Muitas vezes, devido ao trauma ou cáries, dentes permanentes jovens podem necrosar e, por sua vez, necessitarem da terapia pulpar. Esses dentes não possuem seus ápices completamente formados (dentes com rizogênese incompleta). Dessa forma, precisam de maior cautela e planejamento adequado para serem tratados.
A formação do dente
A rizogênese inicia-se a partir da Bainha Epitelial de Hertwig (na região cervical da coroa) e progride em direção apical. Portanto, é essa bainha epitelial que comandará a formação radicular e é responsável por guiar o desenvolvimento dos tecidos de sustentação: cemento, ligamento periodontal e osso alveolar.
Nessa fase, ocorrerá a diferenciação de cementoblastos (que produzirão o cemento), fibroblastos (que produzirão o ligamento periodontal) e dos osteoblastos (produzirão o osso alveolar). Entretanto, a papila apical possui uma zona apical rica em células, inclusive células-tronco, no limite entre a papila apical e a polpa radicular. Portanto, para que tenhamos uma rizogênese completa, devemos manter a Bainha Epitelial de Hertwig e também a papila apical viáveis.
Como tratar casos de necrose em dentes com rizogênese incompleta?
Deve-se realizar procedimentos que criem um anteparo para que se consiga realizar a obturação da forma adequada.
Geralmente, os pais te procuram pelos seguintes motivos: fístula vestibular, escurecimento do dente ou sensibilidade dolorosa. Diante disso, o que você precisa saber?
Irrompimento e término da rizogênese de cada dente.
Essa é a primeira informação que você deve ter conhecimento. O período tem um intervalo de aproximadamente 3 anos. Confira uma tabela resumida para você deixar em sua cabeceira:
Nessa primeira consulta, é importante conversar com os pais sobre as possibilidades de tratamento. Portanto, podemos optar por uma terapia endodôntica regenerativa (popularmente chamada de revascularização pulpar) ou por uma apicificação.
A escolha de qual terapia adotar está relacionada ao grau de fechamento do ápice
Se você tiver uma fragilidade e espessura fina radicular, comprimento curto de raiz (2/3 de formação), diâmetro amplo apical é interessante escolher pela terapia pulpar regenerativa. Por sua vez, se o ápice já está quase se formando, pode-se optar pela apicificação.
A apicificação é quando queremos que se forme uma barreira calcificada (anteparo) na região apical do dente para que você consiga fazer uma melhor obturação desses dentes com rizogênese incompleta. Porém, não podemos esperar que haja uma continuação da formação do ápice radicular e aumento da espessura das paredes dentinárias.
A apicificação pode ser feita nas técnicas mediata ou imediata
Técnica mediata: técnica mais antiga que é feita com inúmeras trocas de hidróxido de cálcio, até a observação de uma barreira mineralizada apical e posterior obturação. Porém, essas múltiplas sessões podem fragilizar o dente, podendo levar a fratura coronária ao longo do processo. Assim sendo, o tipo de barreira formada nesse caso é porosa e deve ser manipulada de forma delicada e sem forçar.
Técnica imediata: pode ser feita em sessão única ou até a regressão de fístula. Com uma ou duas trocas de curativos com hidróxido de cálcio (descontaminação do ambiente inflamado). Após isso, confecção de um plug apical com cimento biocerâmico reparador. Com isso, fazendo uma barreira de tecido mineralizado para realizamos a obturação de forma segura.
Caso clinico: apicificação na técnica imediata
Descrição do caso
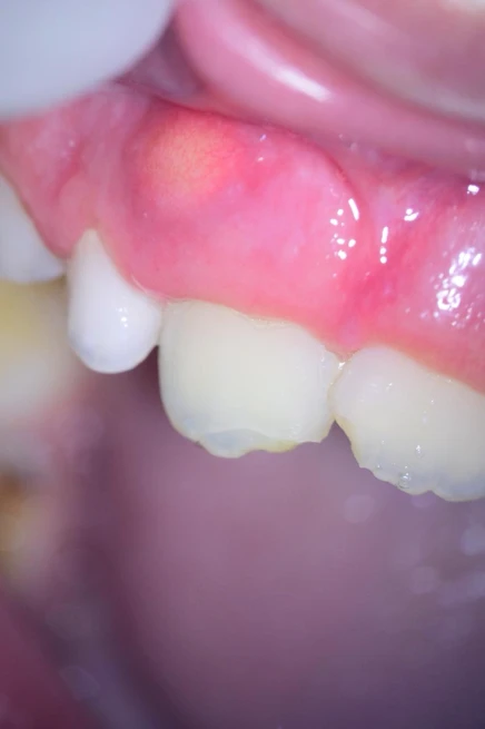
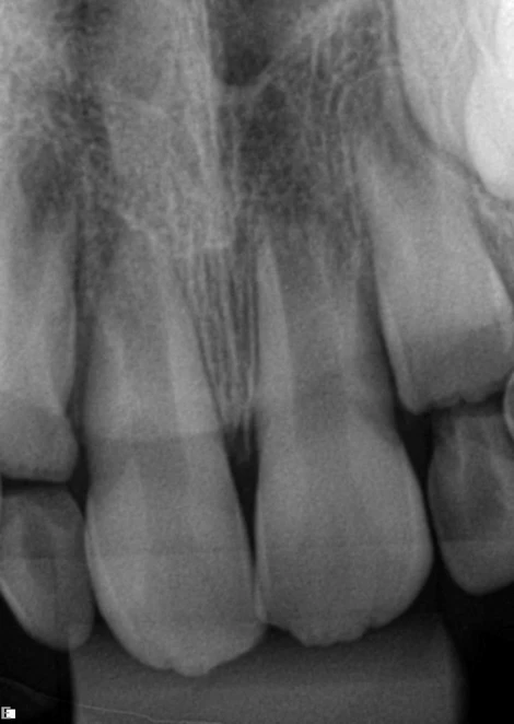
Paciente com 8 anos de idade, compareceu ao consultório com fístula em região vestibular e leve escurecimento em dente 11 (figura 1). Foi realizado o exame clinico e radiográfico (radiografia periapical) na qual foi observado o ápice aberto desse dente (figura 2). No teste de sensibilidade com gás refrigerante o dente apresentou vitalidade negativa.
Descrição do procedimento
A abertura coronária foi feita com acesso ao forame apical de forma direta. Foi realizada a irrigação com hipoclorito de sódio 2,5% e uso de irrigação ultrassônica passiva (PUI) com Inserto Irrisonic da Helse.
Logo após realizou-se uma medida aparente com instrumento em posição ou compactador de NiTi em posição (com cursor) (figura 3). Após preparo químico-mecânico, foi utilizado o EDTA (PUI) por 1 minuto. Por fim, foi aplicado um curativo com hidróxido de cálcio (PUI) durante uma semana.

