Cáries bastante profundas, muitas vezes atingindo áreas interproximais, podem dificultar o isolamento absoluto de um dente na hora de ele necessitar de um tratamento endodôntico ou retratamento endodôntico. Muitas variações das técnicas de isolamento absoluto podem ser feitas para conseguir isolar estes dentes destruídos.
Porém, em muitos casos estes dentes podem ser os últimos da arcada e você ter dificuldade em colocar um grampo sobre o próprio dente para fazer o isolamento absoluto ou usar alguma técnica de isolamento a distância.
Neste artigo será mostrado uma opção que facilitará muito sua clínica e você conseguirá isolar estes dentes que são possíveis de salvar. Se você não conseguir isolar um dente com esta técnica, com certeza este dente pode estar realmente muito comprometido e necessitar ser extraído.
Partimos do conceito de DME (Deep Margin Elevation) de Pascal Magne e Roberto Spreafico (2012) que em seu artigo descrevem que a ideia não é somente elevar as margens subgengivais para auxiliar na endodontia. A ideia também é deixar o preparo supragengival para facilitar o preparo para onlay ou coroa protética.
Dentro deste conceito, podemos usar múltiplos materiais, porém irei mostrar para vocês uma maneira prática e fácil de fazer este procedimento.
Passo a passo para realização do isolamento absoluto
Muitas vezes o procedimento inicial deve ser feito com isolamento relativo, pois o preparo pode estar bastante subgengival.
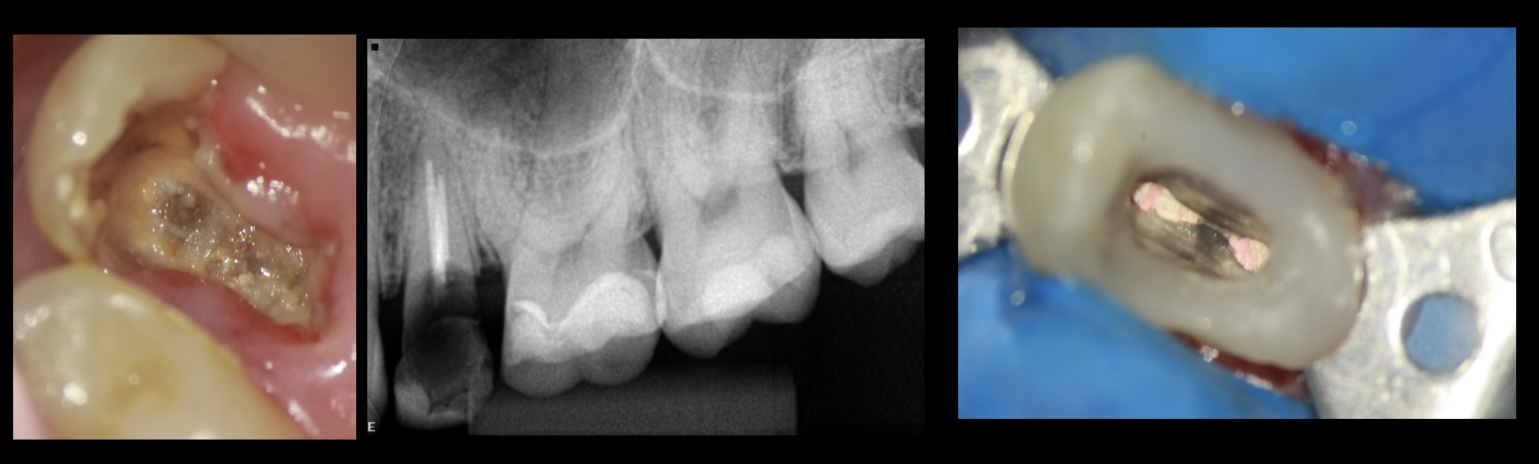
1. O dentista deve remover todo o tecido cariado com brocas esféricas diamantadas em alta rotação ou brocas carbide de baixa rotação de calibres compatíveis com a necessidade do que se precisa remover.
2. Se houver tecido gengival edemaciado invadindo o espaço dentário, este tecido pode ser removido com bisturi elétrico ou laser de alta potência.
3. Uso de um adesivo autocondicionante BeautiBond Xtreme, pois este adesivo pode ser usado nas três técnicas de adesividade: total etching, self-etching e selective etching. Aplicação por esfregaço por 20 segundos, jogar ar por 10 segundos e fotopolimerização por 5 segundos. Você pode também usar em dentina outro qualquer adesivo autocondicionante. Caso você tenha esmalte no preparo, faça o condicionamento ácido somente no esmalte.
