Relato do caso de tratamento ortodôntico:
Paciente adulta jovem, 24 anos de idade, gênero feminino, dentição permanente completa, face próvertida/braquicefálica, apresentando boas condições de saúde periodontal e dentária.
Queixa principal: “Dentes para dentro e desalinhados, com desconforto funcional de mordida – mandíbula travada.”
Nesse caso clínico específico, optamos pelo tratamento com alinhadores transparentes para a correção ortodôntica da sobremordida associada à retrusão anterior superior, com torque palatino da coroa dos incisivos superiores, desvio de linha média e apinhamento leve na arcada inferior.
Assim, foi possível melhorar a guia funcional incisiva de oclusão, tanto estática quanto dinâmica, para a postura e os movimentos mandibulares.
Antes de iniciarmos o tratamento, após anamnese com exame clínico e funcional, foram coletados exames complementares de imagem para diagnóstico, incluindo fotos faciais e intraorais, juntamente com radiografia panorâmica da face e escaneamento intraoral de ambas as arcadas em oclusão.
Esses arquivos foram encaminhados para a CA Clear Aligner, juntamente com a prescrição do tratamento, para execução e processamento em software especializado de planejamento virtual 3D, visando a visualização dos objetivos do tratamento do caso relatado.
Através do protocolo de tratamento com alinhadores ortodônticos da CA Clear Aligner, ficou estabelecida uma sequência de 9 alinhadores superiores e 9 alinhadores inferiores (3 etapas = 3 trios de alinhadores em espessuras progressivas, conforme a tecnologia BioDinamicTrio System da CA Clear Aligner).
O tempo estimado de tratamento, com boa colaboração no uso dos alinhadores por, no mínimo, 20 horas diárias, foi de 3 meses no total. A paciente foi instruída a seguir corretamente o uso e a trocar sucessivamente os alinhadores ao longo desse período, até a conclusão e finalização da sequência de aparelhos ortodônticos planejada.
Evolução da paciente ao utilizar os Alinhadores Ortodônticos da CA Clear Aligner
Observa-se a evolução deste caso clínico através das figuras abaixo, apresentadas em uma sequência de imagens virtuais e reais do caso tratado:
Figuras 1 – Planejamento Virtual 3D da CA Clear Aligner evidenciando, em norma frontal:
