Más oclusões como apinhamento dentário, mordida cruzada posterior e desalinhamentos na arcada dentária não afetam apenas a estética do sorriso. Esses problemas também comprometem a oclusão funcional, podendo gerar consequências como fraturas dentárias, lesões cervicais não cariosas, sobrecarga nos tecidos periodontais e até alterações na fala e mastigação.
O tratamento ortodôntico com alinhadores transparentes tem se mostrado uma alternativa eficaz e discreta para pacientes que buscam soluções estéticas aliadas à funcionalidade. Além de alinhar os dentes, os alinhadores contribuem corrigindo as más-oclusões trazendo uma melhor distribuição das forças mastigatórias e prevenção de danos estruturais aos dentes.
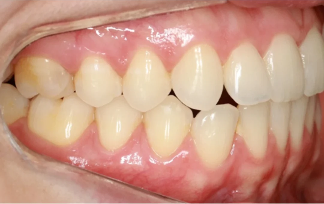
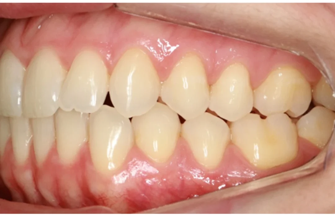
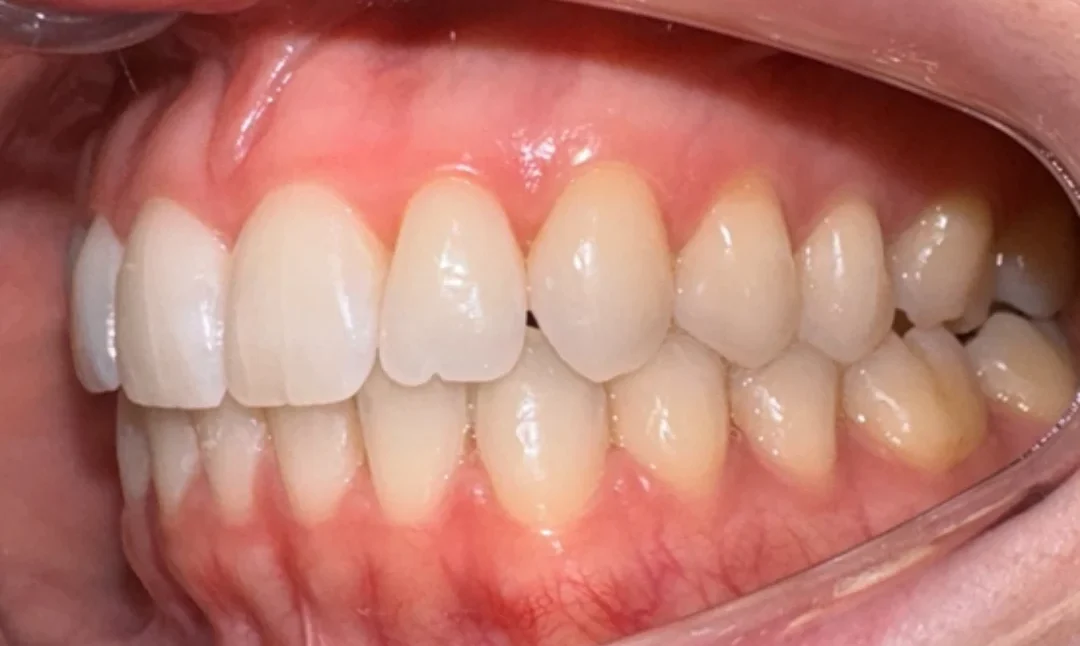
Neste caso clínico, o objetivo do retratamento ortodôntico foi solucionar a queixa estética principal do paciente — espaços entre os dentes anteriores — e corrigir a mordida cruzada na região posterior.
Caso Clínico: Planejamento e Estratégias com Alinhadores Ortodônticos
Perfil do paciente: Sexo Feminino, 28 anos, com queixa de espaços na região anterior e presença de dente cruzado na região posterior.
Diagnóstico Ortodôntico:
- Necessidade de alinhamento e nivelamento dentário;
- Correção de torque vestibular nos incisivos superiores;
- Ajuste da oclusão no segmento posterior do quadrante 3;
- Descruzamento do dente 26 (primeiro molar superior esquerdo).