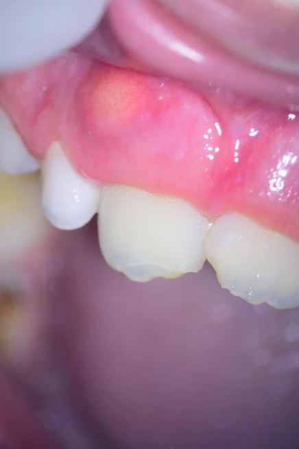
Após uma semana e regressão total da fístula (figura 4), foi realizada uma irrigação com hipoclorito de sódio 2,5% com PUI e irrigação final com soro fisiológico. Além disso, foi feita a sucção com uma cânula aspiradora (Capillary Tips da Ultradent) e um único cone de papel (não deixar molhado).
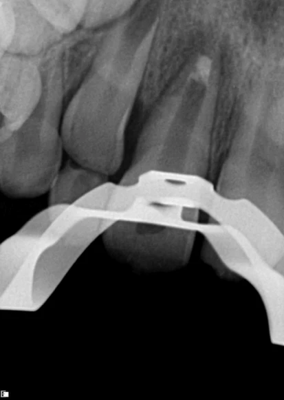
Foi realizada a inserção de uma esponja de colágeno para anteparo apical. Logo após, uma inserção do cimento biocerâmico reparador (Bio C Repair – Angelus) no interior do canal (acesso reto com o compactador), preenchendo 4 a 5 mm em região apical com esse material (figura 5).
Após o plug apical com cimento biocerâmico reparador, foi inserido a guta-percha e cimento. O uso de injetor térmico para inserção de guta-percha é a forma mais fácil de realizar esse preenchimento (Figura 6). Além disso, você também pode obturar o dente na técnica de cone moldado ou técnica híbrida de Tagger.

Em suma, é importante uma restauração em resina composta entre sessões, para que a integridade do material restaurador seja mantida. Após a conclusão do procedimento de apicificação na técnica imediata, deve haver uma blindagem do sistema de canais radiculares com materiais restauradores adesivos. Por fim, a proservação do caso é muito importante para avaliarmos a qualidade do tratamento.





Parabéns pelo caso clínico e obrigada por compartilhar.