Figuras 2 – Planejamento Virtual 3D da CA Clear Aligner evidenciando, em norma lateral:
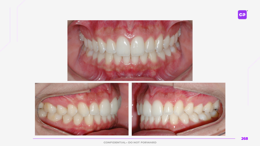
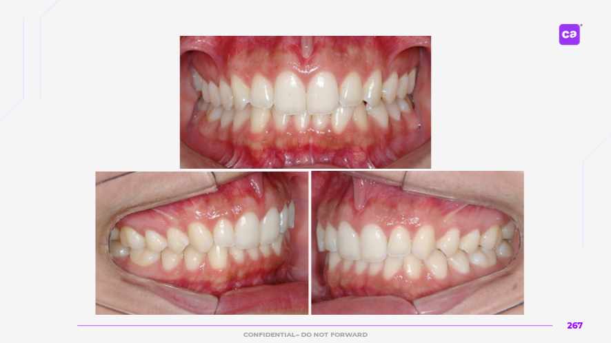
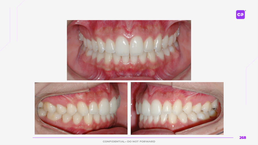
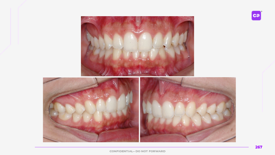
Figuras 3 – Fotos intraorais do caso clínico apresentadas em norma frontal e de perfil:
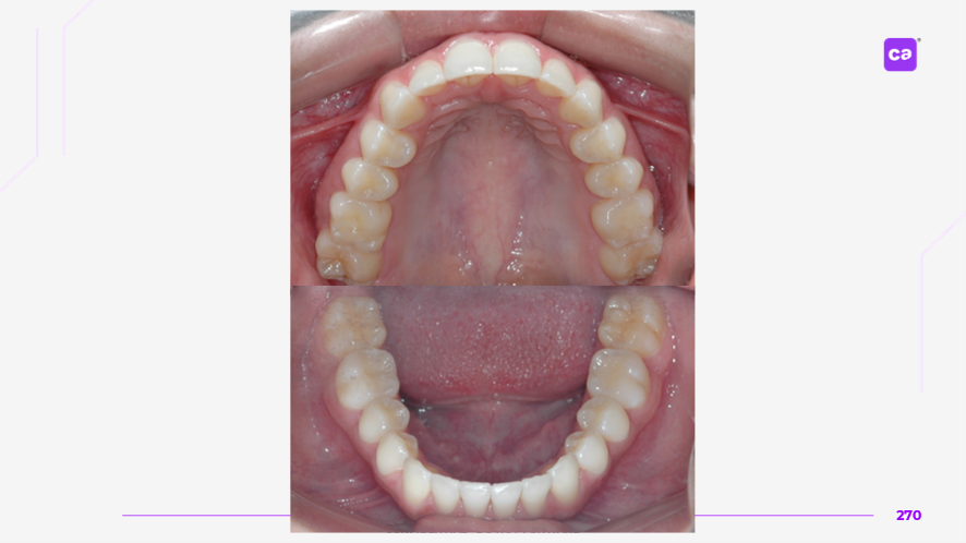
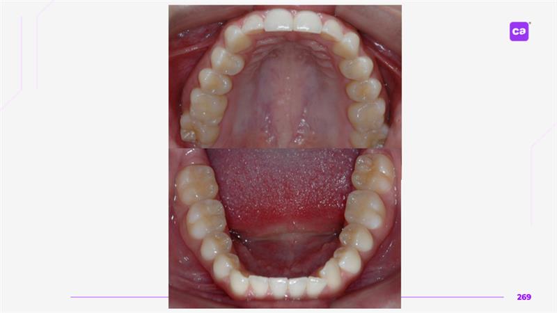
Figuras 4 – Fotos intraorais do caso clínico apresentadas em norma oclusal superior e inferior:
Figuras 5 – Fotos faciais com sorriso do caso clínico apresentadas em norma frontal:
a) Condição inicial do caso clínico
b) Condição final do caso clínico

Na sequência apresentada, com os registros e comparação das fotos intraorais, observa-se a evolução do caso clínico desde a condição inicial até a finalização do tratamento com a conclusão do uso da série de alinhadores. Os resultados evidenciam a previsibilidade e acurácia do tratamento real em comparação às simulações e ao planejamento virtual inicial.
O acompanhamento e documentação deste caso clínico demonstram o alcance pleno dos objetivos de tratamento por meio da técnica com alinhadores ortodônticos da CA Clear Aligner, conforme planejado virtualmente.
Observa-se a correção da sobremordida (mordida profunda), com avanço e torque vestibular dos incisivos superiores, juntamente com o nivelamento e alinhamento dentário das arcadas superior e inferior.
Além disso, nota-se o ajuste da linha média dentária superior, garantindo sua coincidência com a linha média inferior, bem como a otimização da curva e da estética do sorriso.
Sobre o autor do caso:
Dr. Rolf Faltin | CRO SP-CD-50239
- Mestre em Biologia Celular e Tecidual pela Universidade de São Paulo (ICB/USP).
- Doutor e Especialista em Ortodontia-Ortopedia Facial pela Universidade de Ulm, Alemanha.
- Professor Convidado do Curso de Pós-Graduação em Ortodontia-Ortopedia Facial, Departamento de Odontologia, Universidade Paulista.
- Pesquisador Associado do Laboratório de Biologia Oral (LBO), da Universidade de São Paulo (FOUSP).
- Pesquisador Associado do Departamento de Ortodontia da Universidade de Ulm, Alemanha.









Comentários
Nenhum comentário