4. Aplicação da Resina Beautifil Flow Plus 00 circundando às margens do dente. Você eventualmente pode necessitar de uma matriz metálica para inserção desta resina em área interproximal.
5. Essa resina possui um escoamento mais grosso, o que facilita sua aplicação, pois onde você a coloca ela se estabiliza e fica. Após a colocação da resina, fotopolimerize por 10 segundos.
6. Você pode erguer as paredes na altura que precisar com esta resina, fazendo inserção em camadas.
7. Instale o grampo de isolamento diretamente na resina. Está resina sustenta um grampo sem ele expulsar.
8. Faça os procedimentos endodônticos que você necessitar fazer e você irá conseguir perceber a estabilidade do grampo durante todo o procedimento endodôntico que for executar (figuras 1 e 2).
Outros usos:
Em pacientes com dentição mista você pode usar para ajudar no isolamento. Colocando o adesivo BeautiBond Xtreme e a resina Beautifil Flow Plus 00 em região palatina ou vestibular. Funciona super bem (figura 3).
Em caso de margens subgengivais em dentes, que possuem dentes adjacentes, para erguer suas paredes e ajudar na reconstrução. Você pode usar o mesmo protocolo usando está resina citada no artigo e poderá inclusive por um grampo de isolamento em cima deste mesmo dente (figura 4, 5, 6 e 7).
Descrevendo a Resina Beautifill Flow Plus 00
A resina Beautifil Flow Plus – F00 (zero Flow) é uma resina nanohíbrida fluida fotopolimerizável, indicada para todos os tipos de restauração. Utilizar incrementos de até 2mm.
Possui um fácil manuseio da seringa, sendo injetável e são diferentes das resinas flow tradicionais, pois possuem cerca de 70% de carga (alta resistência mecânica). Em específico está resina é Bioativa e tem a Tecnologia S-PRG. A Fluidez 00 é incrível pro endodontista porque se apresenta sem fluidez (sendo uma Flow mais grossa).
Outro ponto positivo desta resina é a capacidade de liberar e recarregar flúor e ainda resistir a colonização bacteriana, o que faz dela um material restaurador ideal para caso de cáries secundárias.
A empresa Shofu desenvolveu seu próprio vidro multifuncional, com uma composição de flúor-boro-alumínio- silicato, que ao passar por um processo de tratamento da superfície, dá origem as partículas S-PRG. Essas partículas S-PRG são incorporadas em diferentes materiais.
Todo material, é incluído na família GIOMER (que popularmente leva este nome por conter as partículas S-PRG) e possui como característica principal a liberação de 6 tipos de íons (Borato, Alumínio, Flúor, Estrôncio, Silicato e Sódio), cada um com sua propriedade bioativa.
DICA IMPORTANTE: GIOMER não é cimento de ionômero de vidro, e sim, um nome popular patenteado pela empresa Shofu e são os materiais que contem as partículas S-PRG.
Dentre os materiais contidos na tecnologia S-PRG temos:
- Flúor: responsável pela formação da fluorapatita e tem efeito antibacteriano;
- Estrôncio: Responsável pela formação da estroncioapatita que acelera a calcificação, estimula a formação óssea, com resistência a variações de pH;
- Borato: Tem efeito antibacteriano e estimula a formação óssea;
- Alumínio: Veda os canalículos da dentina e atua na hipersensibilidade dentinária;
- Silicato: Liberação de silicato: estimula a calcificação óssea;
- Sódio: Forte reagente químico que facilita a ação dos demais íons.
Esta resina Beautifil Flow Plus 00 ajuda demais o endodontista. Se você tiver dúvidas em seu uso, não deixe de nos contatar.
Complemente sua leitura com uma aula completa!
Dra. Milena realizou uma aula muito interessante sobre o tratamento endodôntico de dentes com canais calcificados, dê um play para assistir à aula completa:
Sobre a autora:
Milena Perraro | @milenaperraro
Doutora em endodontia USP Bauru;
Mestre e Especialista em endodontia;
Especialista em Implantodontia e Saúde Coletiva e da Família;
Professora de pós graduação Instituto Cemo (Balneário Camboriú – SC).
✍️ O que você achou do artigo da Dra. Milena? Deixe nos comentários
Compartilhe com os amigos para eles saberem mais sobre isolamento absoluto em dentes destruídos!
Siga nossas redes:






Excelente artigo.
Muito bom o artigo . Excelente explicação!