Este conteúdo é destinado exclusivamente a cirurgiões-dentistas, com o objetivo de compartilhar informações técnicas e clínicas dentro dos limites éticos da Odontologia.
Relato de caso clínico do clareamento dental
Os bons resultados demonstrados pelas técnicas clareadoras levou essa paciente do sexo feminino a procurar atendimento para avaliar a possibilidade de clareamento dental.
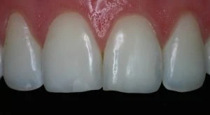
Na análise do sorriso (Foto 1) foi possível verificar não só uma cor escura bem como um desgaste da borda incisal dos incisivos centrais, esta situação também pode ser vista e com uma maior aproximação na foto 2.


Após a avaliação inicial foi decidido que seria feito o clareamento com a técnica associada, portanto procedeu-se a moldagem para confecção de placa clareadora. Em uma próxima sessão foi iniciado o clareamento de consultório sendo o primeiro passo a profilaxia (Foto 3).

Também foi decidido clarear primeiro a arcada superior, portanto a barreira gengival foi aplicada somente nesta arcada (Foto 4) e o gel clareador Whiteness HP foi aplicado por 3 vezes consecutivas (Foto 5).


1 semana de utilização do Whiteness Perfect 10% a modificação da cor já pode ser percebida (Foto 6)

Em uma nova sessão o clareamento com Whiteness HP foi efetuado só que em ambas as arcadas (Foto 8).

A paciente deu continuidade ao seu clareamento em casa em ambas as arcadas e simultaneamente até completar a utilização de 4 seringas (Foto 9).

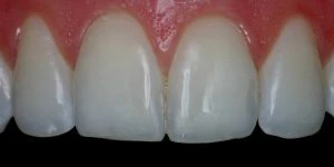
Ao final da utilização do gel clareador com moldeira, o polimento com pasta diamantada Diamond Excel com disco de feltro Diamond Flex e aplicação de flúor foram realizados. O resultado final dos procedimentos clareadores pode ser conferido nas fotos 11 e 12.
Passados 21 dias do término do clareamento dental, a correção da borda incisal foi feita utilizando a resina Opallis, pois o desgaste ocorrido deixou a área de embrasura da região entre incisivos invertida (Foto 13) necessitando uma correção desta área.
O condicionador Condac 37 foi aplicado um pouco além da região a ser restaurada (Foto 14) e depois de controlar a umidade e aplicar o adesivo Ambar a inserção dos incrementos foi iniciada com a resina T Blue (Fotos 15 e 16).
Na sequência a resina OP foi inserida (Foto 17) e a resina dita de esmalte EB1 foi colocada entre a T Blue e a OP (Foto 18).
A última camada aplicada sobre todas as outras foi a resina VH para correção de valor, neste caso alto valor já que se trata de dentes clareado (Foto 19).
O resultado restaurador após polimento com brocas de polimento e acabamento mais discos de lixa Diamond Pro pode ser conferido nas fotos 20, 22 e 23 e comparado com a foto 21 que refere-se a situação inicial.
Autor: Dr. Maciel Jr – Especialista em Dentística Restauradora pela FOB/USP e mestre em Dentística Restauradora pela UNESP/Araraquara.
Fonte: FGM































Comentários
Nenhum comentário