Protocolo de Tratamento com Alinhadores:
1. Documentação ortodôntica completa para avaliação inicial
2. Planejamento digital com foco em
- Alinhamento e nivelamento dos dentes anteriores
- Correção de torque e angulação dos incisivos superiores
- Ajuste das guias caninas
- Distalização sequencial dos dentes 35, 36 e 37 para melhora da oclusão e ganho de espaços
- Nivelamento e intrusão do dente 34, que apresentava contato prematuro
3. Uso de botões e elásticos como mecânica auxiliar
- Elásticos de ancoragem para auxiliar a distalização
- Elástico cruzado para correção da inclinação do dente 26
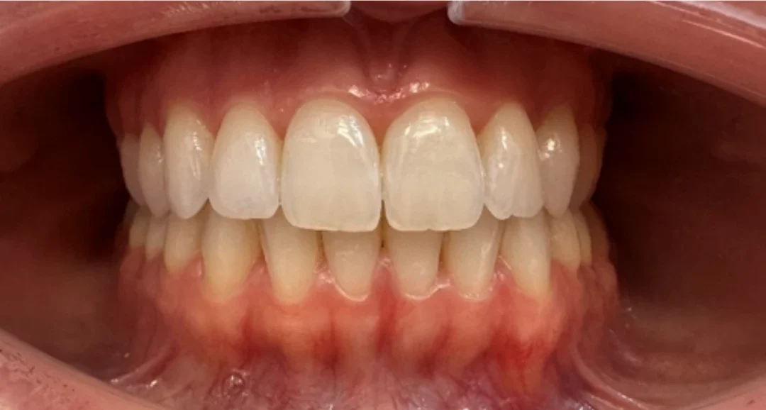
Resultados: Estética e Oclusão Otimizadas em Apenas 8 Meses
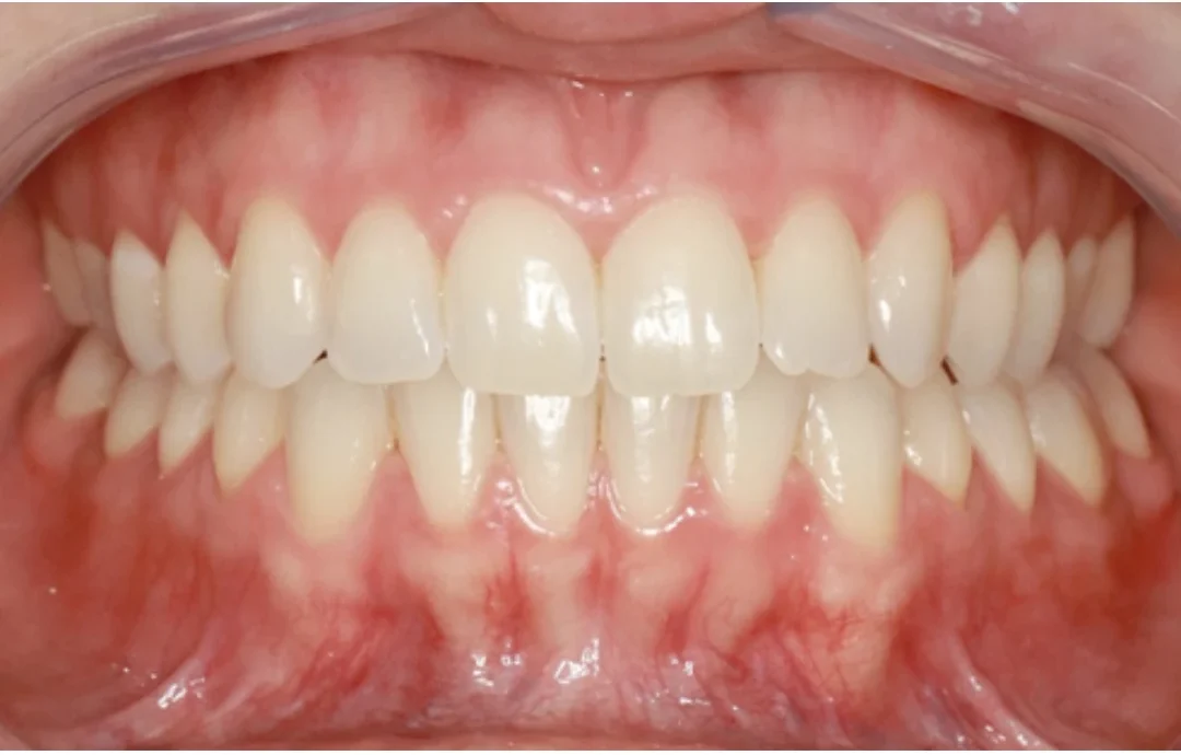
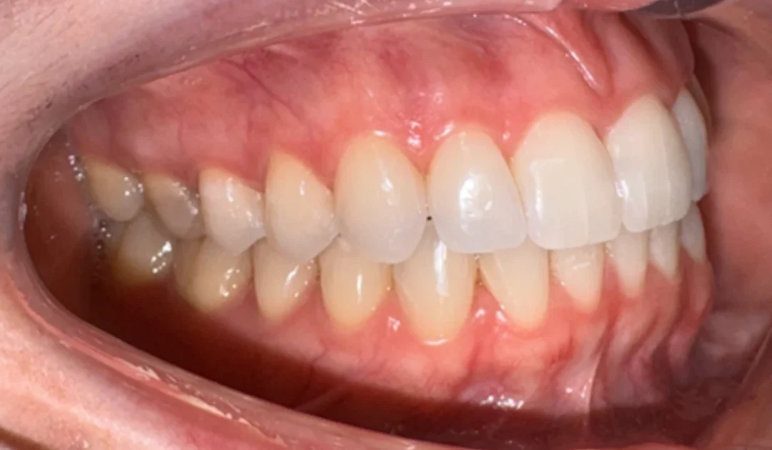
O tratamento ortodôntico com alinhadores teve duração de 8 meses, com resultados significativos tanto na estética do sorriso quanto na função mastigatória.
Melhora observada:
- Fechamento dos espaços anteriores;
- Correção da mordida cruzada;
- Maior simetria e alinhamento da arcada;
- Estabilização funcional da oclusão.
Imagens do caso (antes e depois):






Considerações Finais: Sucesso no Tratamento com Alinhadores Transparentes da Clear Aligner
O sucesso no tratamento ortodôntico com alinhadores está diretamente relacionado à adesão do paciente e ao uso correto das mecânicas auxiliares quando indicadas. O acompanhamento contínuo e o diálogo com o ortodontista são fundamentais para alcançar os objetivos do plano de tratamento.
A previsibilidade e o conforto proporcionados pelos alinhadores, somados à estética discreta, fazem deste método uma das melhores opções para adultos que buscam uma solução ortodôntica moderna e eficaz.
Escrito por Dr. Rafael Coutinho Silva
CRO-PR 27.094 | Ortodontista
Referência Científica:
Grewal H, Sapawat P, Modi P, Aggarwal S. Psychological impact of orthodontic treatment on quality of life – A longitudinal study. International Orthodontics. 2019;17(2):269–76.
Forma

Comentários
Nenhum comentário