devemos observar vários itens para decidir qual é a opção restauradora mais viável. Entre as opções podemos restaurar de forma direta ou de forma indireta.
Qual restauração devo escolher direta ou indireta?
Segue um quadro para lhe auxiliar na tomada de decisão:

Legenda:
+++ Mais indicado
+ Pouco indicado
Restauração semi-direta
Sabemos que como clínicos, muitas vezes em situações que deveriam ser conduzidas de forma indireta acabamos realizando restaurações diretas devido ao custo mais elevado que pode ser impeditivo para muitos pacientes. Como opção temos como realizar restaurações semi-diretas que são confeccionadas pelo próprio dentista reduzindo custos com resultados excelentes.
Indicações para restaurações semi-diretas
- Stmo passar de 1/3 da cavidade oclusal;
- Proximal muito ampla;
- Perda da cúspide palatina;
- Dentes com tratamento endodôntico, que perderam muita estrutura;
- Pacientes com trincas em base de cúspide.
O preparo mudou muito, hoje em dia não há mais a necessidade de fazer uma caixa oclusal/canaleta de retenção, devido aos materiais adesivos. Ou seja, a resina é cimentada adesivamente. Realiza-se um preparo expulsivo, com uma inclinação das paredes de 6 a 9 graus e de preferência com todo o limite em esmalte.
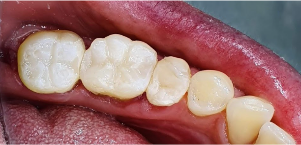
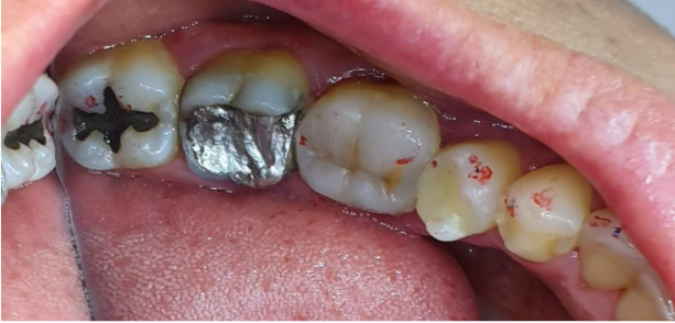
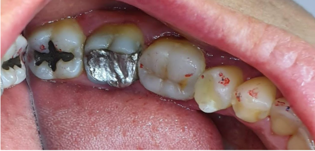
Caso clínico com passo a passo da técnica semi-direta:
>>> Confira um vídeo completo com a demonstração da técnica de restauração posterior semi-direta





















Comentários
Nenhum comentário